症例詳細
Case detail
銀歯を白くしたい セラミックによる審美歯科治療
治療症例の内容
- 担当医
- 藤巻太一朗(ドクタープロフィール)
- 患者様
- 20代男性
- 治療期間
- 1年2ヶ月
- 治療回数
- 5-10回
- 治療計画
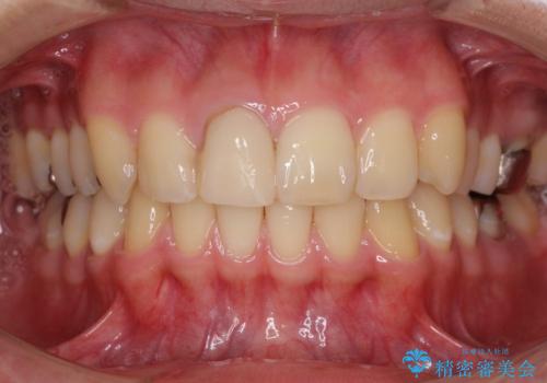
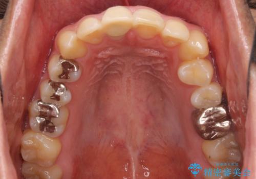
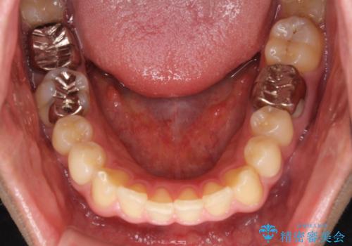
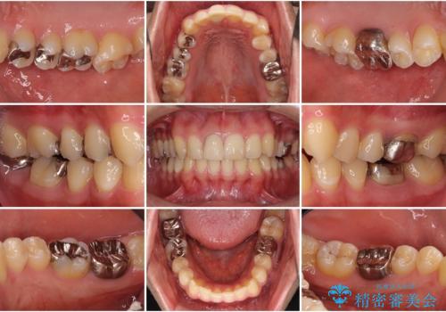
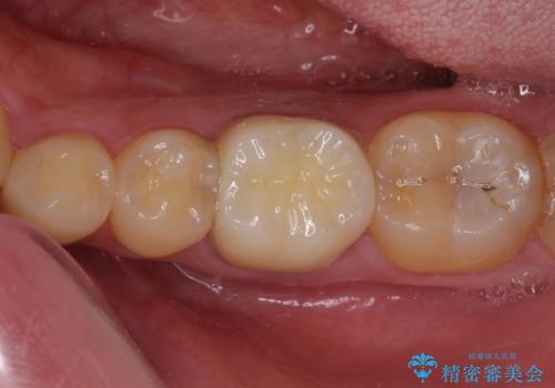
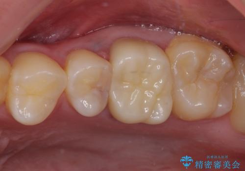
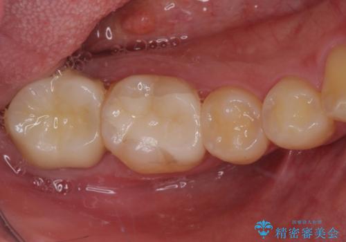
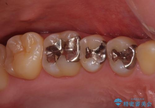
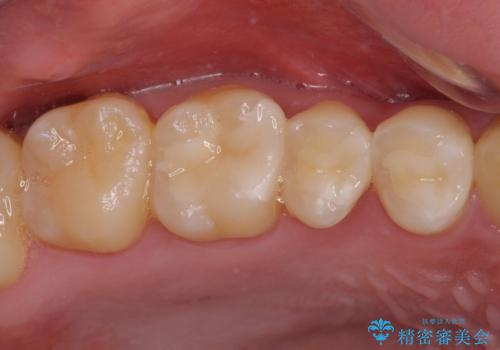
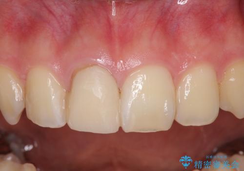
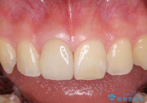
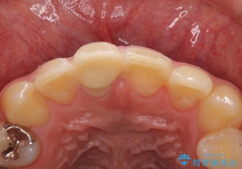
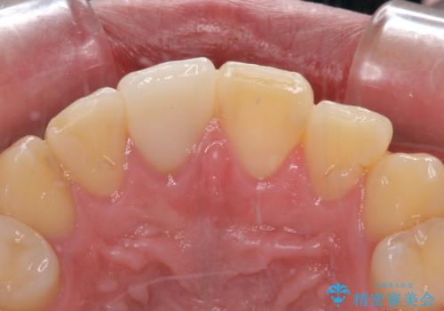
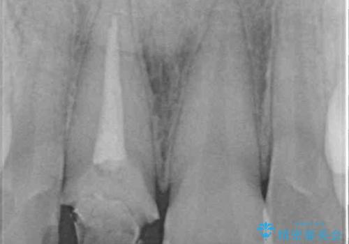
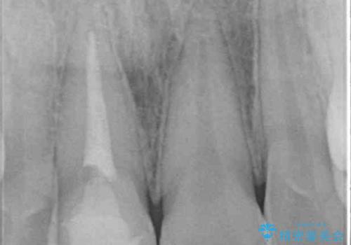
- 治療中の前歯と口腔内にある銀歯が気になるとのことで来院された患者様です。
土台に含まれている金属も含め、口腔内の金属は全て除去し、根管治療が必要な歯は根管治療を行い、オールセラミッククラウンやセラミックインレーにて治療することとしました。
- 費用(概算)
- 治療費の目安: 110万円費用は治療当時の料金となります
治療について
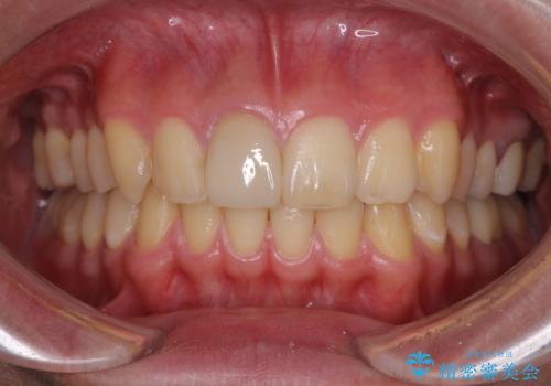
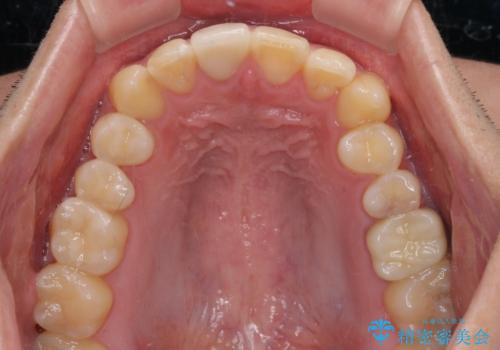
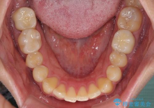
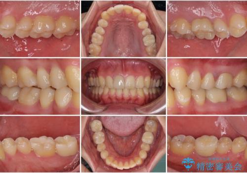
途中来院されない時期があったため、初診から終了まで期間がかかりましたが、根管治療を行った歯の根尖病変はいずれも改善を確認することができました。
口腔内の金属が全てなくなり、患者様には大変満足していただきました。
セラミック治療の注意事項(リスク・副作用など)
- 天然歯を削ります
- 硬い素材は天然歯を傷つけてしまう場合があります
- かみ合わせや歯ぎしりが強すぎる方はセラミックが割れてしまう可能性があります
- 自費診療(保険適用外治療)となります
外科処置の注意事項(リスク・副作用など)
- 外科手術のため、術後に出血、痛みや腫れ、違和感を伴います
- 口腔内の状態によっては適応できないことがあります
当サイトの内容、テキスト、画像等の無断転載、複製、複写、盗用を固く禁じます。
























