症例詳細
Case detail
欠けてしまった前歯のセラミック 同じ色合いで再製作
治療症例の内容
- 診療科目
- 治療カテゴリ
- 担当医
- 藤巻太一朗(ドクタープロフィール)
- 患者様
- 20代男性
- 治療期間
- 1ヶ月
- 治療回数
- 2-5回
- 治療計画
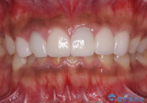
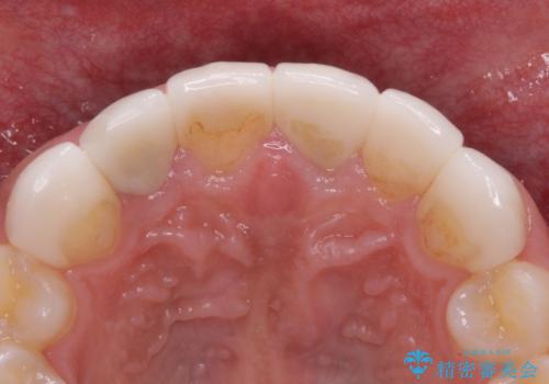
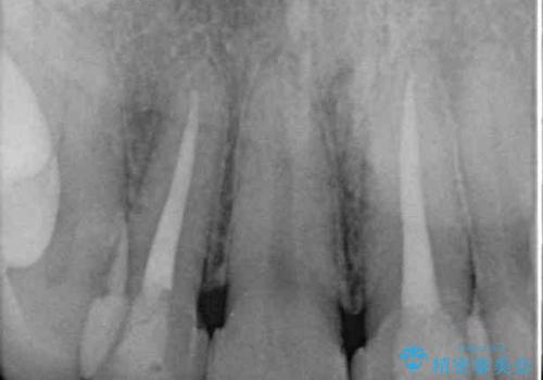
- 前歯のセラミッククラウンが欠けてしまったとのことで来院された患者様です。
周りの他の歯もセラミッククラウンやラミネートベニアが装着されていたため、欠けてしまったクラウンを丁寧に取り外し、同じような色合いとなるように製作することとしました。
- 費用(概算)
- 治療費の目安: 8万円費用は治療当時の料金となります
治療について
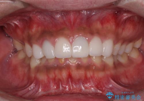
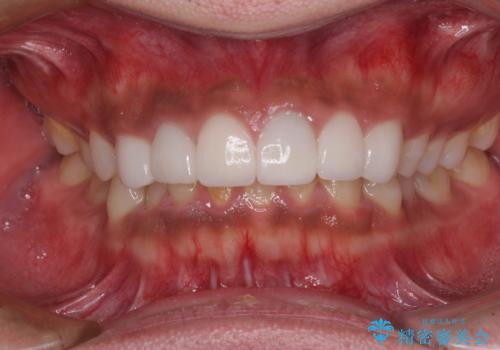
欠けたセラミッククラウンを丁寧に外して技工所に送ったことで、元のセラミッククラウン同様の色合いとなり、自然な仕上がりとなりました。
セラミック治療の注意事項(リスク・副作用など)
- 天然歯を削ります
- 硬い素材は天然歯を傷つけてしまう場合があります
- かみ合わせや歯ぎしりが強すぎる方はセラミックが割れてしまう可能性があります
- 自費診療(保険適用外治療)となります
当サイトの内容、テキスト、画像等の無断転載、複製、複写、盗用を固く禁じます。














