症例詳細
Case detail
前歯の隙間を閉じたい ラミネートベニアによる審美歯科治療
治療症例の内容
- 診療科目
- 治療カテゴリ
- 担当医
- 藤巻太一朗(ドクタープロフィール)
- 患者様
- 40代男性
- 治療期間
- 1ヶ月
- 治療回数
- 2-5回
- 治療計画
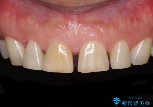
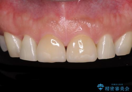
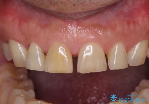
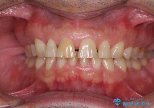
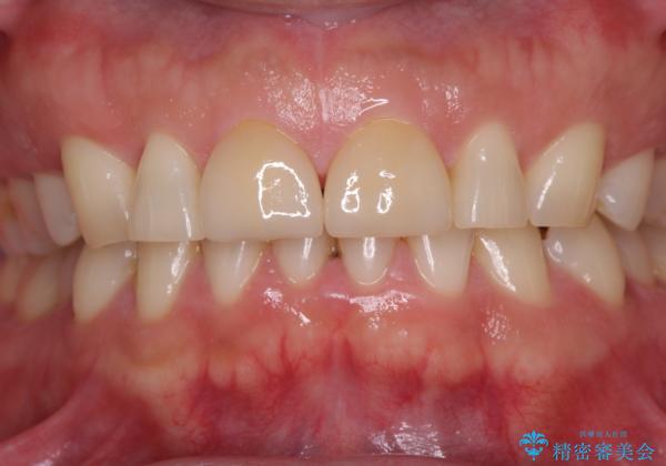
- 前歯の目立つ隙間を気にして来院された患者様です。
高校生の頃に矯正治療を行ったものの、強い咬合力により上顎が拡大され、正中に隙間ができてしまいました。
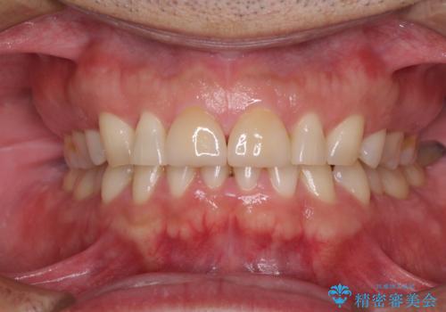
通常では歯の周囲全体を削った上でクラウンを装着することが多いのですが、咬合力が非常に強く、クラウンではセラミックが欠けてしまう可能性が考えられたため、咬合を変えることとのないラミネートベニアにて治療を行うこととしました。
- 費用(概算)
- 治療費の目安: 16万円費用は治療当時の料金となります
治療について
ラミネートベニアは切削量が少ないことがメリットとしてあげられますが、色調を周辺と合わせられないこと、接着境界線が長く汚れや歯石が溜まりやすいことがデメリットとして考えられます。
また、接着境界線にむし歯がある場合には適用外となるなど、適用症例を選ぶため、治療に際して担当医としっかりと相談することが大切です。
セラミック治療の注意事項(リスク・副作用など)
- 天然歯を削ります
- 硬い素材は天然歯を傷つけてしまう場合があります
- かみ合わせや歯ぎしりが強すぎる方はセラミックが割れてしまう可能性があります
- 自費診療(保険適用外治療)となります
当サイトの内容、テキスト、画像等の無断転載、複製、複写、盗用を固く禁じます。












