症例詳細
Case detail
気になる前歯を美しく マウスピース矯正とセラミッククラウン
治療症例の内容
- 担当医
- 藤巻太一朗(ドクタープロフィール)
- 患者様
- 20代女性
- 矯正装置
- インビザライン
- 治療期間
- 2年6ヶ月
- 治療回数
- 10-30回
- 治療計画
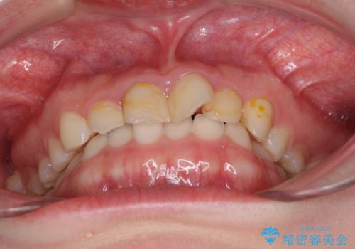
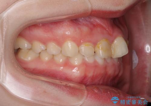
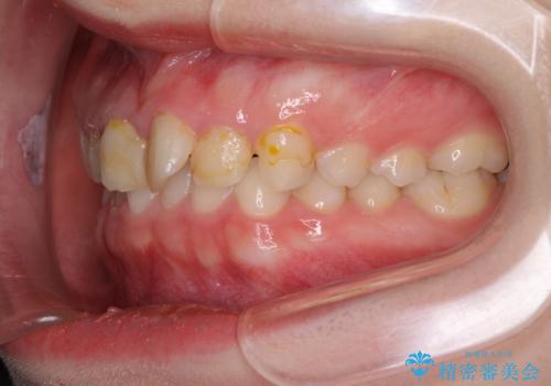
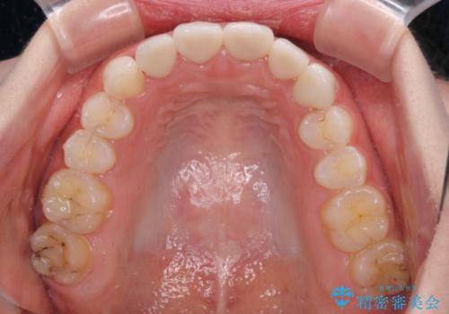
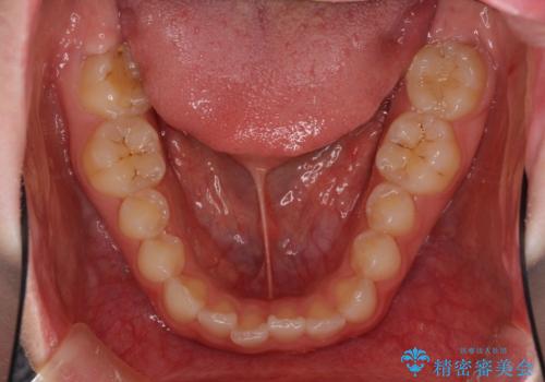
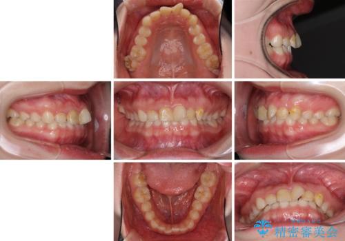
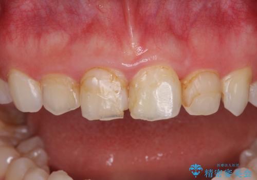
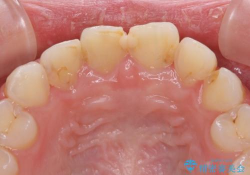
- 前歯の歯並びと虫歯を気にして来院された患者様です。
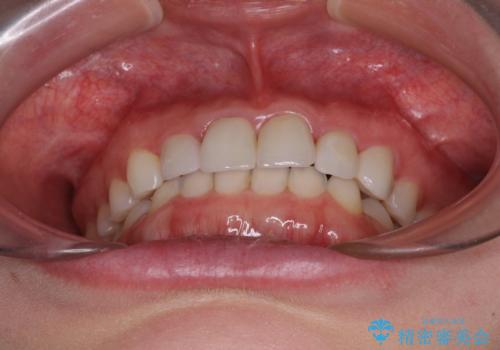
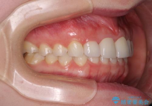
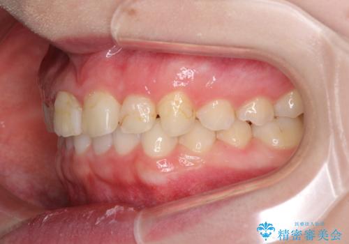
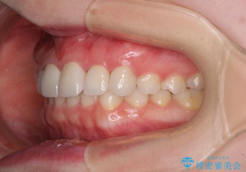
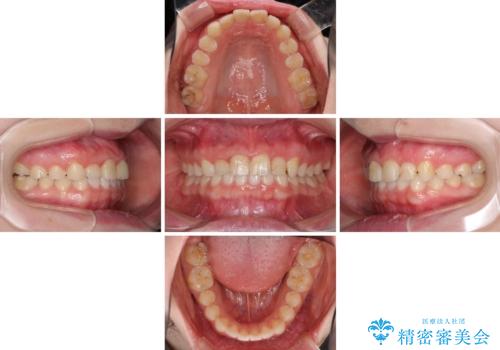
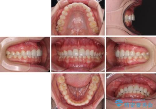
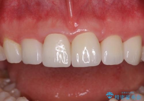
上下前歯の歯列不正はインビザラインにより歯列を整え、その後に、前歯5本をオールセラミッククラウンにて補綴治療することとしました。
- 費用(概算)
- 治療費の目安: 130万円費用は治療当時の料金となります
治療について
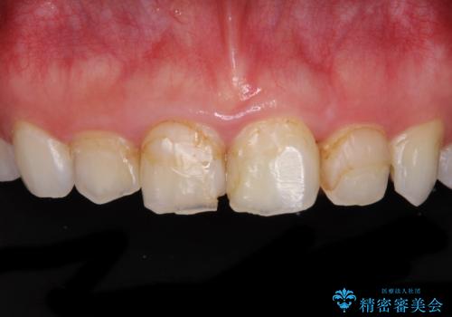
矯正治療前に前歯のむし歯治療を行ったものの、樹脂で充填するには虫歯が広範囲であったため、審美的に問題がありました。
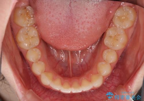
矯正治療にて歯並びを整えた後に、虫歯の大きかった5本の歯をセラミッククラウンにて補綴し、明るい口元になりました。
マウスピース矯正の注意事項(リスク・副作用など)
- 口腔内・歯並びの状態によっては対応できない場合があります
- マウスピース型矯正装置の長時間装着(1日20時間以上)が必須です
- 治療計画通りに進めるためには、患者様の意志が重要になります
- 矯正治療後の保定が不十分だと後戻り(元の位置に戻ろうとする動き)をします
- 薬機法対象外の矯正歯科装置のため医薬品副作用被害救済制度の対象外となる場合があります
- 自費診療(保険適用外)となります
セラミック治療の注意事項(リスク・副作用など)
- 天然歯を削ります
- 硬い素材は天然歯を傷つけてしまう場合があります
- かみ合わせや歯ぎしりが強すぎる方はセラミックが割れてしまう可能性があります
- 自費診療(保険適用外治療)となります
当サイトの内容、テキスト、画像等の無断転載、複製、複写、盗用を固く禁じます。

































