症例詳細
Case detail
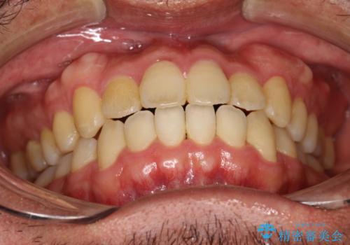
前歯が反対にかんでいる インビザラインとワイヤーを組み合わせた矯正治療
治療症例の内容
- 診療科目
- 担当医
- 患者様
- 30代男性
- 矯正装置
- インビザライン 審美装置
- 治療期間
- 1年1ヶ月
- 治療回数
- 2-5回
- 治療計画
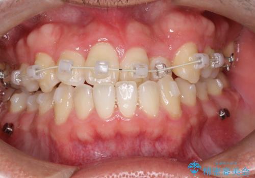
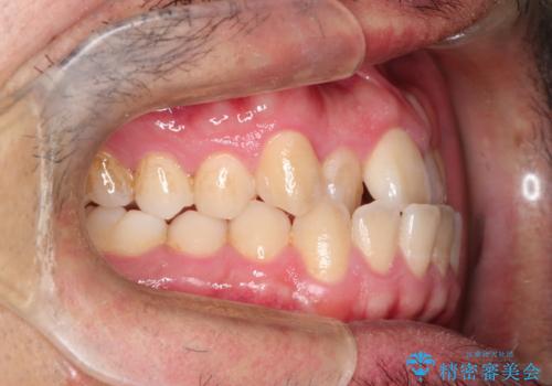
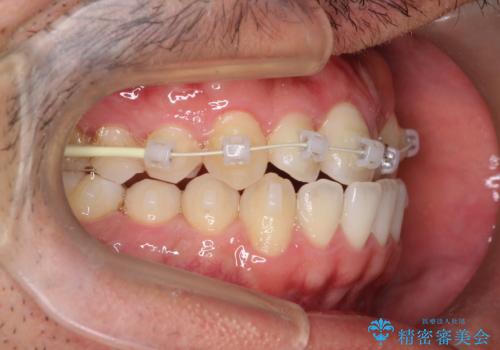
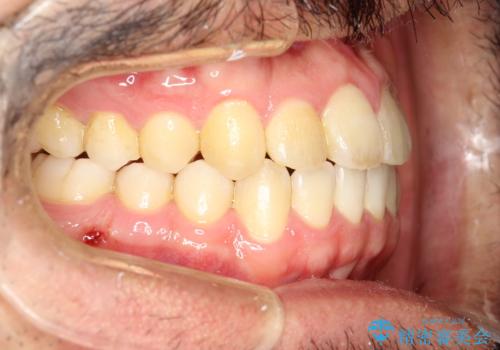
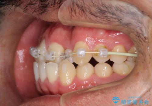
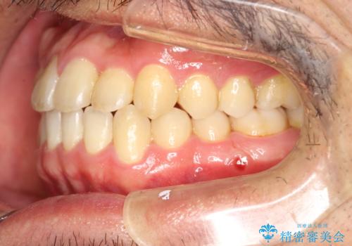
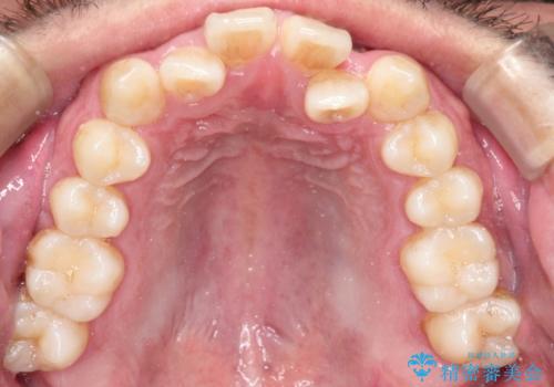
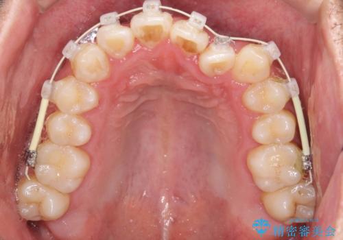
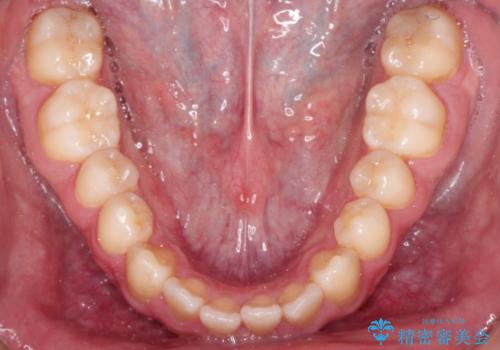
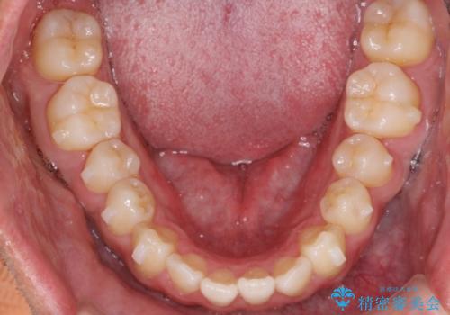
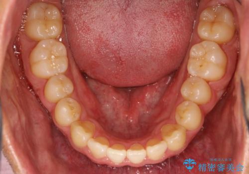
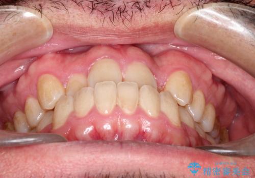
- 前歯が正常とは反対にかんでいるとのことで、来院されました。
患者様がマウスピースを希望されていましたが、上の前歯のがたつきを先にワイヤーで改善する方が早く治療が終了することが可能であるとお伝えし、上顎のみ半年間ワイヤーで治療を行いました。
- 費用(概算)
- 約95万円費用は治療当時の料金となります
治療について
マウスピースのみでの治療も可能でしたが、治療期間がもう少し延長していた可能性があります。
器具や治療方法についても、矯正治療の前にしっかり相談させていただきます。
マウスピース矯正の注意事項(リスク・副作用など)
- 口腔内・歯並びの状態によっては対応できない場合があります
- マウスピース型矯正装置の長時間装着(1日20時間以上)が必須です
- 治療計画通りに進めるためには、患者様の意志が重要になります
- 矯正治療後の保定が不十分だと後戻り(元の位置に戻ろうとする動き)をします
- 薬機法対象外の矯正歯科装置のため医薬品副作用被害救済制度の対象外となる場合があります
- 自費診療(保険適用外)となります
ワイヤー矯正の注意事項(リスク・副作用など)
- 治療中は違和感や痛みが起こることがあります
- 症状により、抜歯が必要な場合があります
- 治療中は歯磨きがしにくくなるため、虫歯や歯周病になりやすくなります
- 矯正治療後の保定が不十分だと後戻り(元の位置に戻ろうとする動き)をします
- 自費診療(保険適用外)となります
当サイトの内容、テキスト、画像等の無断転載、複製、複写、盗用を固く禁じます。



















