症例詳細
Case detail
虫歯で歯が折れた セラミック審美修復
治療症例の内容
- 担当医
- 大元洋佑(ドクタープロフィール)
- 患者様
- 20代女性
- 治療期間
- 3ヶ月
- 治療回数
- 2-5回
- 治療計画
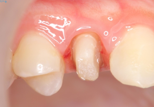
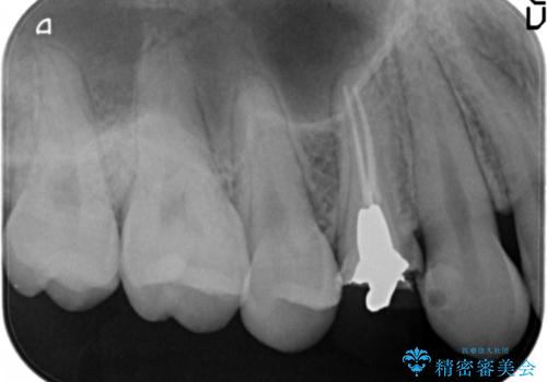
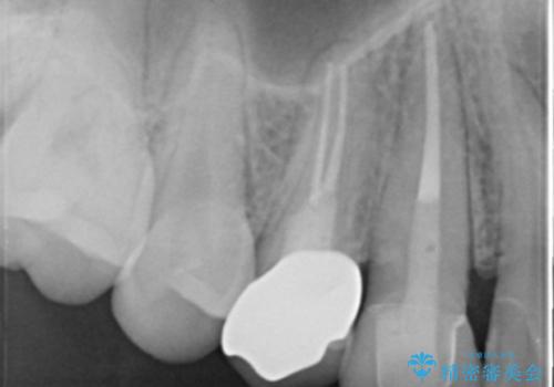
- 食事中に急に歯が折れ、周囲の歯も痛みだし治療を希望され来院されました。
ジルコニアクラウンによる咬合機能回復、根管治療を行い歯の痛みをとり長期的な予後の見込める治療を計画します。
- 費用(概算)
- 26万円(仮歯・ファイバーコア・ジルコニアクラウン×2)費用は治療当時の料金となります
虫歯の再発について
一度治療した歯でも、虫歯が再発したりクラウン・インレーの設計が悪いと急に歯が割れたり短期間のうちに悪くなってしまったりする可能性が高まってしまいます。
セラミック治療の注意事項(リスク・副作用など)
- 天然歯を削ります
- 硬い素材は天然歯を傷つけてしまう場合があります
- かみ合わせや歯ぎしりが強すぎる方はセラミックが割れてしまう可能性があります
- 自費診療(保険適用外治療)となります
当サイトの内容、テキスト、画像等の無断転載、複製、複写、盗用を固く禁じます。









