症例詳細
Case detail
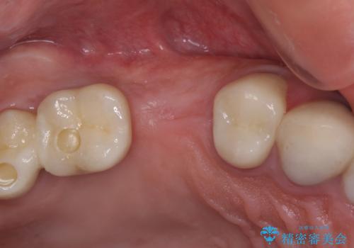
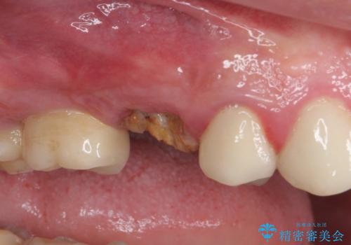
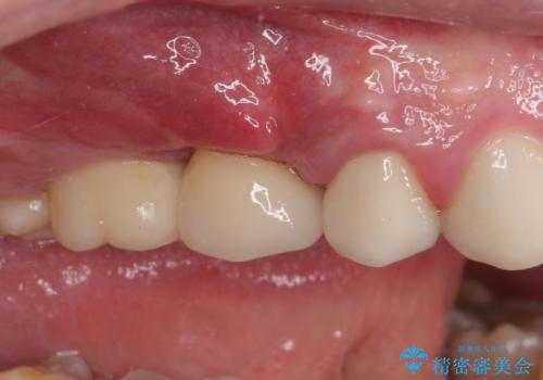
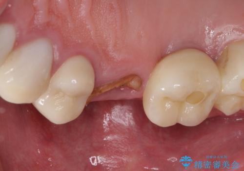
折れてしまった歯 インプラントによる補綴治療
治療症例の内容
- 担当医
- 藤巻太一朗(ドクタープロフィール)
- 患者様
- 50代男性
- 治療期間
- 9ヶ月
- 治療回数
- 5-10回
- 治療計画
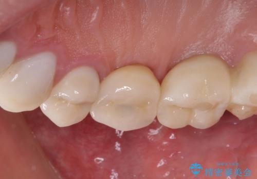
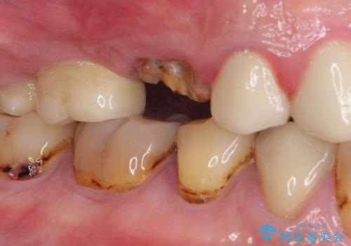
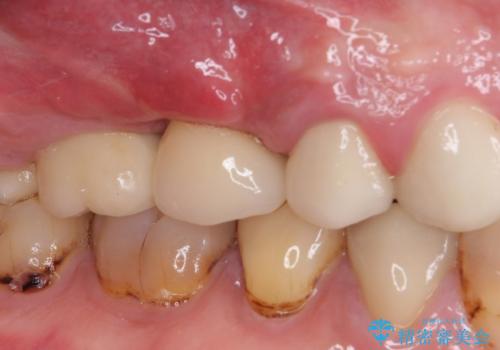
- 咬合力により歯が割れてしまった方のインプラント治療です。
抜歯後4ヶ月ほど待ち、後方のインプラントと同一メーカーのインプラントを埋入することとしました。
- 費用(概算)
- 治療費の目安: 36万円費用は治療当時の料金となります
治療について
大変怖がりであるため、インプラント治療の際には静脈内鎮静により、眠っている間に手術を行いました。
別途費用はかかりますが、術中の記憶はほとんどなく、処置もあっという間に終わった感覚となるので、大変お勧めです。
インプラント治療の注意事項(リスク・副作用など)
- 外科手術のため、術後に痛みや腫れ、違和感を伴います
- メンテナンスを怠ったり喫煙により、お口の中に大きな悪影響を及ぼすインプラント周囲炎等にかかる可能性があります
- 糖尿病、肝硬変、心臓病等の場合、インプラント治療ができない可能性があります
- 高血圧、貧血・不整脈等の場合、インプラント治療後に治癒不全を招く可能性があります
- 自費診療(保険適用外治療)となります
セラミック治療の注意事項(リスク・副作用など)
- 天然歯を削ります
- 硬い素材は天然歯を傷つけてしまう場合があります
- かみ合わせや歯ぎしりが強すぎる方はセラミックが割れてしまう可能性があります
- 自費診療(保険適用外治療)となります
当サイトの内容、テキスト、画像等の無断転載、複製、複写、盗用を固く禁じます。














