症例詳細
Case detail
前歯の正中のズレを改善 目立たないワイヤー装置での抜歯矯正
治療症例の内容
- 診療科目
- 治療カテゴリ
- 担当医
- 藤巻太一朗(ドクタープロフィール)
- 患者様
- 20代女性
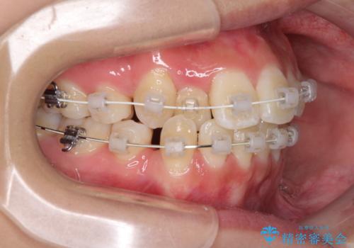
- 矯正装置
- 審美装置
- 治療期間
- 3年
- 治療回数
- 10-30回
- 治療計画
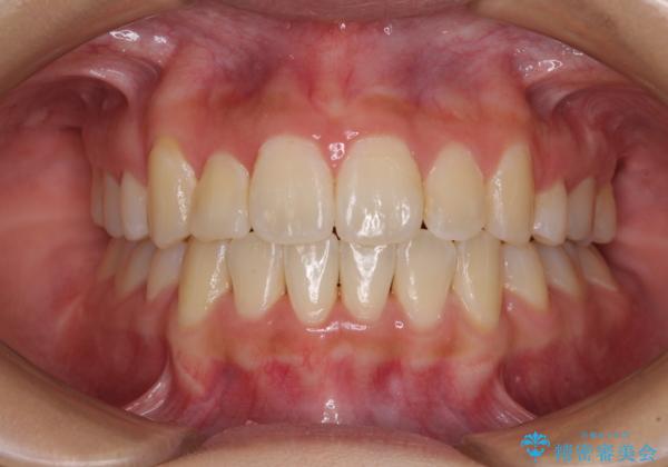
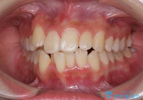
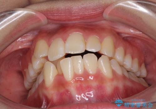
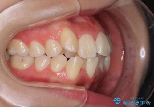
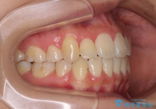
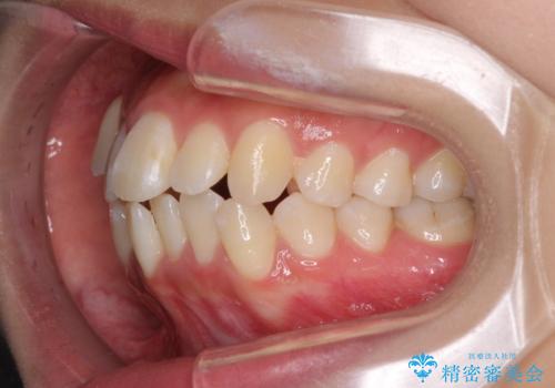
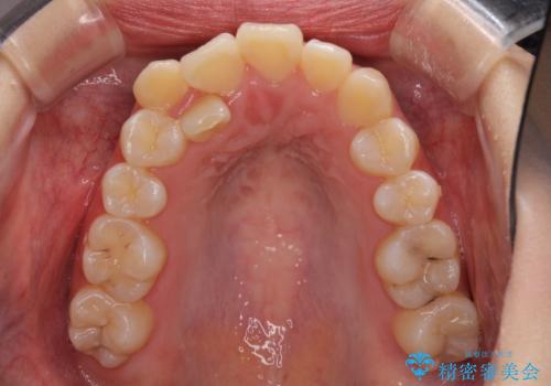
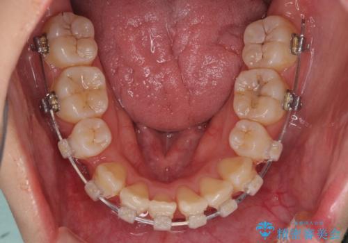
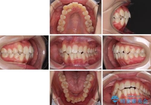
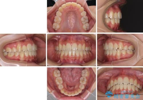
- 八重歯を気にして来院された患者様です。
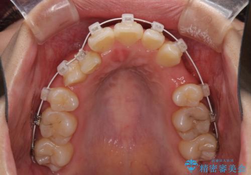
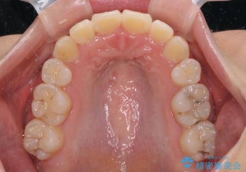
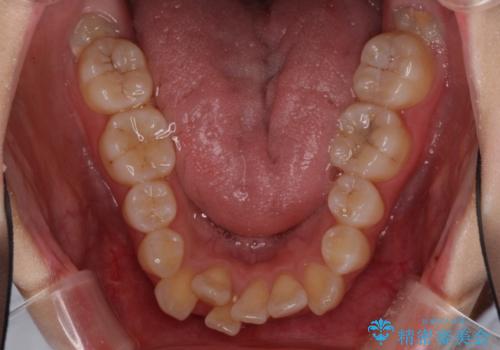
 上下ともに前突感と叢生が認められ、上顎の正中が著しく右側にずれていたため、上下左右第一小臼歯4本を抜歯し、ワイヤー矯正にて治療を行うこととしました。
- 費用(概算)
- 治療費の目安: 100万円費用は治療当時の料金となります
治療について
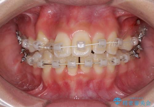
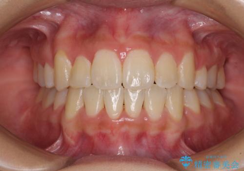
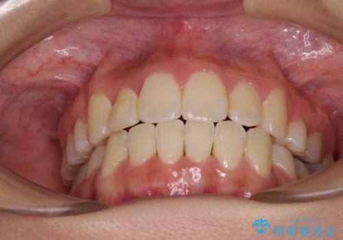
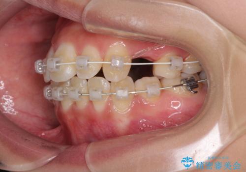
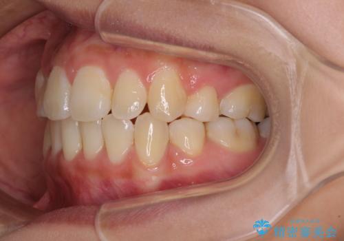
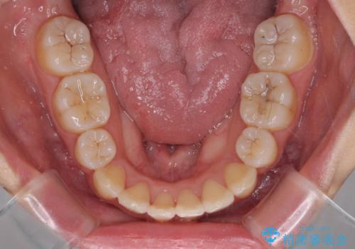
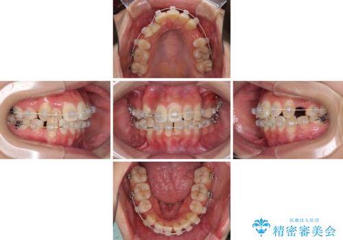
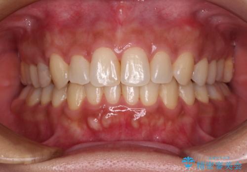
移動量が多かったため、治療期間は通常より半年~1年ほど長くかかりましたが、上下の正中をほぼ同じ位置にまで移動させることができました。
ワイヤー矯正の注意事項(リスク・副作用など)
- 治療中は違和感や痛みが起こることがあります
- 症状により、抜歯が必要な場合があります
- 治療中は歯磨きがしにくくなるため、虫歯や歯周病になりやすくなります
- 矯正治療後の保定が不十分だと後戻り(元の位置に戻ろうとする動き)をします
- 自費診療(保険適用外)となります
当サイトの内容、テキスト、画像等の無断転載、複製、複写、盗用を固く禁じます。








 
                       
                                                          

























 
                   
                   
                  