症例詳細
Case detail
前歯の奇形歯 オールセラミッククラウンによる審美歯科治療
治療症例の内容
- 診療科目
- 治療カテゴリ
- 担当医
- 藤巻太一朗(ドクタープロフィール)
- 患者様
- 20代女性
- 治療期間
- 3ヶ月
- 治療回数
- 2-5回
- 治療計画
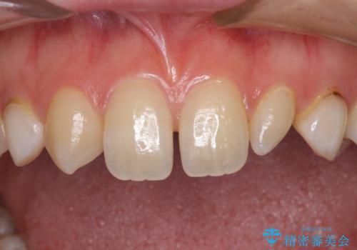
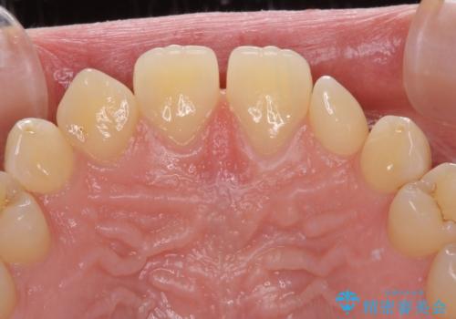
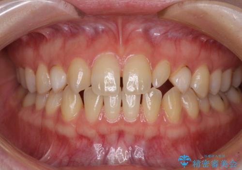
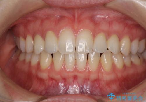
- 前歯の奇形や欠損、乳歯残存などによる審美障害を気にして来院された患者様です。
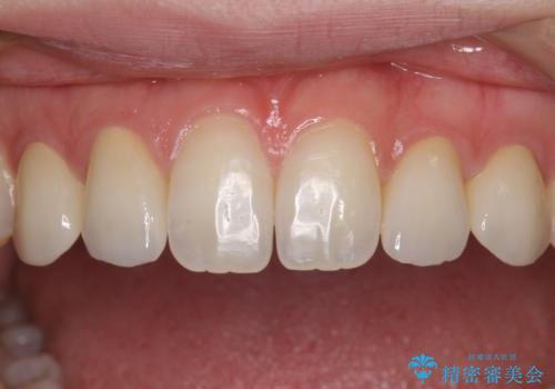
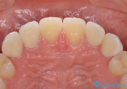
正中の隙間は矯正治療により閉じ、左右の4歯はオールセラミッククラウンにて補綴することとしました。
- 費用(概算)
- 治療費の目安: 50万円費用は治療当時の料金となります
治療について
前歯2本もセラミッククラウンを装着することで隙間を閉じる治療方法もあるかと思いますが、健全な歯を削る必要は全くなく、矯正治療で対応することが望ましい治療であると考えます。
セラミック治療の注意事項(リスク・副作用など)
- 天然歯を削ります
- 硬い素材は天然歯を傷つけてしまう場合があります
- かみ合わせや歯ぎしりが強すぎる方はセラミックが割れてしまう可能性があります
- 自費診療(保険適用外治療)となります
当サイトの内容、テキスト、画像等の無断転載、複製、複写、盗用を固く禁じます。












