症例詳細
Case detail
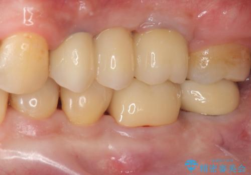
咬合平面を揃え、早期接触・干渉を防ぐ補綴治療
治療症例の内容
- 患者様
- 40代男性
- 治療期間
- 3年
- 治療回数
- 10-30回
- 治療計画
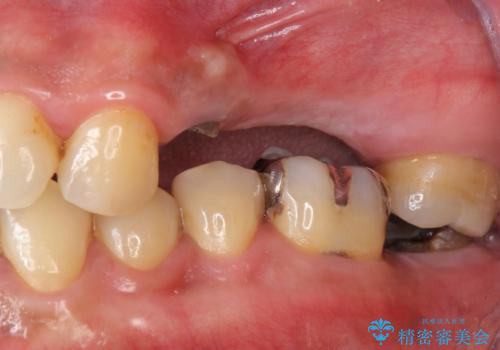
- 長期間放置してしまった虫歯の治療を希望され来院されました。
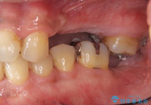
・重度虫歯による残根状態・欠損歯→インプラント補綴
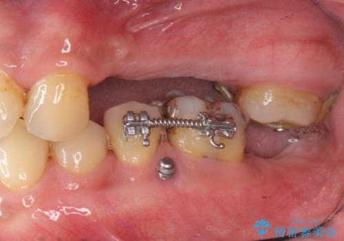
・対合歯の欠損による歯の挺出→マイクロインプラントを用いた小矯正を行うことで咬合平面を是正
特定の歯に過大な力がかかることなく安定した咬合関係を構築できるよう治療計画を立案します。
- 費用(概算)
- 150万円 (税別)費用は治療当時の料金となります
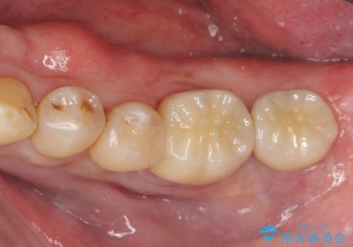
歯の挺出について
噛み合う歯が欠損し長時間放置すると、歯が挺出(歯が伸びてくる)し欠損補綴を行おうにもスペースが足りない場合があります。(クリアランスの不足)
加えて咬合平面の乱れを放置したまま無理やり補綴治療を行うと、特定の部位に過大な力がかかり当該歯を痛めてしまうこともよくあります。
咬合の調和、均等に力がかかることでより長期的な予後を期待することができます。
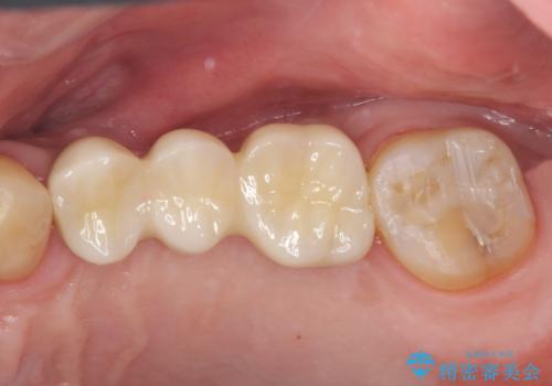
今回、左下6は頬側歯頚部に虫歯があり圧下を行ったことからクラウンにより補綴を行いました。
インプラント治療の注意事項(リスク・副作用など)
- 外科手術のため、術後に痛みや腫れ、違和感を伴います
- メンテナンスを怠ったり喫煙により、お口の中に大きな悪影響を及ぼすインプラント周囲炎等にかかる可能性があります
- 糖尿病、肝硬変、心臓病等の場合、インプラント治療ができない可能性があります
- 高血圧、貧血・不整脈等の場合、インプラント治療後に治癒不全を招く可能性があります
- 自費診療(保険適用外治療)となります
セラミック治療の注意事項(リスク・副作用など)
- 天然歯を削ります
- 硬い素材は天然歯を傷つけてしまう場合があります
- かみ合わせや歯ぎしりが強すぎる方はセラミックが割れてしまう可能性があります
- 自費診療(保険適用外治療)となります
当サイトの内容、テキスト、画像等の無断転載、複製、複写、盗用を固く禁じます。















