症例詳細
Case detail
継ぎ接ぎだらけの前歯を綺麗にしたい 前歯のオールセラミック
治療症例の内容
- 診療科目
- 治療カテゴリ
- 担当医
- 藤巻太一朗(ドクタープロフィール)
- 患者様
- 20代女性
- 矯正装置
- 審美装置
- 治療期間
- 4ヶ月
- 治療回数
- 5-10回
- 治療計画
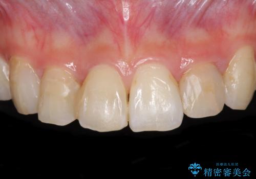
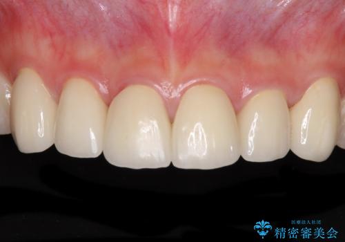
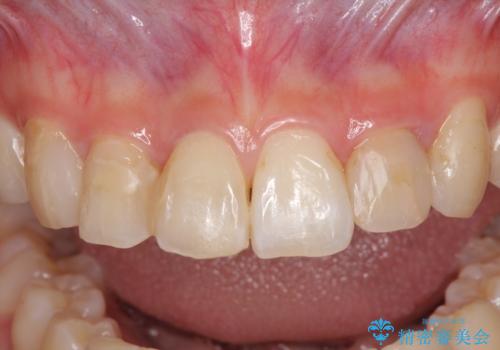
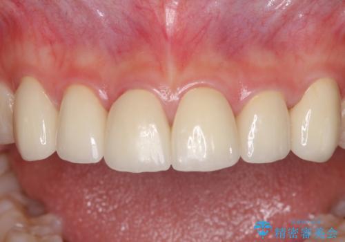
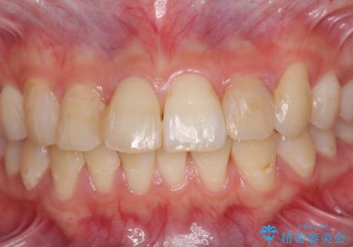
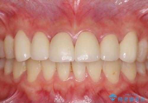
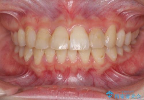
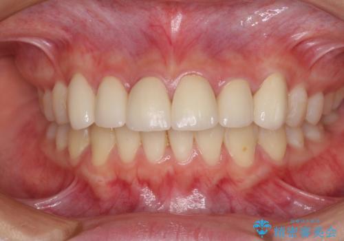
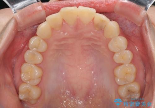
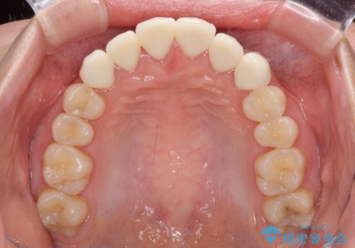
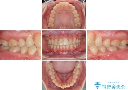
- コンポジットレジンによる治療で継ぎ接ぎだらけになってしまった前歯を綺麗にしたいとのことで来院された患者様です。
必要に応じて根管治療を行い、前歯6歯をオールセラミッククラウンで補綴することとしました。
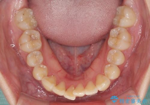
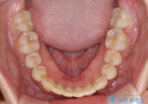
治療途中に出産を迎えるため、下顎前歯のデコボコを部分矯正で改善し、上下前歯を綺麗に仕上げることとしました。
- 費用(概算)
- 治療費の目安: 100万円費用は治療当時の料金となります
治療について
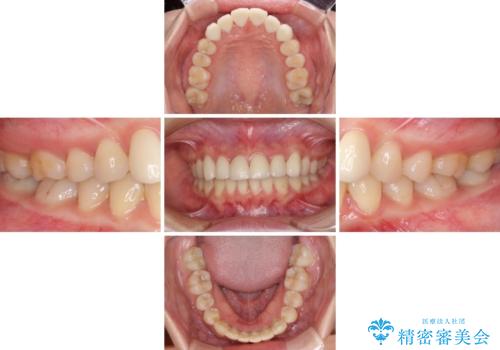
普段は海外在住であり、出産のための一時帰国を利用して短期集中治療を行いました。
自身の出産で大変な時期にもかかわらず、スケジュール通りに通院いただき、望まれたとおりの口元に仕上げることができました。
セラミック治療の注意事項(リスク・副作用など)
- 天然歯を削ります
- 硬い素材は天然歯を傷つけてしまう場合があります
- かみ合わせや歯ぎしりが強すぎる方はセラミックが割れてしまう可能性があります
- 自費診療(保険適用外治療)となります
ワイヤー矯正の注意事項(リスク・副作用など)
- 治療中は違和感や痛みが起こることがあります
- 症状により、抜歯が必要な場合があります
- 治療中は歯磨きがしにくくなるため、虫歯や歯周病になりやすくなります
- 矯正治療後の保定が不十分だと後戻り(元の位置に戻ろうとする動き)をします
- 自費診療(保険適用外)となります
当サイトの内容、テキスト、画像等の無断転載、複製、複写、盗用を固く禁じます。
















