症例詳細
Case detail
前歯のデコボコを改善 目立たないワイヤー矯正
治療症例の内容
- 診療科目
- 治療カテゴリ
- 担当医
- 藤巻太一朗(ドクタープロフィール)
- 患者様
- 20代女性
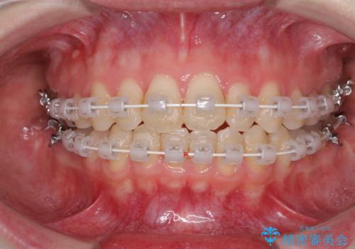
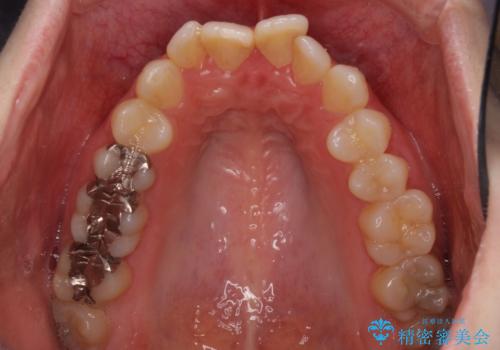
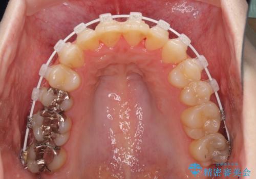
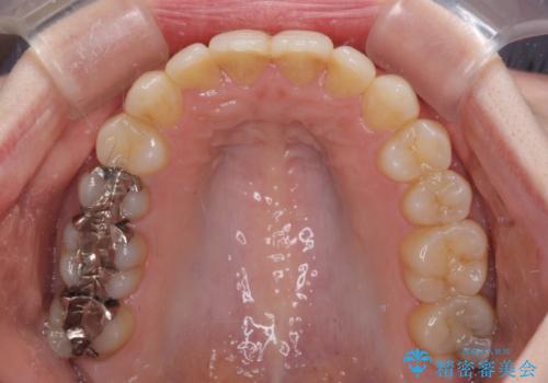
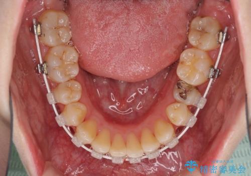
- 矯正装置
- 審美装置
- 治療期間
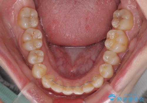
- 2年6ヶ月
- 治療回数
- 10-30回
- 治療計画
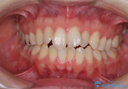
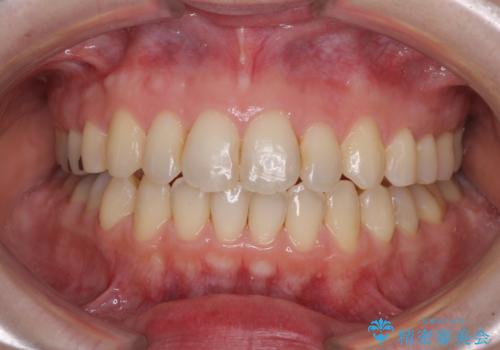
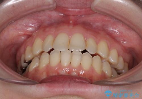
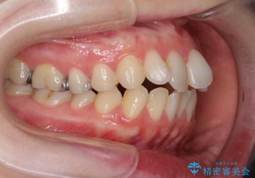
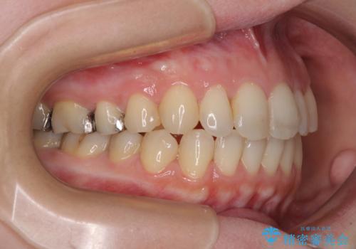
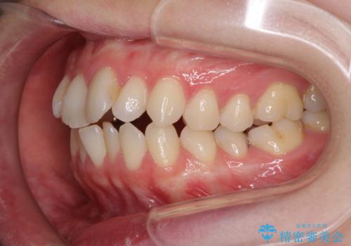
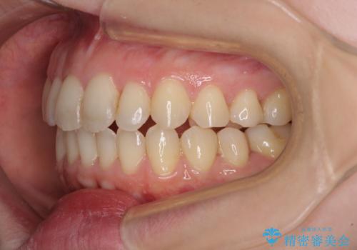
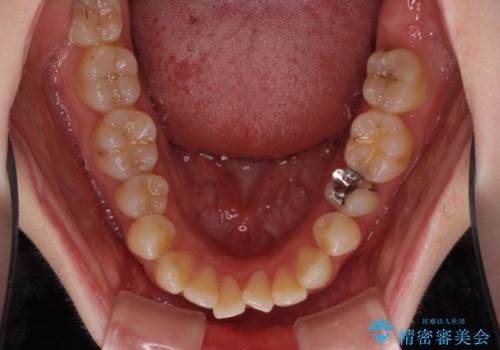
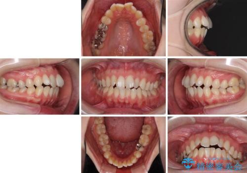
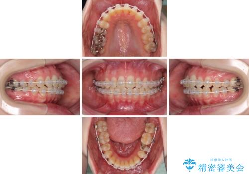
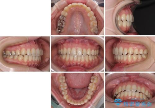
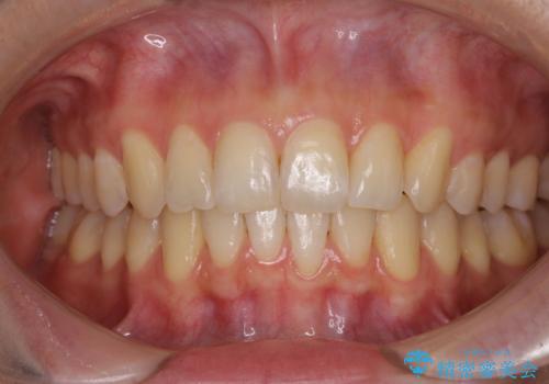
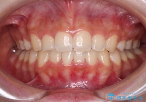
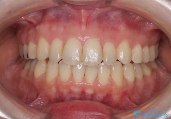
- 前歯のデコボコを気にして来院された患者様です。
下顎が骨格的にずれており、上下正中を合わせることは難しいことが予想されたため、デコボコの解消を主目的として、ワイヤー矯正を行うこととしました。
- 費用(概算)
- 治療費の目安: 85万費用は治療当時の料金となります
治療について
治療途中で出産されたこともあり、当初予定よりも終了までに期間がかかってしまいました。
舌を前方に突出する癖があったため、上下前歯がなかなか接触しなかったことも治療期間が伸びた要因です。
ワイヤー矯正の注意事項(リスク・副作用など)
- 治療中は違和感や痛みが起こることがあります
- 症状により、抜歯が必要な場合があります
- 治療中は歯磨きがしにくくなるため、虫歯や歯周病になりやすくなります
- 矯正治療後の保定が不十分だと後戻り(元の位置に戻ろうとする動き)をします
- 自費診療(保険適用外)となります
当サイトの内容、テキスト、画像等の無断転載、複製、複写、盗用を固く禁じます。


























