症例詳細
Case detail
折れてしまった前歯 インプラントによる補綴治療
治療症例の内容
- 担当医
- 藤巻太一朗(ドクタープロフィール)
- 患者様
- 40代男性
- 治療期間
- 8ヶ月
- 治療回数
- 5-10回
- 治療計画
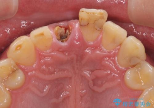
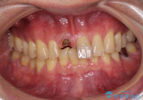
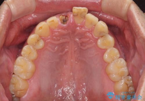
- 前歯の被せものが脱離したとのことで来院された患者様です。
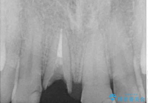
診察の結果、前歯が縦に破折しており、抜歯が必要と診断されました。
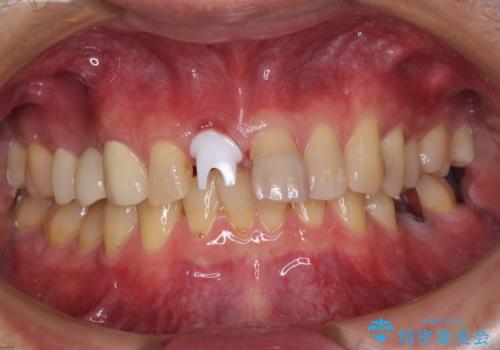
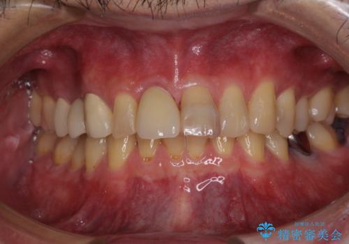
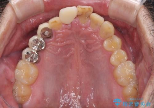
補綴治療としては、インプラントあるいはブリッジの2つがありますが、患者様と相談した結果、インプラントによる補綴治療を選択することとなりました。
- 費用(概算)
- 治療費の目安: 41万費用は治療当時の料金となります
治療について
咬合力が非常に強いため、インプラントにも過度な力の負担が発生する恐れがあります。
長期間安定して使用いただくために、睡眠時のマウスピースの装着による咬合力の分散が必要となります。
セラミック治療の注意事項(リスク・副作用など)
- 天然歯を削ります
- 硬い素材は天然歯を傷つけてしまう場合があります
- かみ合わせや歯ぎしりが強すぎる方はセラミックが割れてしまう可能性があります
- 自費診療(保険適用外治療)となります
インプラント治療の注意事項(リスク・副作用など)
- 外科手術のため、術後に痛みや腫れ、違和感を伴います
- メンテナンスを怠ったり喫煙により、お口の中に大きな悪影響を及ぼすインプラント周囲炎等にかかる可能性があります
- 糖尿病、肝硬変、心臓病等の場合、インプラント治療ができない可能性があります
- 高血圧、貧血・不整脈等の場合、インプラント治療後に治癒不全を招く可能性があります
- 自費診療(保険適用外治療)となります
当サイトの内容、テキスト、画像等の無断転載、複製、複写、盗用を固く禁じます。
















