症例詳細
Case detail
銀歯だらけの口の中を改善したい
治療症例の内容
- 患者様
- 40代男性
- 治療期間
- 1年
- 治療回数
- 5-10回
- 治療計画
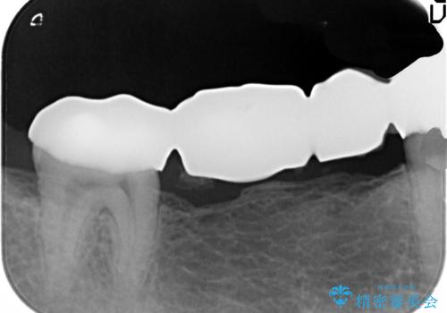
- 銀歯だらけの口の中に嫌気がさし、改善を求めて来院されました。
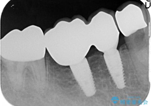
設計に無理のある長期的に良好な状態が保てるとは思えないブリッジを除去し、インプラントを用いた補綴計画を立てます。
- 費用(概算)
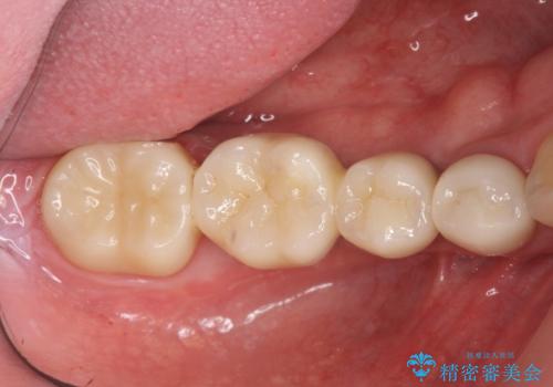
- 80万円(ストローマンインプラント×2・チタンカスタムアバットメント×2・ジルコニアクラウン×4)費用は治療当時の料金となります
ブリッジ・インプラント治療について
ブリッジは欠損部位の距離が長くなればなるほど支台となる歯の負担がまし、大きな咬合力負担による外傷や破折など大きなリスクにさらされます。
インプラントを用いることで残っている歯の負担も減らし、長期的な予後を見込むことができます。
セラミック治療の注意事項(リスク・副作用など)
- 天然歯を削ります
- 硬い素材は天然歯を傷つけてしまう場合があります
- かみ合わせや歯ぎしりが強すぎる方はセラミックが割れてしまう可能性があります
- 自費診療(保険適用外治療)となります
インプラント治療の注意事項(リスク・副作用など)
- 外科手術のため、術後に痛みや腫れ、違和感を伴います
- メンテナンスを怠ったり喫煙により、お口の中に大きな悪影響を及ぼすインプラント周囲炎等にかかる可能性があります
- 糖尿病、肝硬変、心臓病等の場合、インプラント治療ができない可能性があります
- 高血圧、貧血・不整脈等の場合、インプラント治療後に治癒不全を招く可能性があります
- 自費診療(保険適用外治療)となります
当サイトの内容、テキスト、画像等の無断転載、複製、複写、盗用を固く禁じます。












