症例詳細
Case detail
親知らずを起因とする虫歯治療
治療症例の内容
- 患者様
- 40代女性
- 治療期間
- 6ヶ月
- 治療回数
- 2-5回
- 治療計画
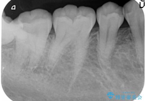
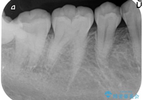
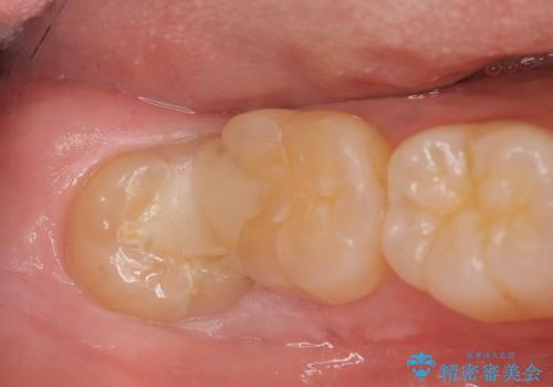
- 右下奥の強烈な痛み、腫れの改善を求めて来院されました。
視診・X線写真より親知らず周囲の進行した炎症発生、倒れた親知らずに起因する歯の神経に達する深い虫歯が見られました。
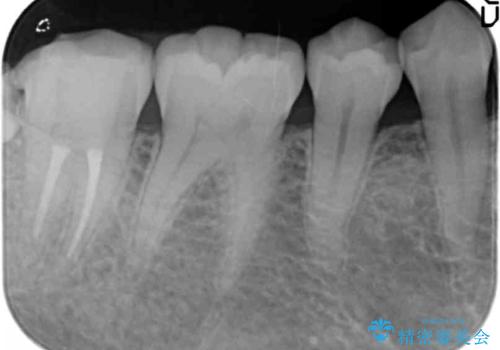
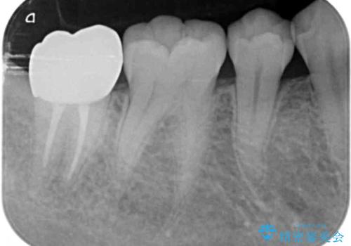
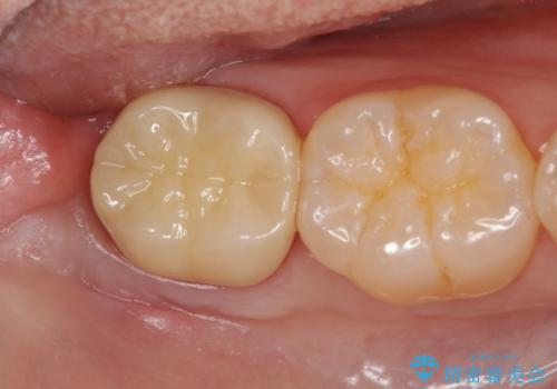
親知らずは抜去を行い、手前の第2大臼歯は根管治療後セラミッククラウンの製作を行います。
- 費用(概算)
- 20万円(大臼歯根管治療・仮歯・ファイバーコア・フルジルコニアクラウン)費用は治療当時の料金となります
親知らずについて
虫歯や歯周病の原因となってしまう親知らずは、早期の抜去をお勧めしています。
セラミック治療の注意事項(リスク・副作用など)
- 天然歯を削ります
- 硬い素材は天然歯を傷つけてしまう場合があります
- かみ合わせや歯ぎしりが強すぎる方はセラミックが割れてしまう可能性があります
- 自費診療(保険適用外治療)となります
外科処置の注意事項(リスク・副作用など)
- 外科手術のため、術後に出血、痛みや腫れ、違和感を伴います
- 口腔内の状態によっては適応できないことがあります
当サイトの内容、テキスト、画像等の無断転載、複製、複写、盗用を固く禁じます。








