症例詳細
Case detail
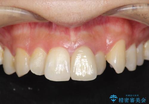
虫歯・歯周病 全体治療
- 患者様
- 50代男性
- 治療期間
- 2年
- 治療回数
- 30回以上
- 治療計画
- 虫歯の多発、歯周病治療の治療を希望され、全体的な治療を提案した症例です。
重度の深い虫歯・歯周病の歯が散見されますので、まずは残せる歯と残せない歯の見極めを行い、残せる歯は歯周外科手術を用いて歯を可能な限り残すことを計画します。
- 費用(概算)
- 400万円費用は治療当時の料金となります
虫歯・歯周病 全体治療について
深い虫歯・歯周病の全顎的治療
長期的な予後を見込むには、虫歯の徹底的な除去・歯周ポケットの除去・噛み合わせの安定・適合の良い補綴物の要件を満たすことが重要です。
残せる歯と残すことが難しい歯の選別、ブリッジ・インプラントを適宜判断し補綴処置を行っていきます。
仮歯の期間も長期間となりましたが、ブラッシング指導も行いモチベーションも上がり、長期的な予後を見込める状態となりました。
セラミック治療の注意事項(リスク・副作用など)
- 天然歯を削ります
- 硬い素材は天然歯を傷つけてしまう場合があります
- かみ合わせや歯ぎしりが強すぎる方はセラミックが割れてしまう可能性があります
- 自費診療(保険適用外治療)となります
インプラント治療の注意事項(リスク・副作用など)
- 外科手術のため、術後に痛みや腫れ、違和感を伴います
- メンテナンスを怠ったり喫煙により、お口の中に大きな悪影響を及ぼすインプラント周囲炎等にかかる可能性があります
- 糖尿病、肝硬変、心臓病等の場合、インプラント治療ができない可能性があります
- 高血圧、貧血・不整脈等の場合、インプラント治療後に治癒不全を招く可能性があります
- 自費診療(保険適用外治療)となります
歯周病治療の注意事項(リスク・副作用など)
- 外科手術のため、術後に痛みや腫れ、違和感を伴います
- 歯周組織再生治療は患者様の状態によって術後の経過が異なります(見た目が改善しない場合もあります)
- 歯周組織再生治療は自費診療(保険適用外)となります
当サイトの内容、テキスト、画像等の無断転載、複製、複写、盗用を固く禁じます。





























