症例詳細
Case detail
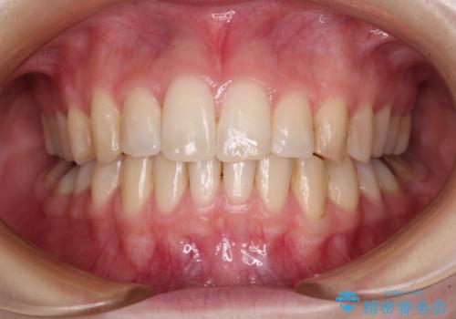
全ての奥歯の銀歯をセラミックに メタルフリー治療
治療症例の内容
- 診療科目
- 担当医
- 藤巻太一朗(ドクタープロフィール)
- 患者様
- 70代女性
- 治療期間
- 1年2ヶ月
- 治療回数
- 2-5回
- 治療計画
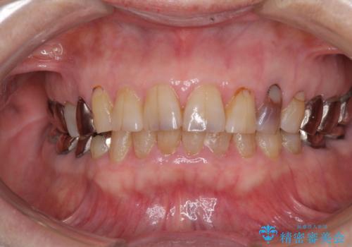
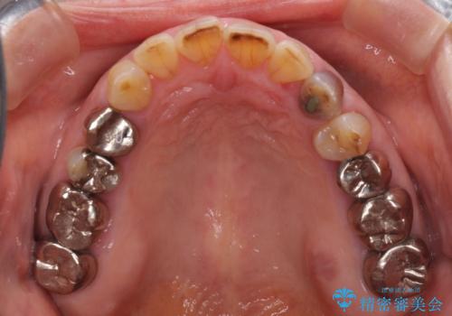
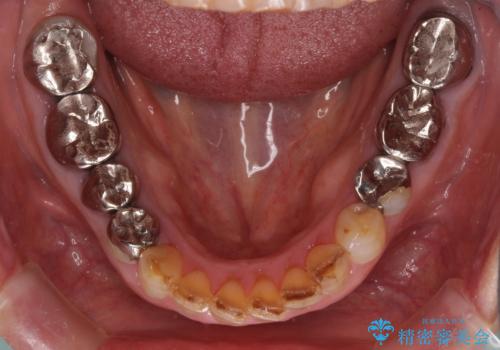
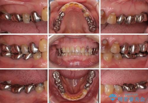
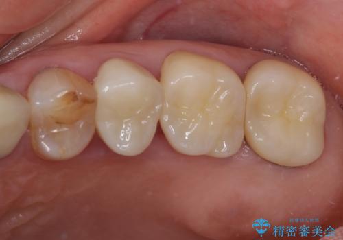
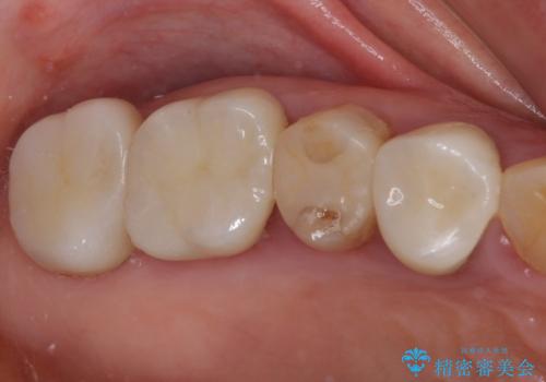
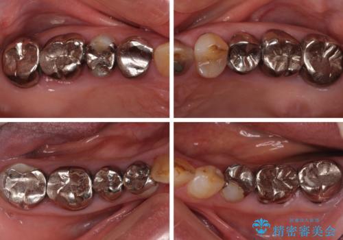
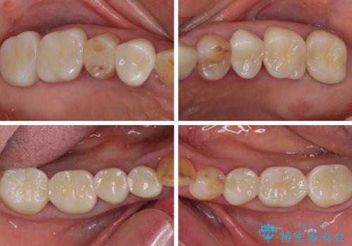
- 奥歯に装着されている銀歯を全て外したいとのことで来院された患者様です。
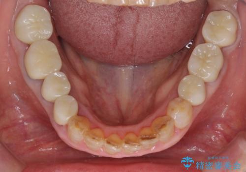
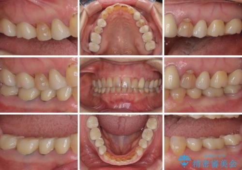
土台に含まれている金属も含め、奥歯の金属は全て除去し、オールセラミッククラウンやセラミックインレーにて治療することとしました。
- 費用(概算)
- 治療費の目安: 160万円費用は治療当時の料金となります
治療について
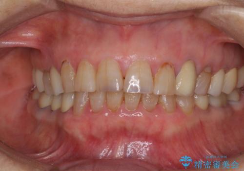
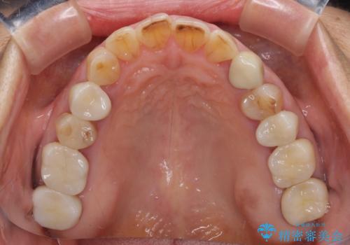
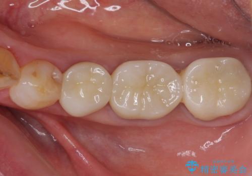
途中体調を崩されてしまい、その間に仮歯が外れてしまうなど、治療期間が長引いてしまいました。
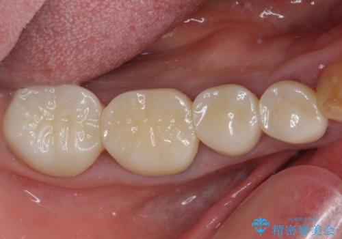
治療期間はかかってしまいましたが、念願のメタルフリーとなり、患者様には大変満足していただきました。
セラミック治療の注意事項(リスク・副作用など)
- 天然歯を削ります
- 硬い素材は天然歯を傷つけてしまう場合があります
- かみ合わせや歯ぎしりが強すぎる方はセラミックが割れてしまう可能性があります
- 自費診療(保険適用外治療)となります
当サイトの内容、テキスト、画像等の無断転載、複製、複写、盗用を固く禁じます。




















