症例詳細
Case detail
強い咬み合わせで削れた前歯 セラミッククラウンで自然な形に
治療症例の内容
- 担当医
- 藤巻太一朗(ドクタープロフィール)
- 患者様
- 40代男性
- 治療期間
- 6ヶ月
- 治療回数
- 2-5回
- 治療計画
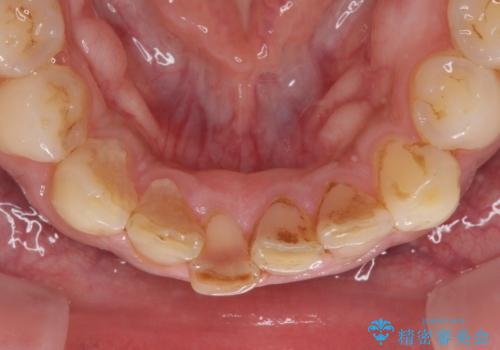
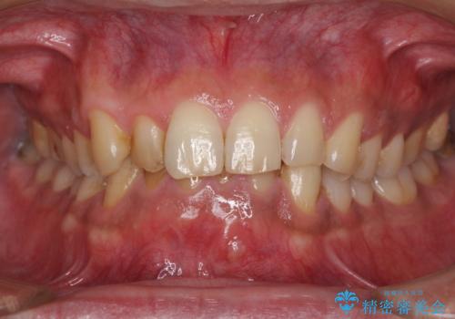
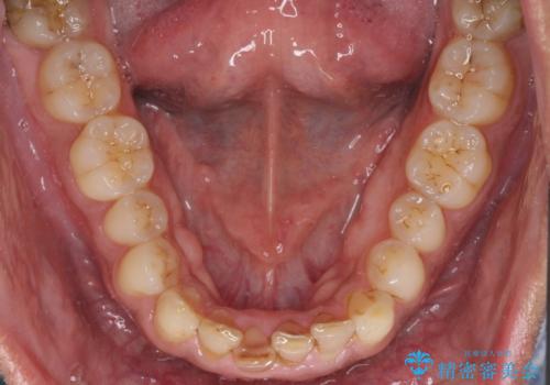
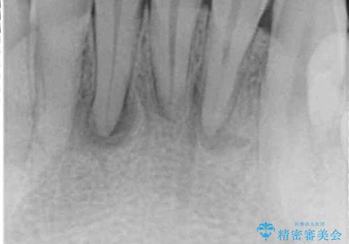
- 下の前歯がすり減って、痛みがあるとのことで来院された患者様です。
咬合力が強く、4本のうち3本の歯が失活しており、腫れや痛みが認められました。
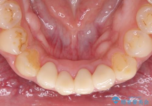
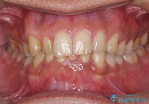
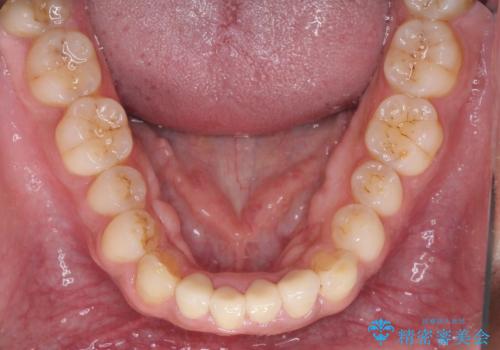
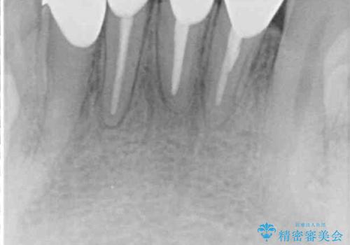
3歯に根管治療を行い、その後4歯をオールセラミッククラウンにて補綴することとしました。
- 費用(概算)
- 治療費の目安: 68万円費用は治療当時の料金となります
治療について
根管治療により腫れと痛みが引き、叢生の認められた歯列は補綴治療により改善され、清掃性が増しました。
歯が失活してしまうほどの咬合力であるため、就寝時にはマウスピースを装着していただくようお願いしました
セラミック治療の注意事項(リスク・副作用など)
- 天然歯を削ります
- 硬い素材は天然歯を傷つけてしまう場合があります
- かみ合わせや歯ぎしりが強すぎる方はセラミックが割れてしまう可能性があります
- 自費診療(保険適用外治療)となります
根管治療の注意事項(リスク・副作用など)
- 根管治療により類似の全ての症例の問題が解決するわけではなく、症例はあくまでも一例です
- 根管治療により痛みや腫れがひかない事や、術後に痛みや腫れが生じる事、治療によるファイル破折やパーフォレーションなどの偶発症、術後の歯根破折を生じる可能性もあります
- 自費診療(保険適用外)となります
当サイトの内容、テキスト、画像等の無断転載、複製、複写、盗用を固く禁じます。










