症例詳細
Case detail
【空隙歯列】ワイヤー矯正で短期間に治療を終えたい
治療症例の内容
- 診療科目
- 治療カテゴリ
- 担当医
- 河口智英(ドクタープロフィール)
- 患者様
- 30代女性
- 矯正装置
- 審美装置
- 治療期間
- 1年
- 治療回数
- 10-30回
- 治療計画
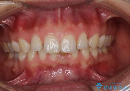
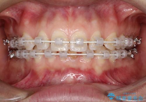
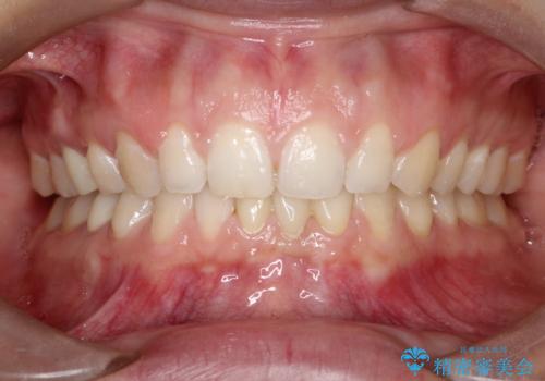
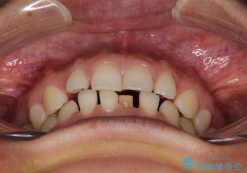
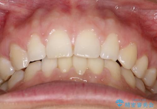
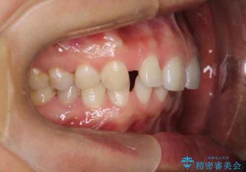
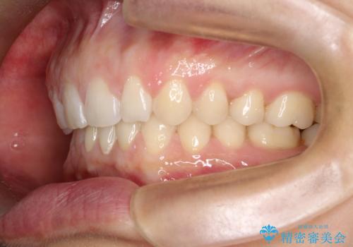
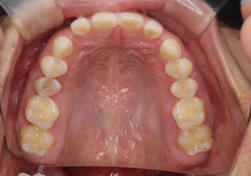
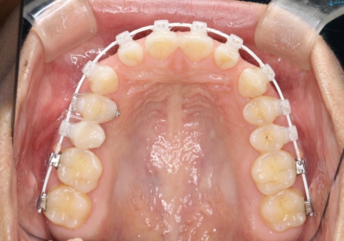
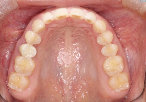
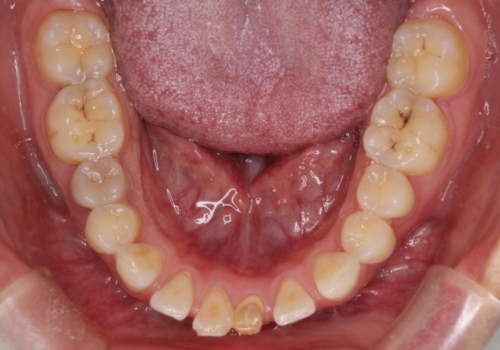
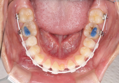
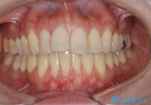
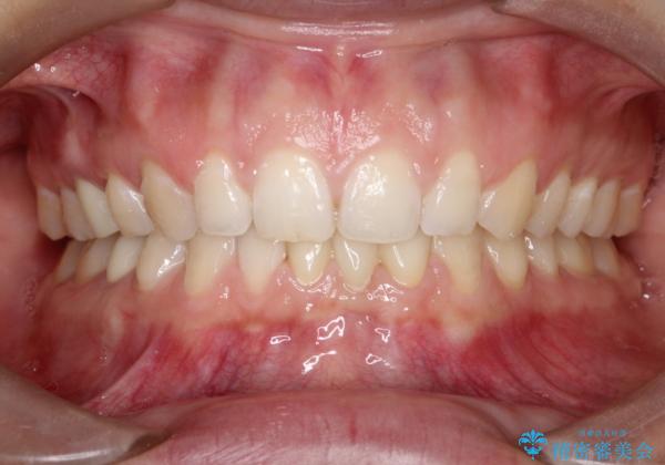
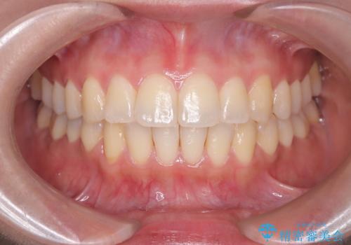
- 歯と歯の間に隙間があることを主訴に来院されました。
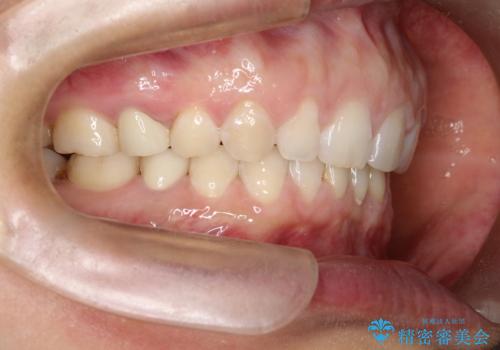
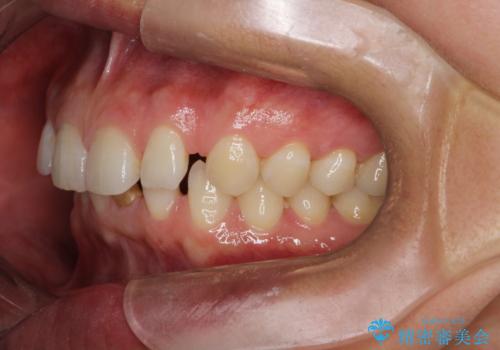
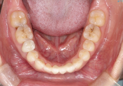
短期間での治療終了を希望され、ワイヤー矯正にて治療を行い1年ほどで治療を終了しております。
下顎前歯は矯正後補綴治療を行なっております。
期間や仕上がりで大変満足していただきました。
- 費用(概算)
- 80万円費用は治療当時の料金となります
治療について
空隙歯列は後戻りしやすいため、長期間の保定が必要となります。
ワイヤー矯正の注意事項(リスク・副作用など)
- 治療中は違和感や痛みが起こることがあります
- 症状により、抜歯が必要な場合があります
- 治療中は歯磨きがしにくくなるため、虫歯や歯周病になりやすくなります
- 矯正治療後の保定が不十分だと後戻り(元の位置に戻ろうとする動き)をします
- 自費診療(保険適用外)となります
当サイトの内容、テキスト、画像等の無断転載、複製、複写、盗用を固く禁じます。

















