症例詳細
Case detail
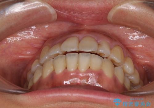
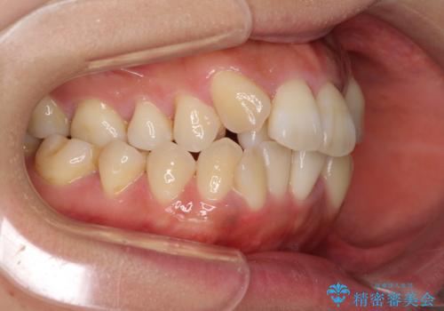
狭い上顎骨を拡大 著しい叢生を抜歯矯正で改善
治療症例の内容
- 診療科目
- 担当医
- 藤巻太一朗(ドクタープロフィール)
- 患者様
- 30代女性
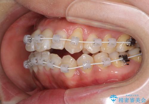
- 矯正装置
- 審美装置
- 治療期間
- 2年3ヶ月
- 治療回数
- 10-30回
- 治療計画
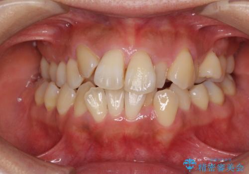
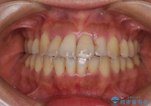
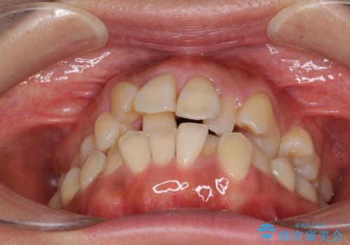
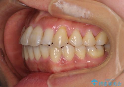
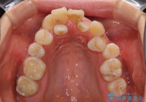
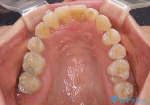
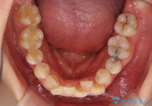
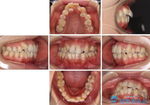
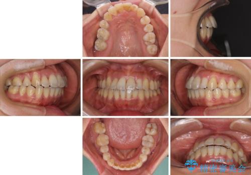
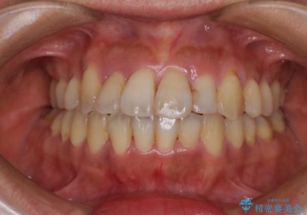
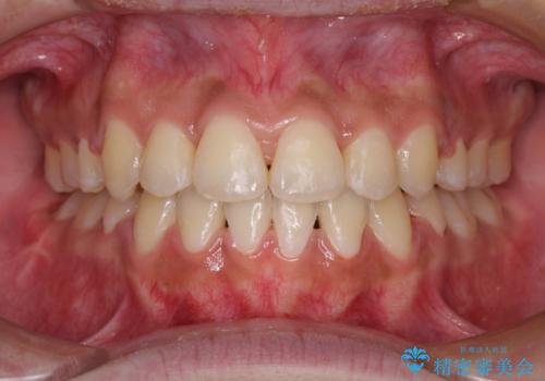
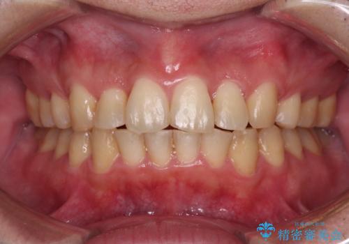
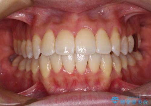
- 上顎の著しい叢生と奥歯の咬みにくさを気にして来院された患者様です。
骨格的に上顎は狭く、下顎は右側にシフトしていたため、右側臼歯はクロスバイトとなっていました。
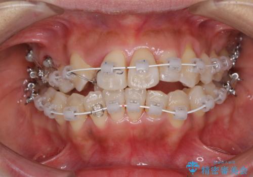
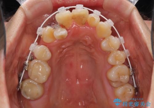
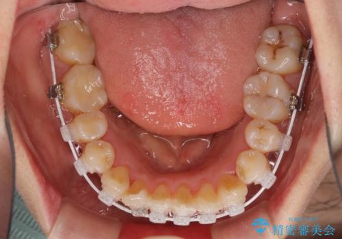
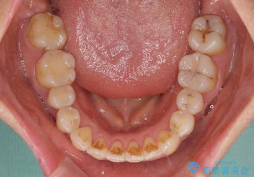
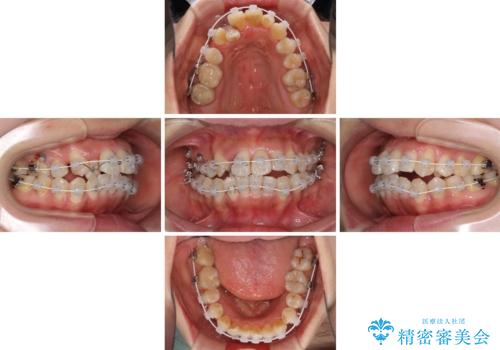
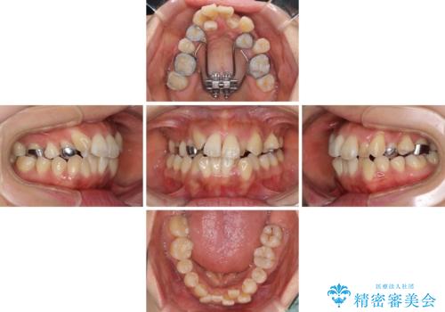
上顎骨を急速拡大装置により拡大し、ワイヤー装置による抜歯矯正治療を行うこととしました。
- 費用(概算)
- 治療費の目安: 100万円費用は治療当時の料金となります
治療について
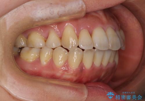
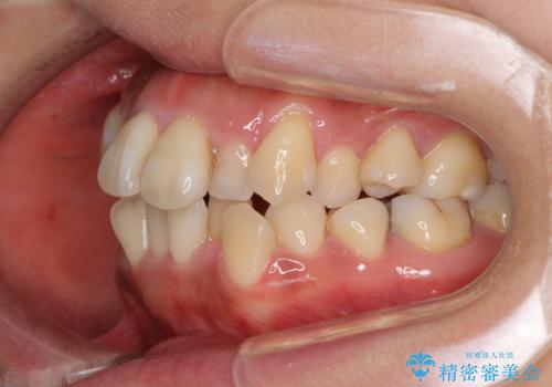
治療途中、長期間海外旅行をされたり、帰国後には遠方へ転居されたりと、治療期間が伸びましたが、2年強で治療を終えることができました。
ワイヤー矯正の注意事項(リスク・副作用など)
- 治療中は違和感や痛みが起こることがあります
- 症状により、抜歯が必要な場合があります
- 治療中は歯磨きがしにくくなるため、虫歯や歯周病になりやすくなります
- 矯正治療後の保定が不十分だと後戻り(元の位置に戻ろうとする動き)をします
- 自費診療(保険適用外)となります
当サイトの内容、テキスト、画像等の無断転載、複製、複写、盗用を固く禁じます。



























