症例詳細
Case detail
歯の動揺が気になる 低予算ではやく治したい 50代女性
治療症例の内容
- 担当医
 
- 患者様
 - 50代女性
 
- 治療期間
 - 5ヶ月
 
- 治療回数
 - 2-5回
 
- 治療計画
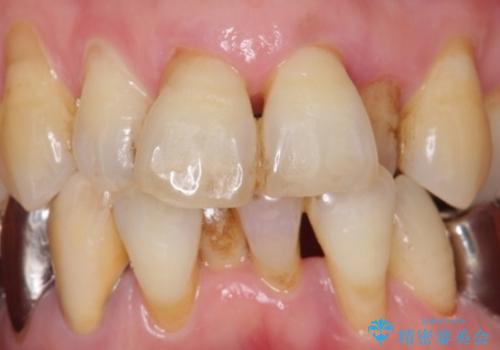
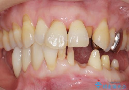
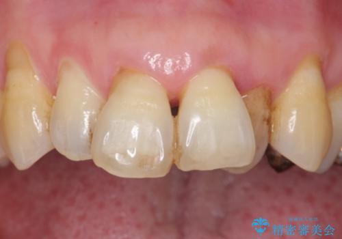
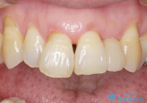
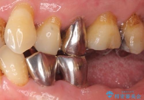
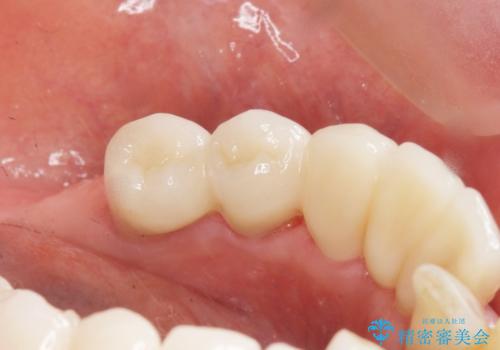
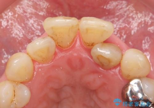
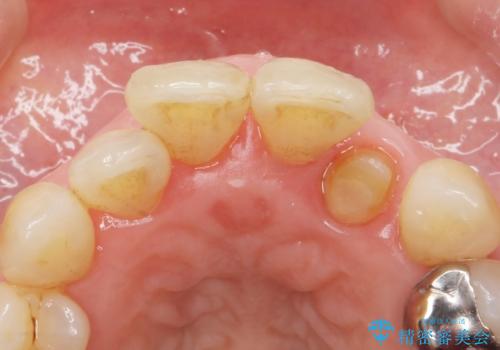
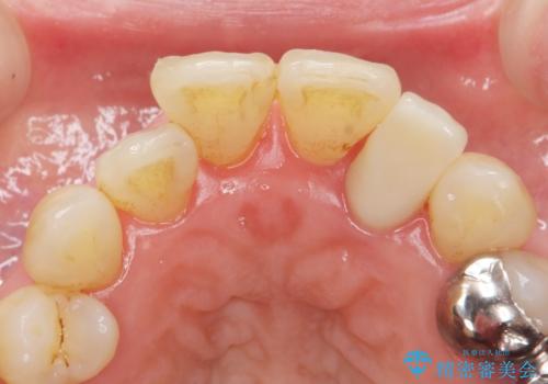
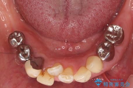
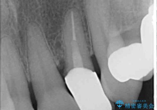
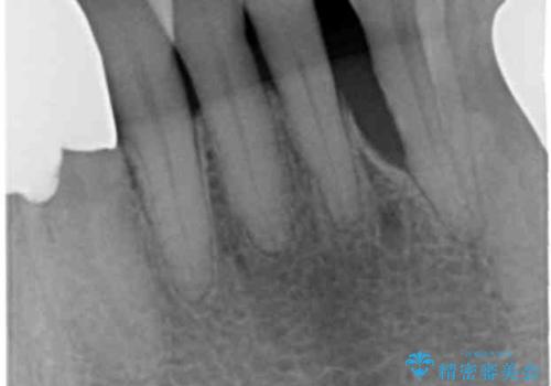
 - 下の前歯(左下2)と奥歯の動揺がひどくなってきたことを主訴に来院された患者様です。
精査したところ、前歯の咬み合わせが反対になっていること、下の奥歯(下顎両側67)が4本欠損していることから動揺が生じていました。
矯正治療やインプラント・再生療法を併用した全顎的な治療を提案させて頂いたところ、予算を抑えて早く治したいとのことでご希望されませんでした。
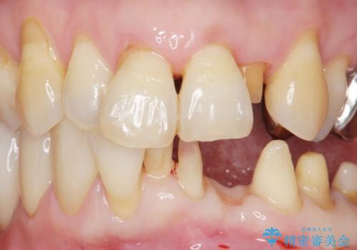
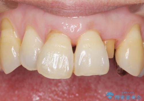
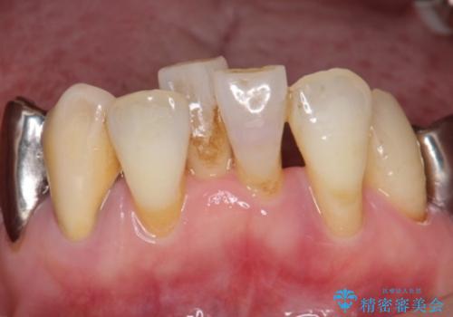
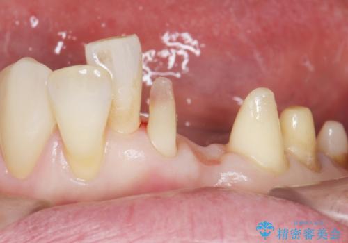
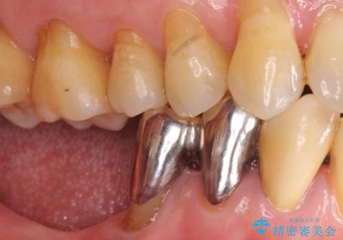
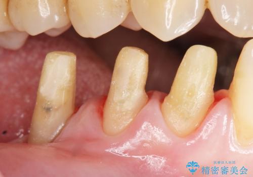
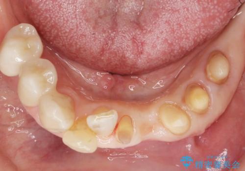
入れ歯も抵抗があるとのことから、相談を重ね、今の状態では保存不可能な下の前歯(左下2)を抜去し、ブリッジや連結補綴により動揺を抑えることにしました。
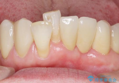
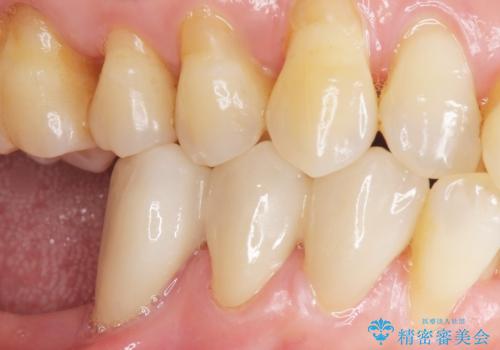
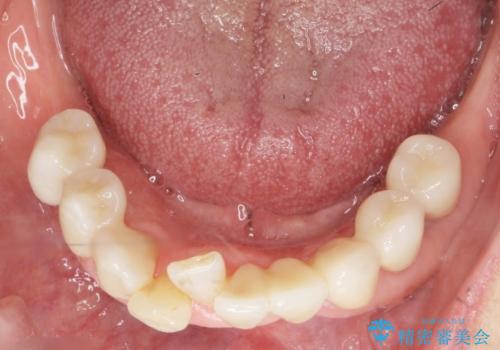
また、咬み合わせが反対になっている上の前歯(左上2)も補綴で形を変えることにより、咬合を改善しました。
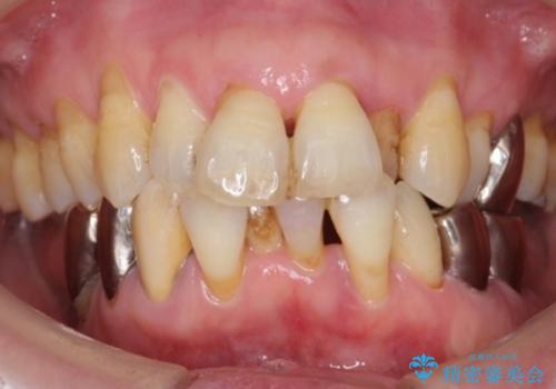
下顎大臼歯が欠損したままで今ある歯に負担がかかりやすいことから、長期的予後は保証できないことをご理解頂いた上で治療を行いました。 
- 費用(概算)
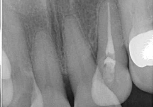
 - ¥1,110,000 (根管治療×1本、土台×2本、仮歯×9本、クラウン×9本)費用は治療当時の料金となります
 
治療について
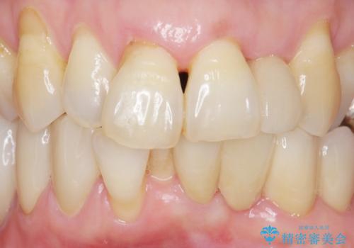
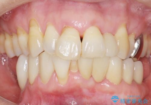
気にされていた前歯と奥歯の動揺がなくなったことと自然な仕上がりに喜んで頂けました。
クラウンの種類:オールセラミッククラウン スタンダード
セラミック治療の注意事項(リスク・副作用など)
- 天然歯を削ります
 - 硬い素材は天然歯を傷つけてしまう場合があります
 - かみ合わせや歯ぎしりが強すぎる方はセラミックが割れてしまう可能性があります
 - 自費診療(保険適用外治療)となります
 
当サイトの内容、テキスト、画像等の無断転載、複製、複写、盗用を固く禁じます。

                      
                                                          




































