症例詳細
Case detail
すきっ歯・出っ歯が気になる インビザライン矯正 乳歯をインプラントに
- 患者様
- 20代男性
- 矯正装置
- インビザライン フル
- 治療期間
- 2年1ヶ月
- 治療計画
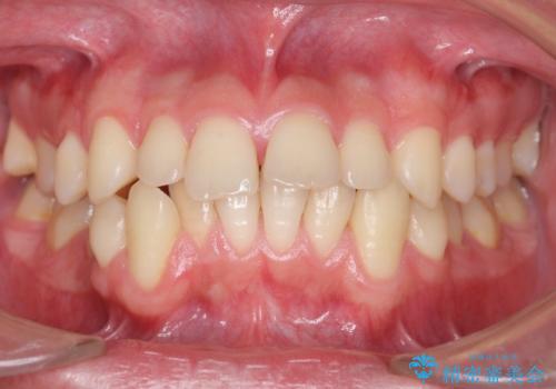
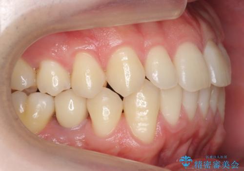
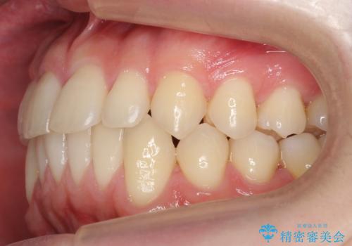
- 前歯の並びをきにして来院。
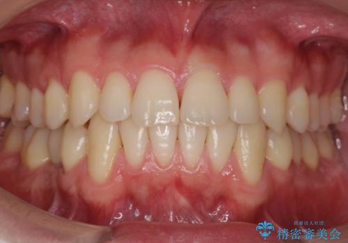
歯を抜かずに、やすりがけすることでスペースを獲得し、前歯をしっかり下げました。
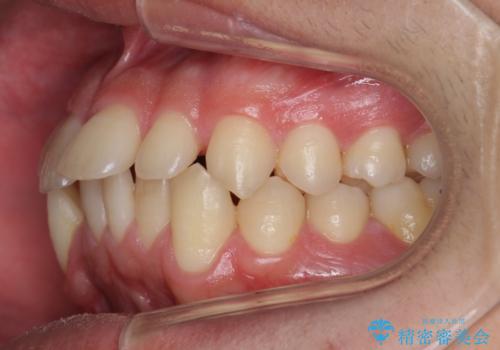
また、インビザラインに先駆けて、右下はワイヤーによる部分矯正を行い、犬歯をしっかり後ろに下げました。
下げる時に、矯正用ミニスクリューを使用しています。
矯正治療終了後のインプラント植立については以下をご覧ください。
https://seimitsushinbi.jp/case/63803/
- 費用(概算)
- 100万円 (インビザライン85万円 部分矯正・付加装置15万円) インプラント費用は別途費用は治療当時の料金となります
治療について
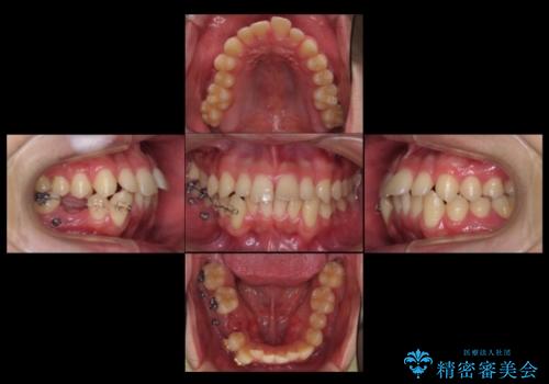
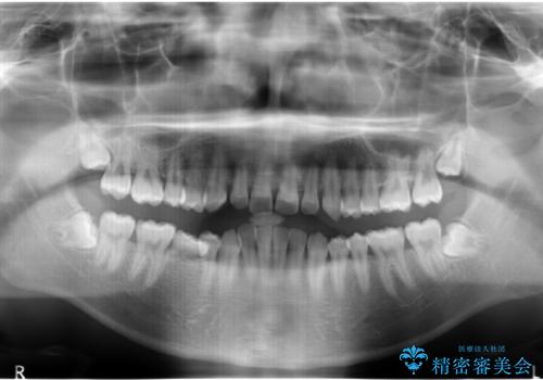
右下に乳歯が残っていましたが、後に続く永久歯がありませんでした。
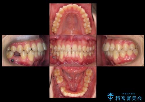
乳歯も根が吸収しており長くは持たない状況でしたので、まず乳歯を抜歯し、他の歯を矯正治療で歯を並べてからインプラントで補綴しました。
先にインプラントをしてしまうと、矯正治療で周りの歯を動かす事ができなくなってしまいます。
矯正治療→インプラントの順で行います。
インプラント治療の注意事項(リスク・副作用など)
- 外科手術のため、術後に痛みや腫れ、違和感を伴います
- メンテナンスを怠ったり喫煙により、お口の中に大きな悪影響を及ぼすインプラント周囲炎等にかかる可能性があります
- 糖尿病、肝硬変、心臓病等の場合、インプラント治療ができない可能性があります
- 高血圧、貧血・不整脈等の場合、インプラント治療後に治癒不全を招く可能性があります
- 自費診療(保険適用外治療)となります
ワイヤー矯正の注意事項(リスク・副作用など)
- 治療中は違和感や痛みが起こることがあります
- 症状により、抜歯が必要な場合があります
- 治療中は歯磨きがしにくくなるため、虫歯や歯周病になりやすくなります
- 矯正治療後の保定が不十分だと後戻り(元の位置に戻ろうとする動き)をします
- 自費診療(保険適用外)となります
マウスピース矯正の注意事項(リスク・副作用など)
- 口腔内・歯並びの状態によっては対応できない場合があります
- マウスピース型矯正装置の長時間装着(1日20時間以上)が必須です
- 治療計画通りに進めるためには、患者様の意志が重要になります
- 矯正治療後の保定が不十分だと後戻り(元の位置に戻ろうとする動き)をします
- 薬機法対象外の矯正歯科装置のため医薬品副作用被害救済制度の対象外となる場合があります
- 自費診療(保険適用外)となります
当サイトの内容、テキスト、画像等の無断転載、複製、複写、盗用を固く禁じます。




















