症例詳細
Case detail
気になる八重歯を治したい ワイヤー装置での抜歯矯正
治療症例の内容
- 診療科目
- 担当医
- 藤巻太一朗(ドクタープロフィール)
- 患者様
- 20代女性
- 矯正装置
- 審美装置
- 治療期間
- 2年10ヶ月
- 治療回数
- 10-30回
- 治療計画
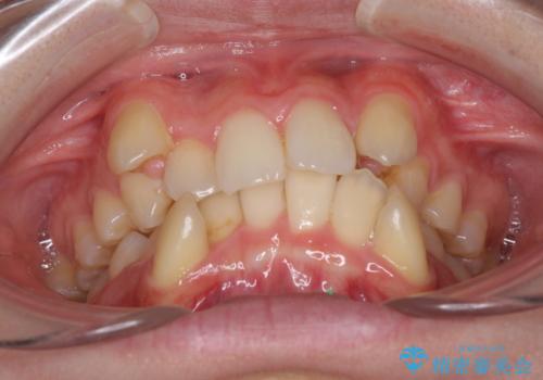
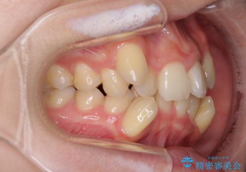
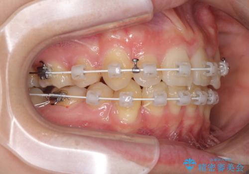
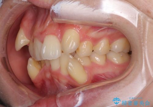
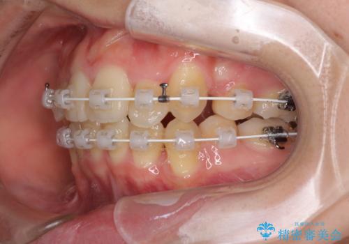
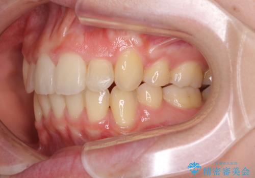
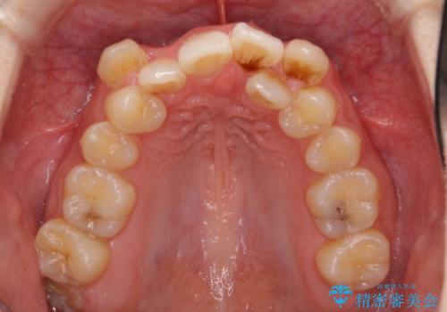
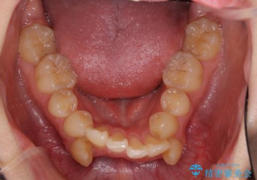
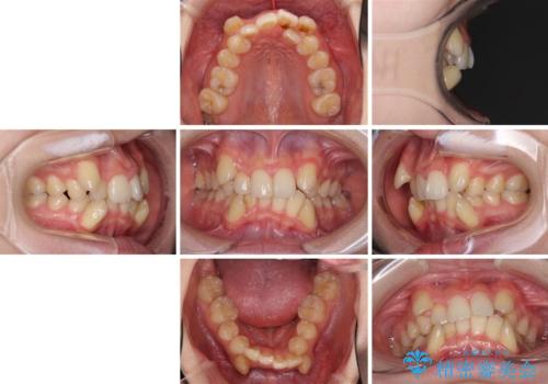
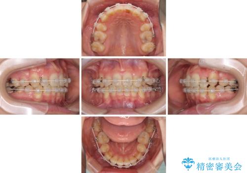
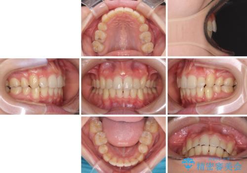
- 上下の八重歯や乱杭歯を気にして来院され患者様です。
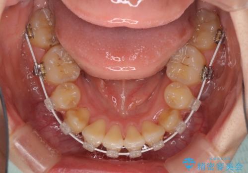
スペースを確保するため、上下左右の第一小臼歯を抜歯し、ワイヤー装置に矯正することとしました。
- 費用(概算)
- 治療費の目安: 100万円費用は治療当時の料金となります
治療について
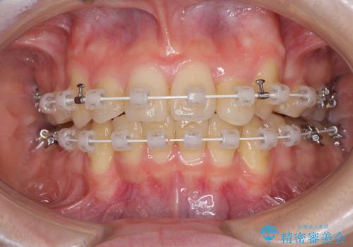
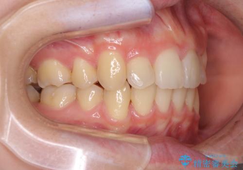
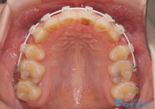
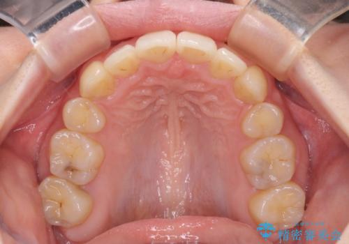
結婚式の予定があったため、まずは前歯をきれいに整えるようにしました。
結婚式の時には一時的に前歯の装置を外し、口元を気にせず笑える結婚式を迎えることができました。
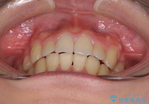
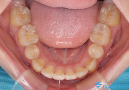
その後スペースを閉じるために時間を要しましたが、満足のいく仕上がりとなりました。
ワイヤー矯正の注意事項(リスク・副作用など)
- 治療中は違和感や痛みが起こることがあります
- 症状により、抜歯が必要な場合があります
- 治療中は歯磨きがしにくくなるため、虫歯や歯周病になりやすくなります
- 矯正治療後の保定が不十分だと後戻り(元の位置に戻ろうとする動き)をします
- 自費診療(保険適用外)となります
当サイトの内容、テキスト、画像等の無断転載、複製、複写、盗用を固く禁じます。


























