症例詳細
Case detail
奥歯が痛い。ラバーダム使った治療がしたい。
治療症例の内容
- 診療科目
- 担当医
- 河口智英(ドクタープロフィール)
- 患者様
- 20代女性
- 治療期間
- 3ヶ月
- 治療回数
- 2-5回
- 治療計画
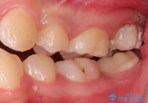
- 他院にて奥歯の治療をしても痛みが引かずに、ラバーダムの存在を知り、無菌的な治療を行える病院を探して当院を受診されました。
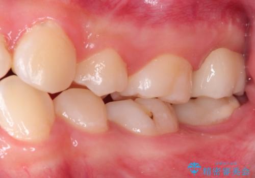
根管治療~フルジルコニアクラウンにて修復しております。
治療前には打診、圧痛がありましたが治療後には症状が消失し、3ヶ月後のレントゲンでも透過像の縮小を認めています。
- 費用(概算)
- 精密根管治療(イニシャルケース,大臼歯):122,000円、ファイバーコア:22,000円、仮歯:11,000円、オールセラミッククラウン(st):110,000円費用は治療当時の料金となります
治療について
治療介入時、根管内部にはカリエスや異物が存在する状態でしたが適切な処置を行うことで症状を改善することができました。
セラミック治療の注意事項(リスク・副作用など)
- 天然歯を削ります
- 硬い素材は天然歯を傷つけてしまう場合があります
- かみ合わせや歯ぎしりが強すぎる方はセラミックが割れてしまう可能性があります
- 自費診療(保険適用外治療)となります
根管治療の注意事項(リスク・副作用など)
- 根管治療により類似の全ての症例の問題が解決するわけではなく、症例はあくまでも一例です
- 根管治療により痛みや腫れがひかない事や、術後に痛みや腫れが生じる事、治療によるファイル破折やパーフォレーションなどの偶発症、術後の歯根破折を生じる可能性もあります
- 自費診療(保険適用外)となります
当サイトの内容、テキスト、画像等の無断転載、複製、複写、盗用を固く禁じます。











