症例詳細
Case detail
外科矯正は受けたくない 上顎骨拡大による妥協的な受け口治療
治療症例の内容
- 診療科目
- 担当医
- 藤巻太一朗(ドクタープロフィール)
- 患者様
- 20代女性
- 矯正装置
- インビザライン・審美装置
- 治療期間
- 3年
- 治療回数
- 30回以上
- 治療計画
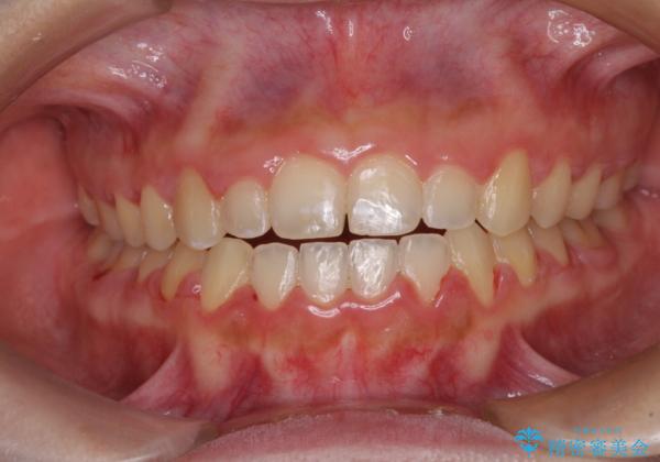
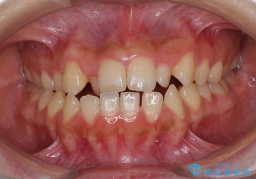
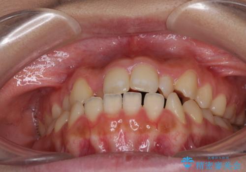
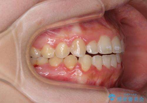
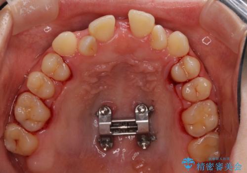
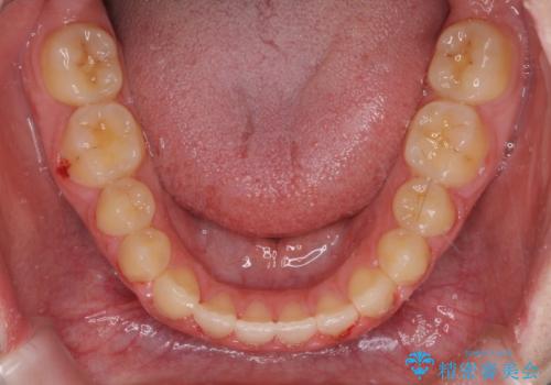
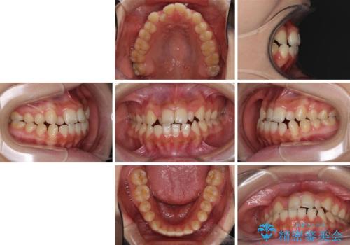
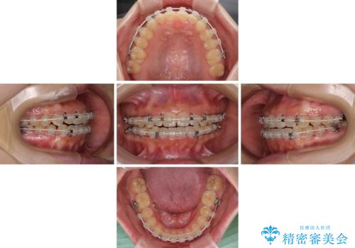
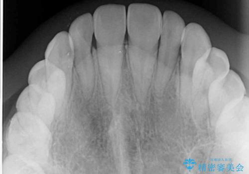
- 前歯のデコボコと、下顎の変位と受け口を気にして来院された患者様です。
 初診時には大学病院にて顎の骨を切る外科矯正を勧めましたが、妥協的なゴールでも構わないので外科処置をせずに矯正を行いたいとのことでした。
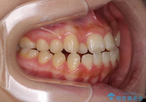
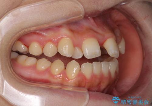
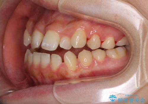
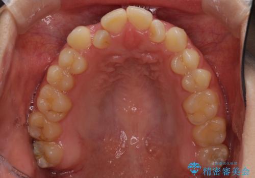
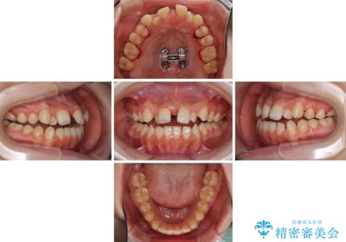
 まずは急速拡大装置にて上顎骨を側方に拡大し、インビザラインにて歯列と咬合を整えることとしました。
 インビザラインでの治療が困難な場合には、ワイヤー矯正にて仕上げる可能性があることを予めご了承いただきました。
- 費用(概算)
- 治療費の目安: 120万円費用は治療当時の料金となります
治療について
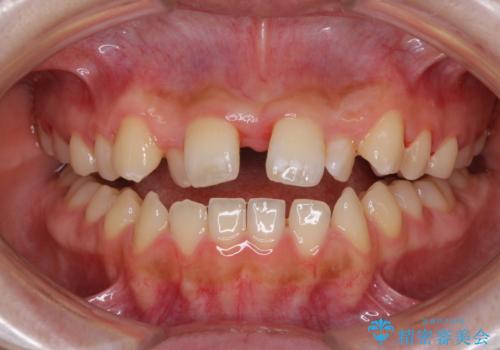
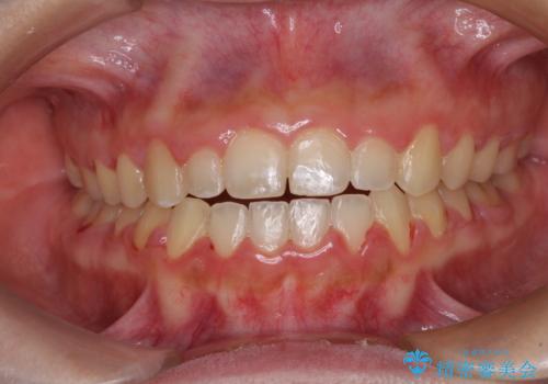
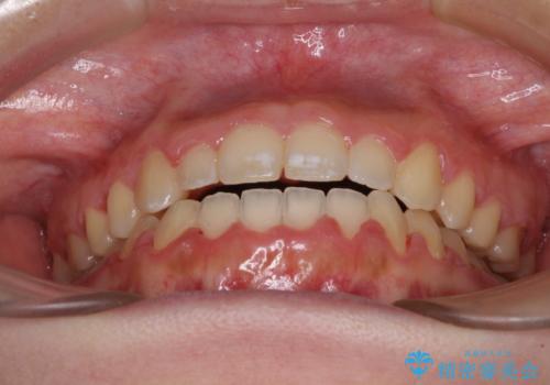
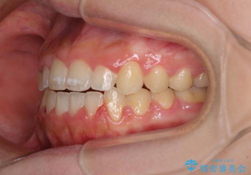
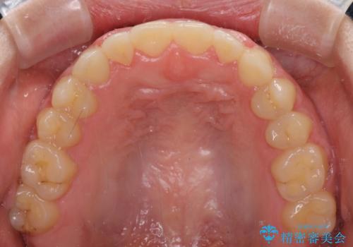
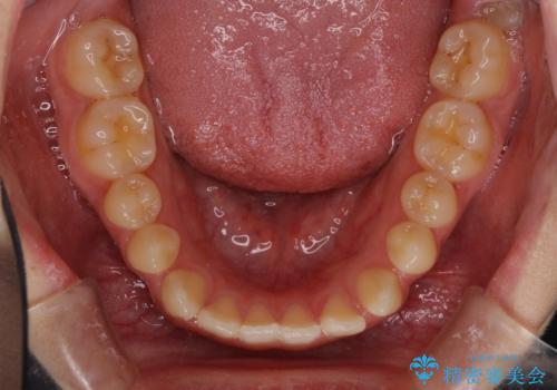
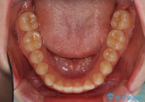
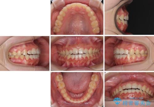
上顎骨を拡大したことで、下顎の歯列を上顎が受け入れられるようになりましたが、インビザラインでは咬み合わせを改善させることができなかったため、ワイヤー矯正にて仕上げることとしました。
ワイヤーを使用したものの、上下前歯のオープンバイトがなかなか改善されませんでしたが、患者希望により治療終了となりました。
ワイヤー矯正の注意事項(リスク・副作用など)
- 治療中は違和感や痛みが起こることがあります
- 症状により、抜歯が必要な場合があります
- 治療中は歯磨きがしにくくなるため、虫歯や歯周病になりやすくなります
- 矯正治療後の保定が不十分だと後戻り(元の位置に戻ろうとする動き)をします
- 自費診療(保険適用外)となります
マウスピース矯正の注意事項(リスク・副作用など)
- 口腔内・歯並びの状態によっては対応できない場合があります
- マウスピース型矯正装置の長時間装着(1日20時間以上)が必須です
- 治療計画通りに進めるためには、患者様の意志が重要になります
- 矯正治療後の保定が不十分だと後戻り(元の位置に戻ろうとする動き)をします
- 薬機法対象外の矯正歯科装置のため医薬品副作用被害救済制度の対象外となる場合があります
- 自費診療(保険適用外)となります
当サイトの内容、テキスト、画像等の無断転載、複製、複写、盗用を固く禁じます。








 
                       
                                                          































 
                   
                   
                  