症例詳細
Case detail
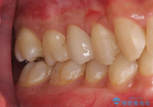
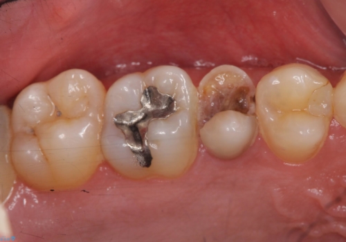
放置した虫歯 歯ぐきの中まで虫歯でも、しっかり健康的な部分を引っ張り出して、きちんと処置します。
- 患者様
- 30代男性
- 治療期間
- 8ヶ月
- 治療回数
- 5-10回
- 治療計画
- 放置した虫歯の治療で来院。
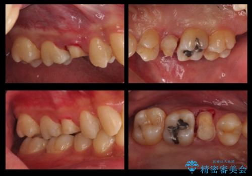
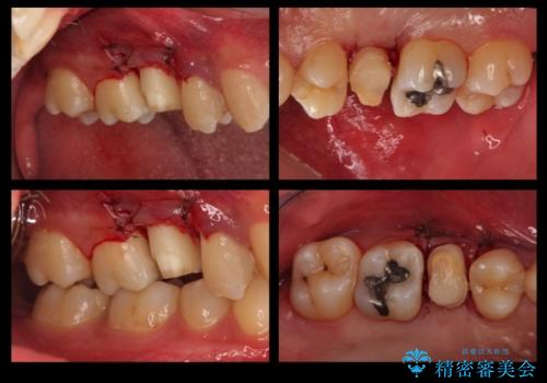
歯茎の中まで虫歯になっており、そのまま完璧に治療をすることは不可能でした。
歯の健康な部分を矯正治療で引っ張り出してから、虫歯治療を行なっています。
- 費用(概算)
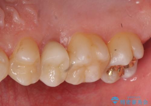
- 32万円(右上5:ジルコニアクラウン(スペシャル)10万円、仮歯 1万円、エクストリュージョン:10万円、歯周外科治療:エクストリュージョン費用に含む 根管治療:9万円 ファイバーコア:2万円)費用は治療当時の料金となります
-
開始前
-
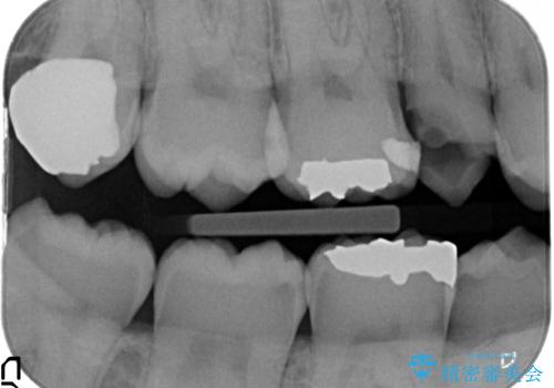
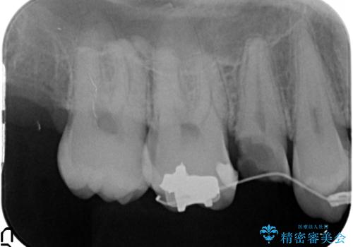
治療途中
-
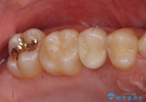
終了時
治療について
保険治療の範囲ですと予後が期待できません。自費治療では、エクストリュージョンなど選択肢が広がり、しっかりその歯を悪くならない状態に持っていくことが可能です。
セラミック治療の注意事項(リスク・副作用など)
- 天然歯を削ります
- 硬い素材は天然歯を傷つけてしまう場合があります
- かみ合わせや歯ぎしりが強すぎる方はセラミックが割れてしまう可能性があります
- 自費診療(保険適用外治療)となります
根管治療の注意事項(リスク・副作用など)
- 根管治療により類似の全ての症例の問題が解決するわけではなく、症例はあくまでも一例です
- 根管治療により痛みや腫れがひかない事や、術後に痛みや腫れが生じる事、治療によるファイル破折やパーフォレーションなどの偶発症、術後の歯根破折を生じる可能性もあります
- 自費診療(保険適用外)となります
ワイヤー矯正の注意事項(リスク・副作用など)
- 治療中は違和感や痛みが起こることがあります
- 症状により、抜歯が必要な場合があります
- 治療中は歯磨きがしにくくなるため、虫歯や歯周病になりやすくなります
- 矯正治療後の保定が不十分だと後戻り(元の位置に戻ろうとする動き)をします
- 自費診療(保険適用外)となります
歯周病治療の注意事項(リスク・副作用など)
- 外科手術のため、術後に痛みや腫れ、違和感を伴います
- 歯周組織再生治療は患者様の状態によって術後の経過が異なります(見た目が改善しない場合もあります)
- 歯周組織再生治療は自費診療(保険適用外)となります
当サイトの内容、テキスト、画像等の無断転載、複製、複写、盗用を固く禁じます。












