症例詳細
Case detail
ディープバイトと叢生を解消 インビザライン矯正
治療症例の内容
- 患者様
- 30代男性
- 矯正装置
- インビザライン
- 治療期間
- 1年1ヶ月
- 治療回数
- 10-30回
- 治療計画
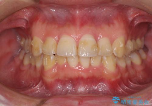
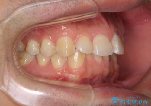
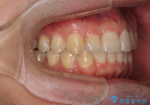
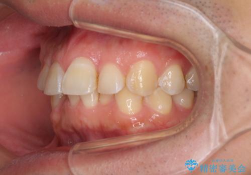
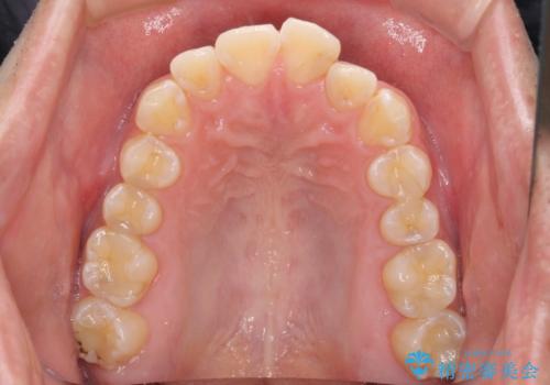
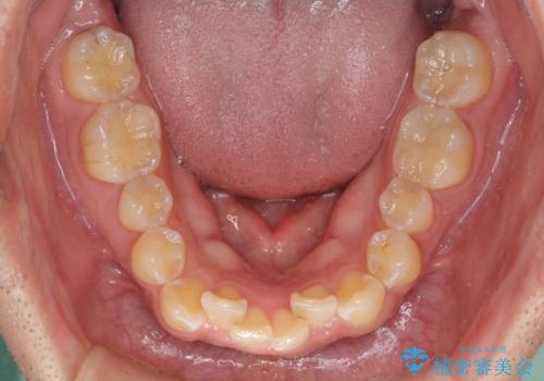
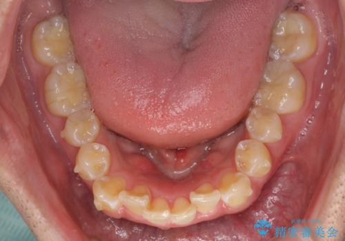
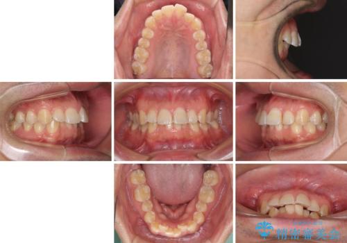
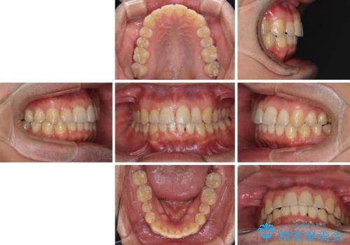
- 前歯のデコボコを強い咬みしめを気にして来院された患者様です。
インビザラインを用いて、前歯の叢生を解消するとともに、ディープバイトを改善していくこととしました。
- 費用(概算)
- 治療費の目安: 82万円費用は治療当時の料金となります
治療について
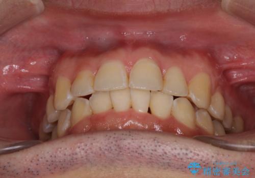
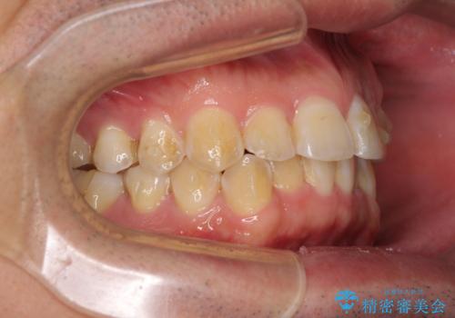
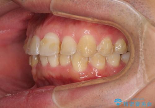
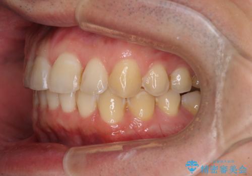
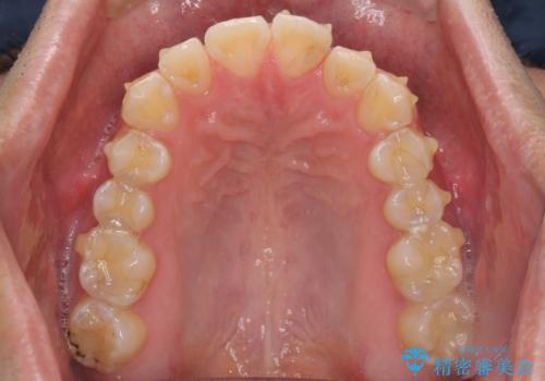
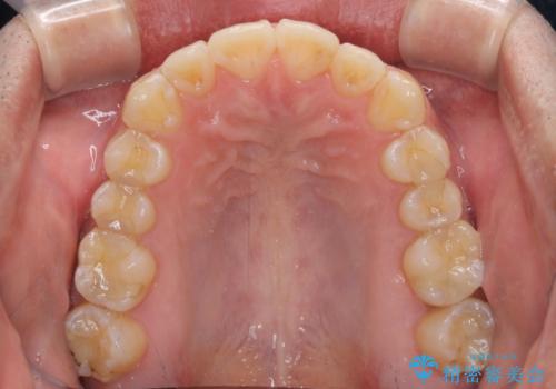
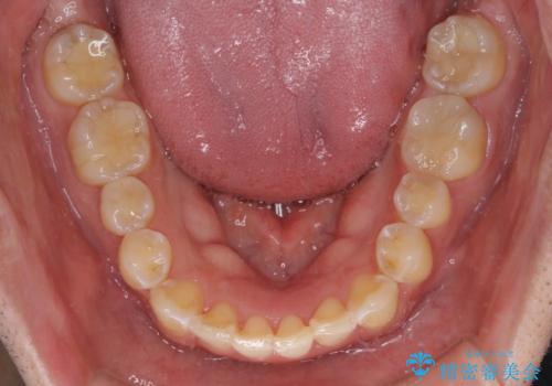
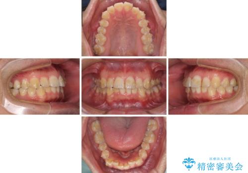
ディープバイトが改善されたことで、顎への負担が軽減され、更には上顎前歯の突出感も改善することができました。
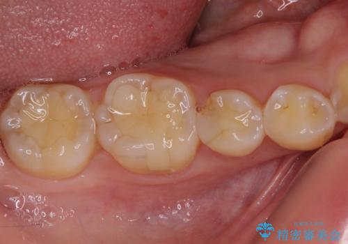
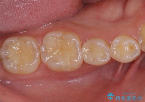
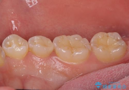
矯正治療後には欠けてしまった修復物をセラミックインレーにて修復治療しました。
マウスピース矯正の注意事項(リスク・副作用など)
- 口腔内・歯並びの状態によっては対応できない場合があります
- マウスピース型矯正装置の長時間装着(1日20時間以上)が必須です
- 治療計画通りに進めるためには、患者様の意志が重要になります
- 矯正治療後の保定が不十分だと後戻り(元の位置に戻ろうとする動き)をします
- 薬機法対象外の矯正歯科装置のため医薬品副作用被害救済制度の対象外となる場合があります
- 自費診療(保険適用外)となります
当サイトの内容、テキスト、画像等の無断転載、複製、複写、盗用を固く禁じます。






























