折れてしまった前歯 インプラントによる補綴治療の症例写真

症例詳細

Case detail

折れてしまった前歯 インプラントによる補綴治療

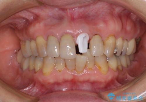
  1. 開始前
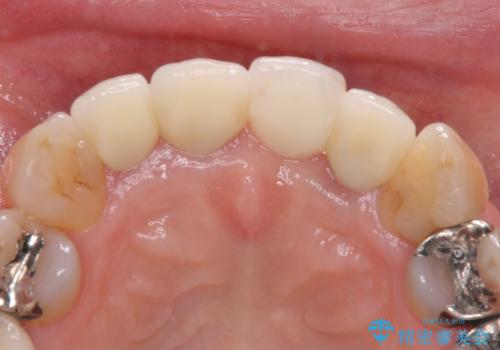
  2. 治療途中
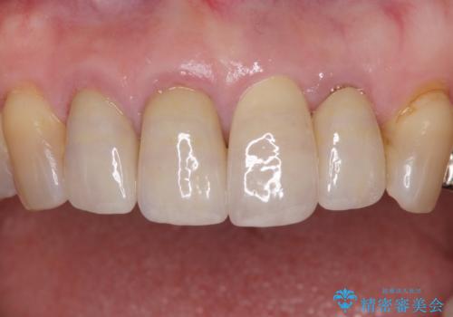
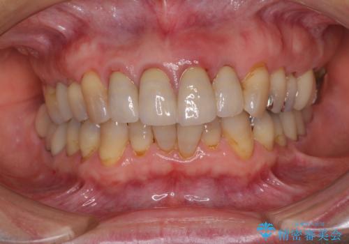
  3. 終了時
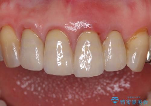
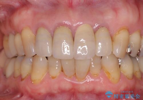
  1. 折れてしまった前歯 インプラントによる補綴治療の治療前
  2.  
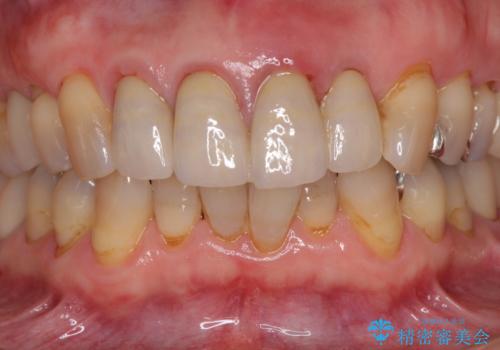
  3. 折れてしまった前歯 インプラントによる補綴治療の治療後
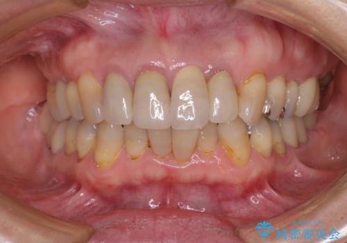
  1. 折れてしまった前歯 インプラントによる補綴治療の治療前
  2.  
  3. 折れてしまった前歯 インプラントによる補綴治療の治療後
  1. 折れてしまった前歯 インプラントによる補綴治療の治療前
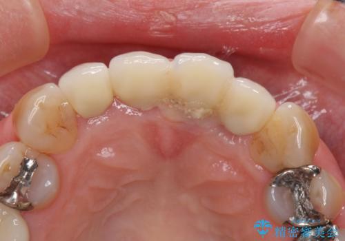
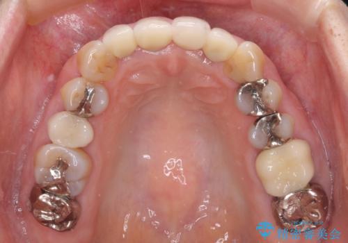
  2. 折れてしまった前歯 インプラントによる補綴治療の治療中
  3. 折れてしまった前歯 インプラントによる補綴治療の治療後
  1. 折れてしまった前歯 インプラントによる補綴治療の治療前
  2.  
  3. 折れてしまった前歯 インプラントによる補綴治療の治療後
  1. 折れてしまった前歯 インプラントによる補綴治療の治療前
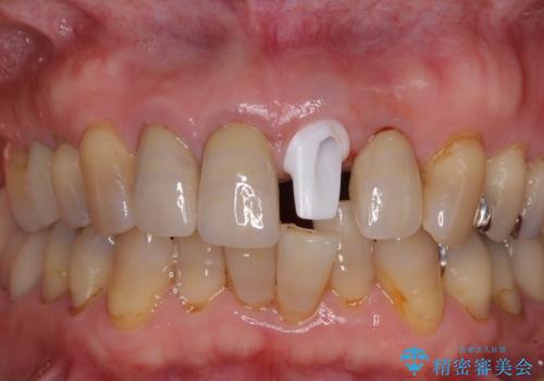
  2. 折れてしまった前歯 インプラントによる補綴治療の治療中
  3. 折れてしまった前歯 インプラントによる補綴治療の治療後
  1. 折れてしまった前歯 インプラントによる補綴治療の治療前
  2.  
  3. 折れてしまった前歯 インプラントによる補綴治療の治療後
  1. 折れてしまった前歯 インプラントによる補綴治療の治療前
  2. 折れてしまった前歯 インプラントによる補綴治療の治療中
  3. 折れてしまった前歯 インプラントによる補綴治療の治療後
  1.  
  2. 折れてしまった前歯 インプラントによる補綴治療の治療中
  3.  

この治療をした歯科医師の関連症例

24時間受付
無料相談予約

お電話での無料相談のご予約

平日 11:00-20:00 / 土日 10:00-18:00
閉じる