症例詳細
Case detail
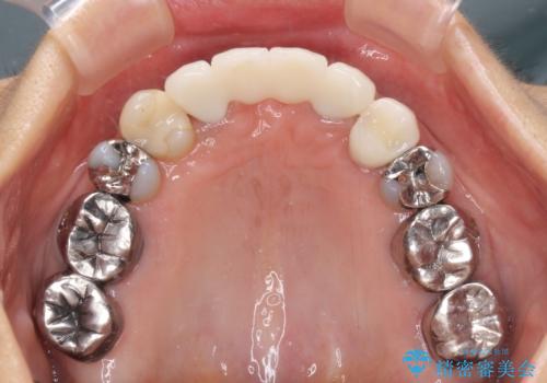
話しにくく腫れやすい前歯のブリッジ 使用感の良いオールセラミックブリッジに
治療症例の内容
- 診療科目
- 担当医
- 藤巻太一朗(ドクタープロフィール)
- 患者様
- 50代女性
- 治療期間
- 3ヶ月
- 治療回数
- 2-5回
- 治療計画
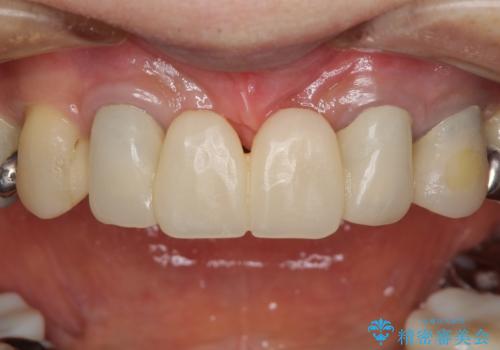
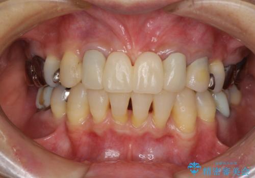
- 矯正治療を行った歯科医院で装着した前歯の仮歯が不快とのことで来院された患者様です。
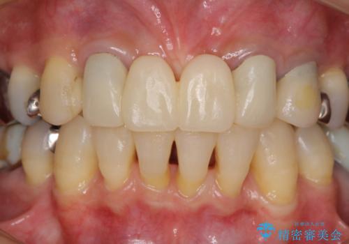
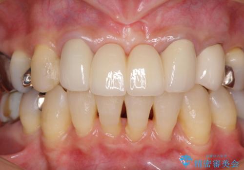
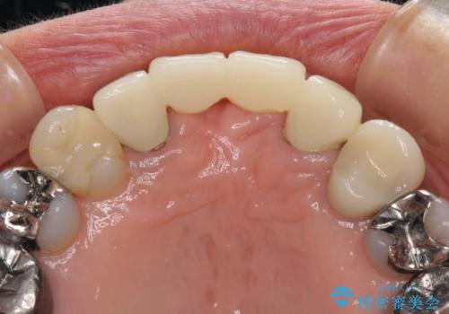
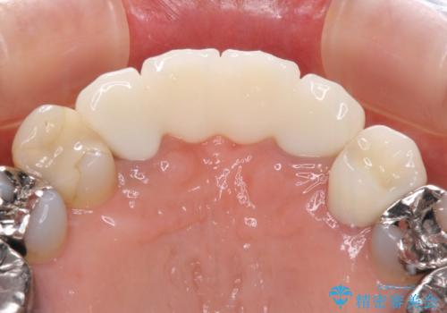
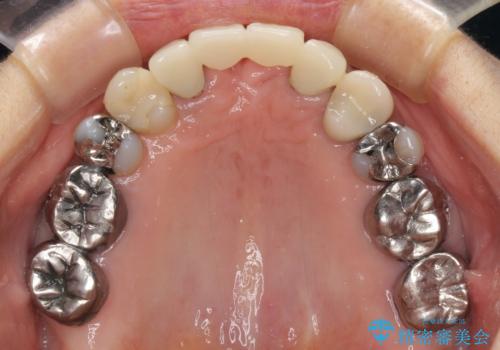
仮歯自体はとても綺麗でしたが、2本の歯が欠損している部分に上唇小帯が入り込んでいたため、歯肉形成を行った上で仮歯を調整し、オールセラミックブリッジを装着することとしました。
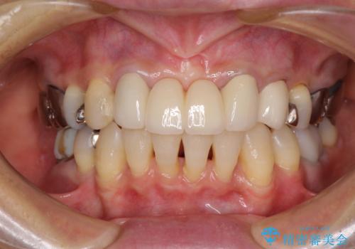
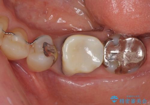
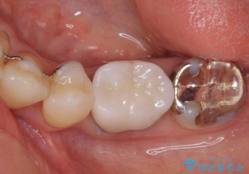
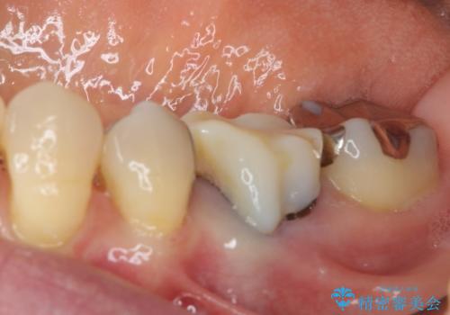
他にも治療が必要な歯があったため、合わせてセラミッククラウンやセラミックインレーで治療することとしました。
- 費用(概算)
- 治療費の目安: 90万円費用は治療当時の料金となります
治療について
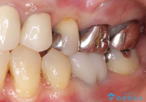
上唇小帯を切除したことで、ブリッジのダミー部分に触れて腫れていた歯肉は健全な状態になりました。
隙間もなくなったことで話す際の空気の漏れや、ものが挟まることもなくなりました。
セラミック治療の注意事項(リスク・副作用など)
- 天然歯を削ります
- 硬い素材は天然歯を傷つけてしまう場合があります
- かみ合わせや歯ぎしりが強すぎる方はセラミックが割れてしまう可能性があります
- 自費診療(保険適用外治療)となります
当サイトの内容、テキスト、画像等の無断転載、複製、複写、盗用を固く禁じます。
























