症例詳細
Case detail
八重歯の抜歯矯正 費用を抑えた矯正装置
治療症例の内容
- 担当医
- 藤巻太一朗(ドクタープロフィール)
- 患者様
- 20代女性
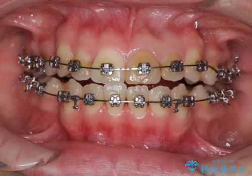
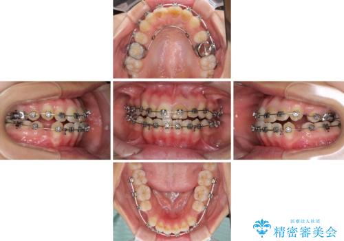
- 矯正装置
- メタルブラケット
- 治療期間
- 2年6ヶ月
- 治療回数
- 10-30回
- 治療計画
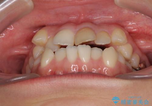
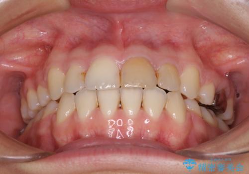
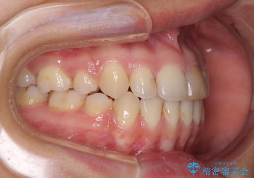
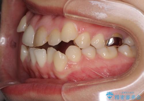
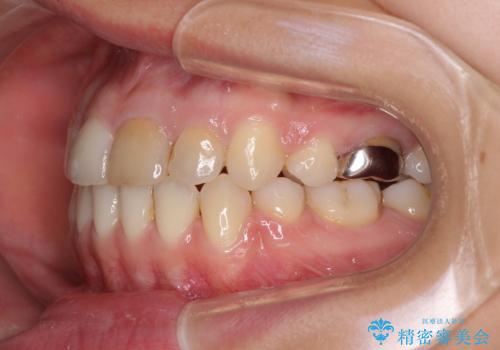
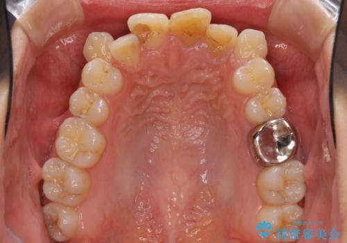
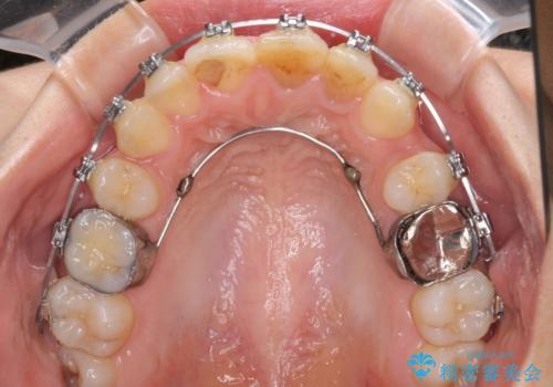
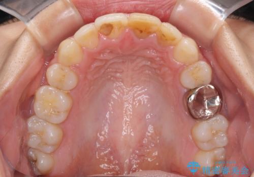
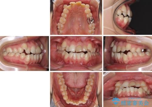
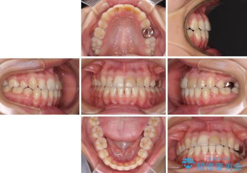
- 上の八重歯を気にして来院された患者様です。
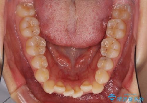
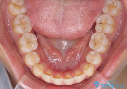
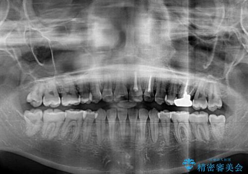
受け口傾向にあるため、上顎前歯の叢生解消とともに下顎前歯を後方へ移動させることを目的とし、上下左右の第一小臼歯4歯を抜歯することとしました。
- 費用(概算)
- 治療費の目安: 70万円費用は治療当時の料金となります
治療について
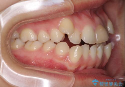
受け口傾向の方の下顎抜歯矯正では、下顎前歯の歯肉が退縮することがあります。前歯を移動させるときには、歯肉退縮が起こらないように工夫する必要があります。
ワイヤー矯正の注意事項(リスク・副作用など)
- 治療中は違和感や痛みが起こることがあります
- 症状により、抜歯が必要な場合があります
- 治療中は歯磨きがしにくくなるため、虫歯や歯周病になりやすくなります
- 矯正治療後の保定が不十分だと後戻り(元の位置に戻ろうとする動き)をします
- 自費診療(保険適用外)となります
当サイトの内容、テキスト、画像等の無断転載、複製、複写、盗用を固く禁じます。




























