症例詳細
Case detail
前歯の違和感 失活歯の根管治療とセラミック治療
治療症例の内容
- 担当医
- 大元洋佑(ドクタープロフィール)
- 患者様
- 40代女性
- 治療期間
- 1ヶ月
- 治療回数
- 2-5回
- 治療計画
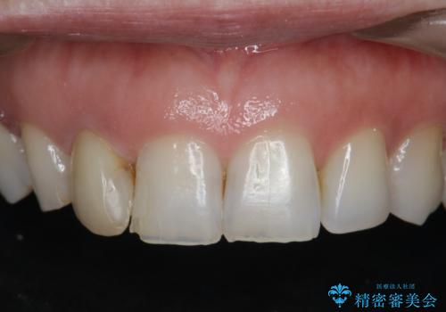
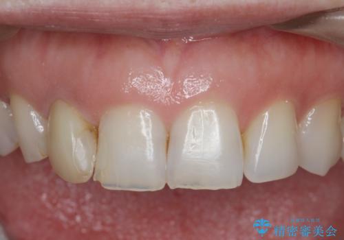
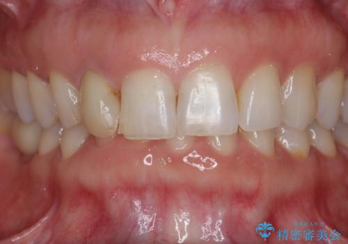
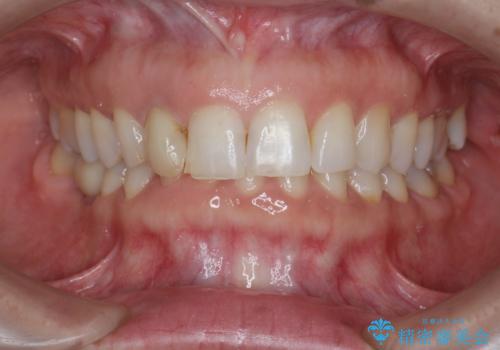
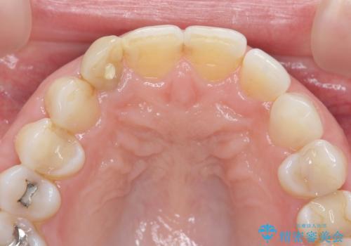
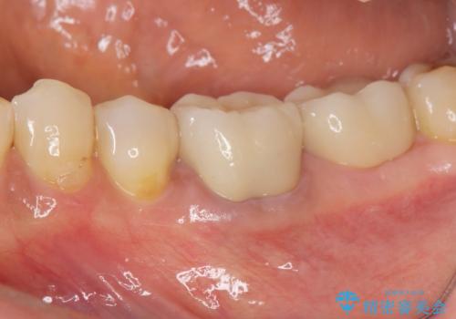
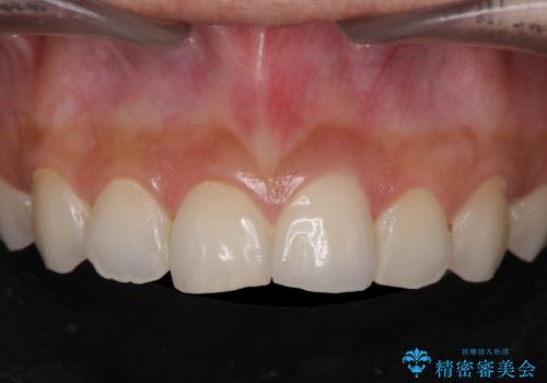
- 前歯の付近、歯ぐきを押すと違和感を感じその改善を求めて来院されました。
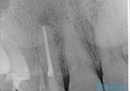
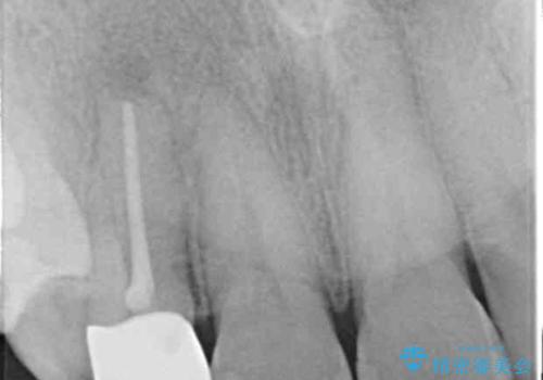
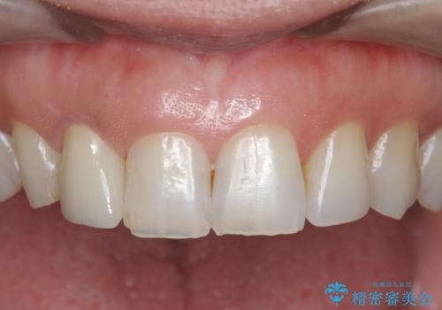
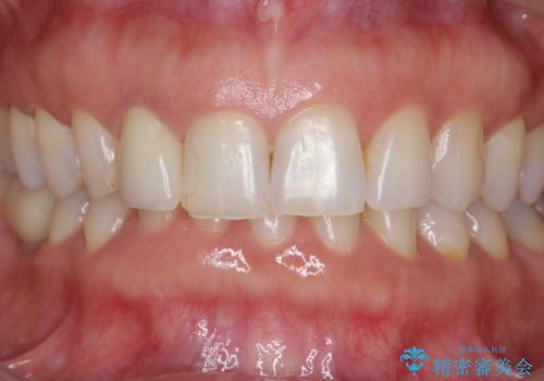
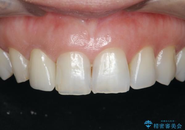
X線検査の結果、失活(感染根管)であることが判明したので、感染根管治療後セラミック補綴を計画します。
- 費用(概算)
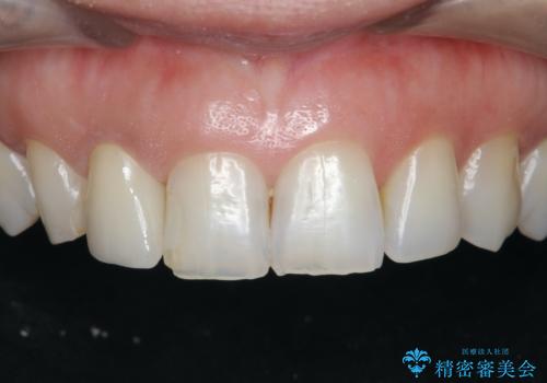
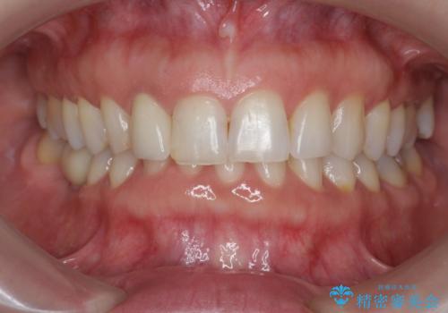
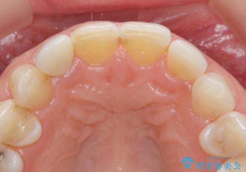
- 16万円(仮歯・ファイバーコア・ジルコニアクラウンスペシャル)費用は治療当時の料金となります
セラミック治療について
セラミック治療を行う前にきっちりと根管治療を行うことが長期的に持つ可能性を高めます。
セラミック治療の注意事項(リスク・副作用など)
- 天然歯を削ります
- 硬い素材は天然歯を傷つけてしまう場合があります
- かみ合わせや歯ぎしりが強すぎる方はセラミックが割れてしまう可能性があります
- 自費診療(保険適用外治療)となります
当サイトの内容、テキスト、画像等の無断転載、複製、複写、盗用を固く禁じます。














