症例詳細
Case detail
深い虫歯で歯茎が腫れる 部分矯正を用いたむし歯治療
治療症例の内容
- 診療科目
- 治療カテゴリ
- 担当医
- 藤巻太一朗(ドクタープロフィール)
- 患者様
- 20代女性
- 治療期間
- 5ヶ月
- 治療回数
- 2-5回
- 治療計画
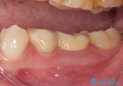
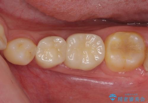
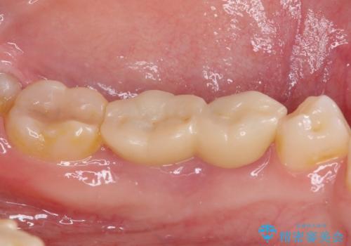
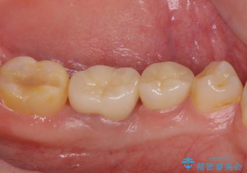
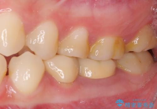
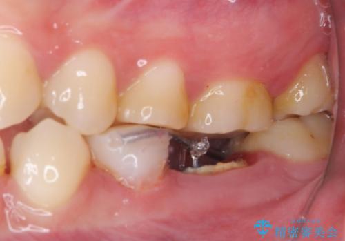
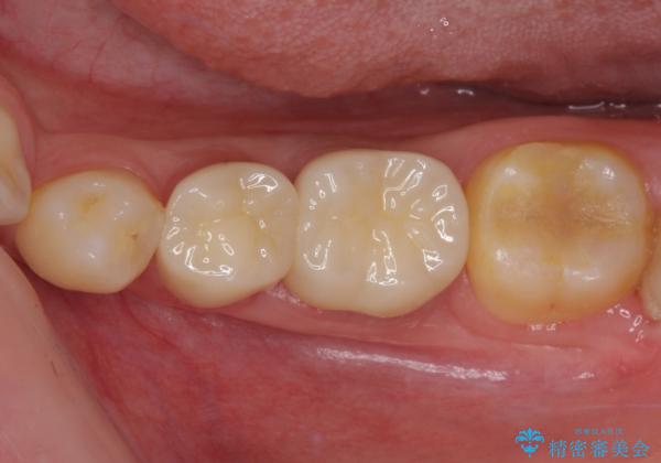
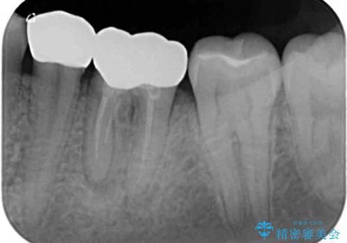
- クラウンを装着したばかりの歯の歯肉が腫れていることを気にして来院された患者様です。
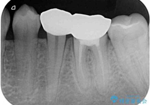
むし歯がとても大きく、歯茎に歯の一部が埋もれてしまっているため、汚れが溜まりやすくなっている状態でした。
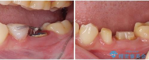
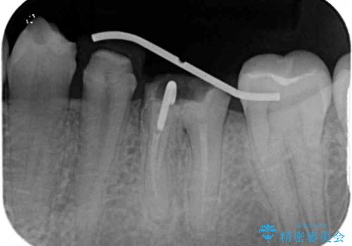
根歯の挺出(歯を引っ張り出す部分矯正)、歯周外科処置などを行った後、オールセラミッククラウンにて補綴することとしました。
- 費用(概算)
- 治療費の目安: 28万円費用は治療当時の料金となります
治療について
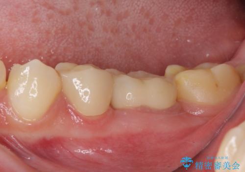
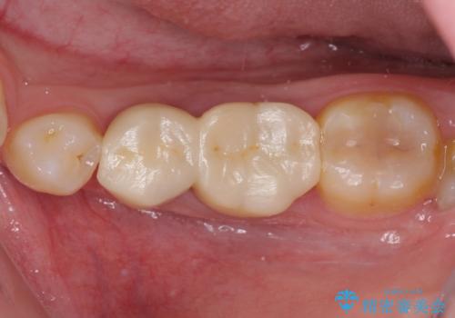
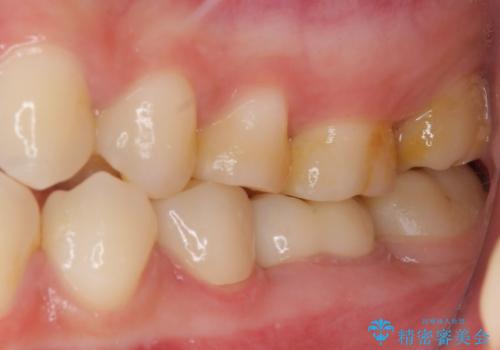
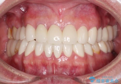
当初は歯肉が腫れ上がり、大変不快な思いをされていましたが、セラミッククラウン装着後は清掃性が著しく改善し、患者様には大変満足していただきました。
セラミック治療の注意事項(リスク・副作用など)
- 天然歯を削ります
- 硬い素材は天然歯を傷つけてしまう場合があります
- かみ合わせや歯ぎしりが強すぎる方はセラミックが割れてしまう可能性があります
- 自費診療(保険適用外治療)となります
ワイヤー矯正の注意事項(リスク・副作用など)
- 治療中は違和感や痛みが起こることがあります
- 症状により、抜歯が必要な場合があります
- 治療中は歯磨きがしにくくなるため、虫歯や歯周病になりやすくなります
- 矯正治療後の保定が不十分だと後戻り(元の位置に戻ろうとする動き)をします
- 自費診療(保険適用外)となります
当サイトの内容、テキスト、画像等の無断転載、複製、複写、盗用を固く禁じます。














