症例詳細
Case detail
オールセラミッククラウン 根管治療のやり直し
治療症例の内容
- 担当医
- 患者様
- 50代女性
- 治療期間
- 9ヶ月
- 治療回数
- 5-10回
- 治療計画
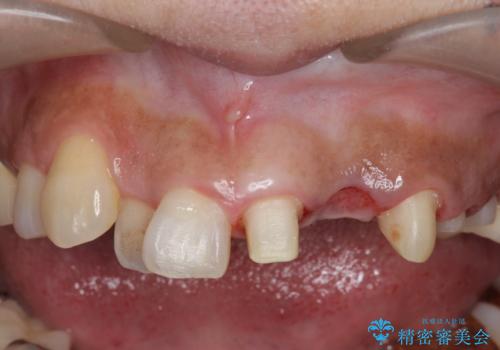
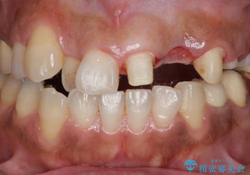
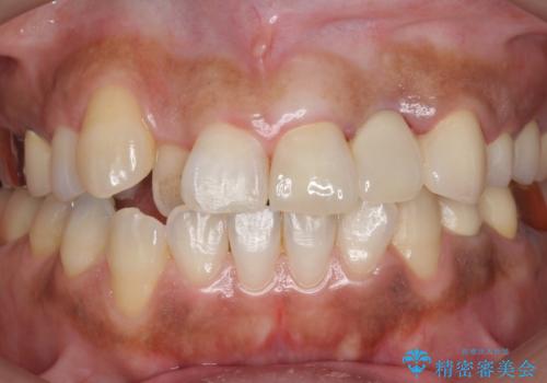
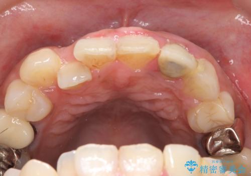
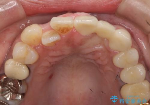
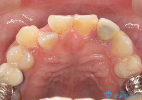
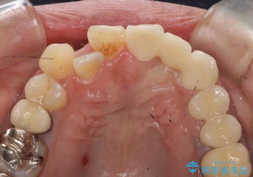
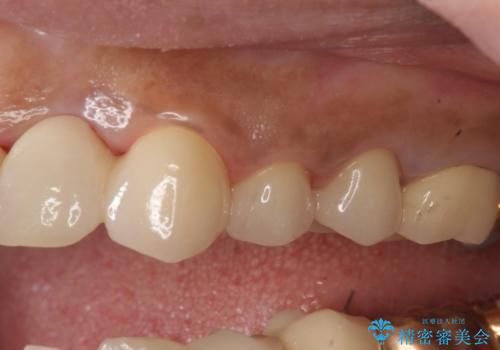
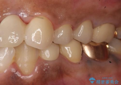
- 左上2番目の歯がグラグラするので診て欲しいといらっしゃった方の症例です。
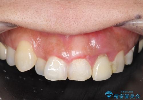
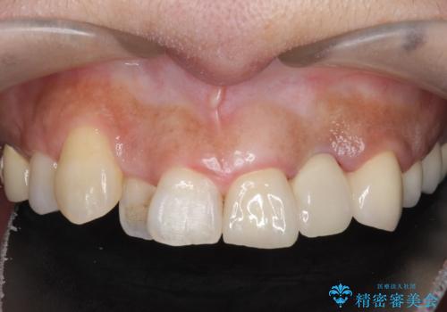
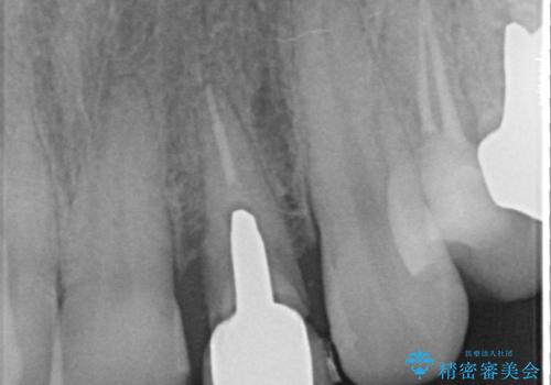
左上2番目の歯は歯根が破折してため抜歯し、左上123のブリッジによる欠損補綴を行いました。
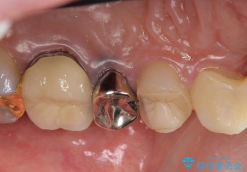
左上4、5番目の歯は根尖病変を認めたため再根管治療を行い、オールセラミッククラウンによる補綴を行いました。
なお左上4に関しては縁下歯質を改善するため、歯冠挺出を行っております。
- 費用(概算)
- オールセラミッククラウン…¥100,000×5、仮歯…¥10,000×5、ファイバーコア…¥20,000×2、歯冠延長術…¥100,000、精密根管治療費別途費用は治療当時の料金となります
歯冠延長術について
歯冠長延長術とは歯肉弁根尖側移動術とも言い、歯の高さが低くクラウン(被せ物)による治療が難しい場合に、歯茎を歯根方向に下げることで歯の高さを確保する手術です。歯の高さが十分にあることで、外れにくいしっかりとしたクラウンを被せることができます。
オールセラミッククラウンについて
今回用いたオールセラミッククラウンは、ジルコニアフレームという白い素材の上にセラミックを盛っているため審美性が非常に高いのが特徴です。
またジルコニアは人工ダイヤモンドの材料にも使われているほど高い強度を持っており、そのためオールセラミッククラウンは審美性だけでなく、奥歯やブリッジの補綴も可能とするクラウンです。
根管治療の注意事項(リスク・副作用など)
- 根管治療により類似の全ての症例の問題が解決するわけではなく、症例はあくまでも一例です
- 根管治療により痛みや腫れがひかない事や、術後に痛みや腫れが生じる事、治療によるファイル破折やパーフォレーションなどの偶発症、術後の歯根破折を生じる可能性もあります
- 自費診療(保険適用外)となります
セラミック治療の注意事項(リスク・副作用など)
- 天然歯を削ります
- 硬い素材は天然歯を傷つけてしまう場合があります
- かみ合わせや歯ぎしりが強すぎる方はセラミックが割れてしまう可能性があります
- 自費診療(保険適用外治療)となります
当サイトの内容、テキスト、画像等の無断転載、複製、複写、盗用を固く禁じます。


























