症例詳細
Case detail
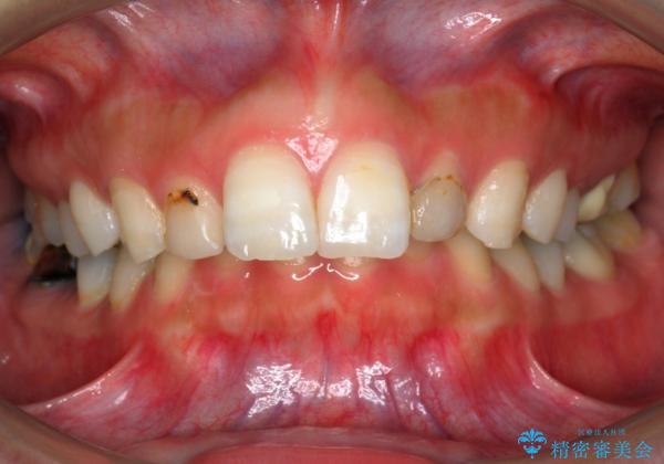
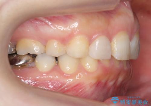
出っ歯を治したい 過蓋咬合
治療症例の内容
- 患者様
- 20代女性
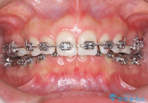
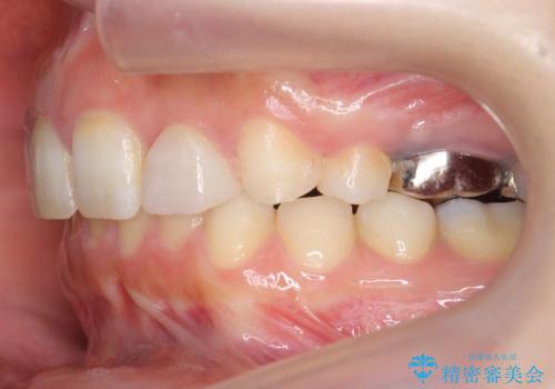
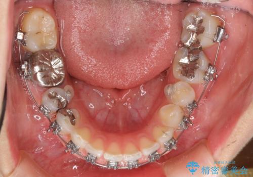
- 矯正装置
- メタル装置
- 治療期間
- 3年6ヶ月
- 治療回数
- 10-30回
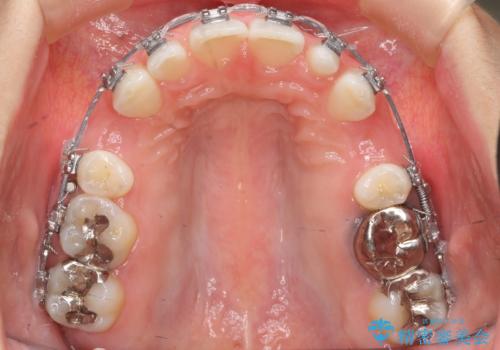
- 治療計画
- 出っ歯を主訴に来院。
 
 かみ合わせが深く、治療に時間がかかりました。
 
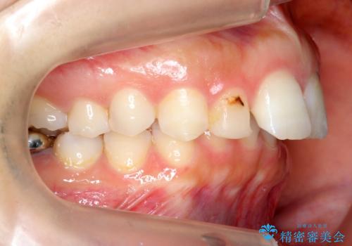
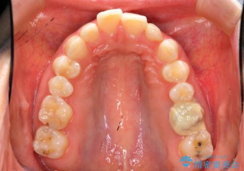
 上顎2番は矮小歯だったのをセラミックで被せています。
 
- 費用(概算)
- 矯正治療85万円 補綴治療16万円(emaxクラウン、仮歯)費用は治療当時の料金となります
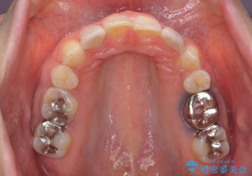
治療について
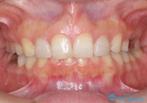
口唇の突出感がなくなり、理想的な横顔になりました。
虫歯治療は、他院で保険治療で行なって頂いています。
ワイヤー矯正の注意事項(リスク・副作用など)
- 治療中は違和感や痛みが起こることがあります
- 症状により、抜歯が必要な場合があります
- 治療中は歯磨きがしにくくなるため、虫歯や歯周病になりやすくなります
- 矯正治療後の保定が不十分だと後戻り(元の位置に戻ろうとする動き)をします
- 自費診療(保険適用外)となります
セラミック治療の注意事項(リスク・副作用など)
- 天然歯を削ります
- 硬い素材は天然歯を傷つけてしまう場合があります
- かみ合わせや歯ぎしりが強すぎる方はセラミックが割れてしまう可能性があります
- 自費診療(保険適用外治療)となります
当サイトの内容、テキスト、画像等の無断転載、複製、複写、盗用を固く禁じます。








 
                       
                                                          




















 
                   
                   
                  