症例詳細
Case detail
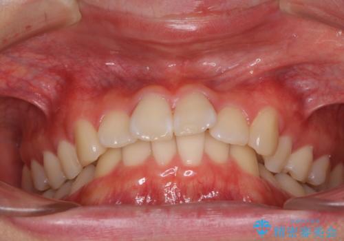
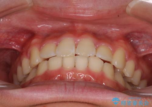
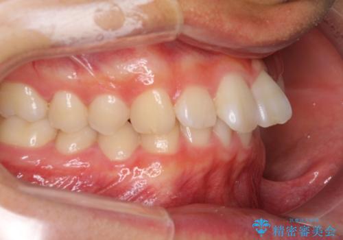
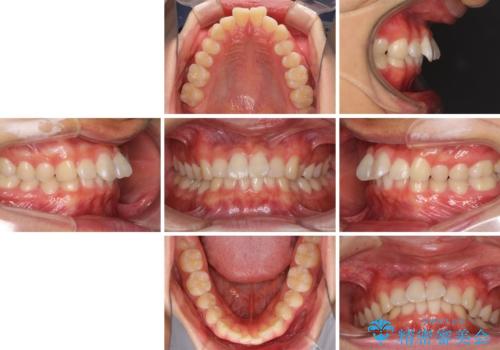
深い咬み合わせとデコボコ ワイヤー矯正で短期治療
治療症例の内容
- 診療科目
- 担当医
- 藤巻太一朗(ドクタープロフィール)
- 患者様
- 20代男性
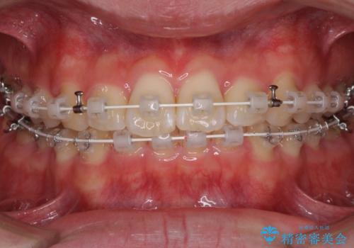
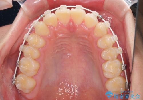
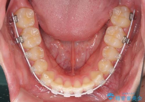
- 矯正装置
- 審美装置
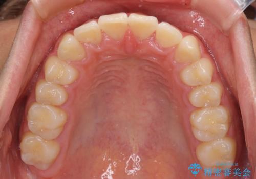
- 治療期間
- 11ヶ月
- 治療回数
- 10-30回
- 治療計画
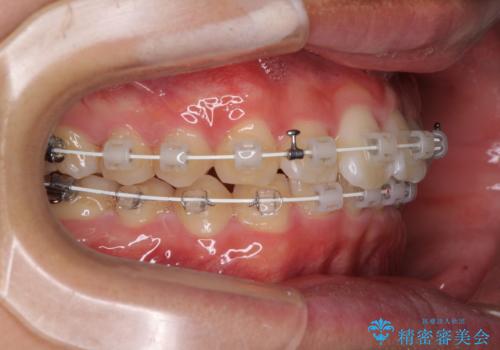
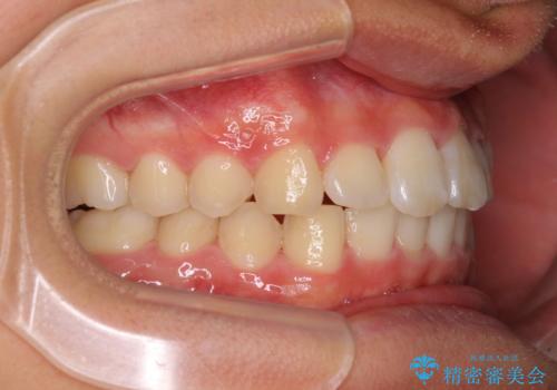
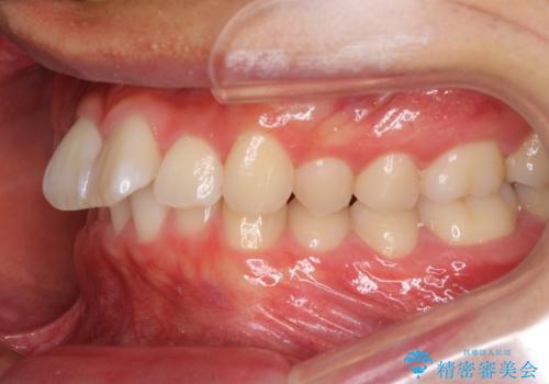
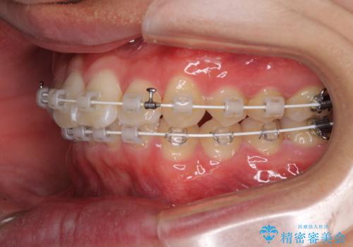
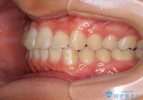
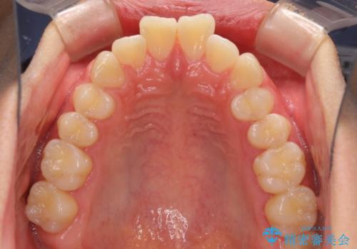
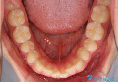
- 前歯のデコボコを改善したいとのことで来院された患者様です。
マウスピース矯正の自己管理が面倒とのことで、ワイヤー矯正により治療を行うこととしました。
- 費用(概算)
- 治療費の目安: 85万円費用は治療当時の料金となります
治療について
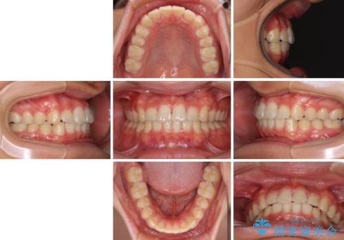
インビザラインでの治療も可能でしたが、深い咬み合わせと奥歯の咬み合わせを改善するにあたり、ワイヤー矯正の方が治療期間を短縮できると判断し、ワイヤー矯正をお勧めしました。
結果として、1年かからずに奥歯の咬み合わせを改善することができました。
ワイヤー矯正の注意事項(リスク・副作用など)
- 治療中は違和感や痛みが起こることがあります
- 症状により、抜歯が必要な場合があります
- 治療中は歯磨きがしにくくなるため、虫歯や歯周病になりやすくなります
- 矯正治療後の保定が不十分だと後戻り(元の位置に戻ろうとする動き)をします
- 自費診療(保険適用外)となります
当サイトの内容、テキスト、画像等の無断転載、複製、複写、盗用を固く禁じます。


























