症例詳細
Case detail
[ 歯牙破折 ] インプラントによる咬合機能回復
治療症例の内容
- 患者様
- 40代女性
- 治療期間
- 9ヶ月
- 治療回数
- 5-10回
- 治療計画
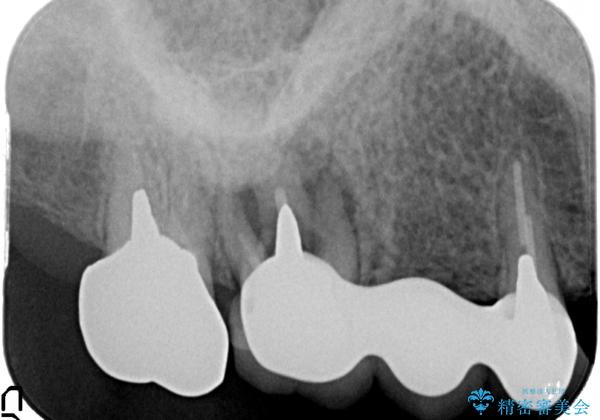
- 以前治療した、右上のブリッジが噛めず痛みの改善を求めて来院されました。
X線写真より、歯の破折(割れている状態)が認められ抜歯が必要な状態です。
隣在歯の状態から再度ブリッジ治療は勧められず義歯(入れ歯)かインプラントのうち、よりしっかりと噛めるようになるインプラント治療を希望されました。
- 費用(概算)
- 104万円(ストローマンインプラント×2・チタンカスタムアバットメント×2・仮歯×4・ジルコニアクラウン×4)費用は治療当時の料金となります
インプラント治療について
隣在の歯の状態によりブリッジに高い予知性が認められない場合、しっかりとした咬合関係をつくり周りの歯に咬合負担をかけないインプラント治療は有効な治療選択肢となります。
インプラント治療の注意事項(リスク・副作用など)
- 外科手術のため、術後に痛みや腫れ、違和感を伴います
- メンテナンスを怠ったり喫煙により、お口の中に大きな悪影響を及ぼすインプラント周囲炎等にかかる可能性があります
- 糖尿病、肝硬変、心臓病等の場合、インプラント治療ができない可能性があります
- 高血圧、貧血・不整脈等の場合、インプラント治療後に治癒不全を招く可能性があります
- 自費診療(保険適用外治療)となります
当サイトの内容、テキスト、画像等の無断転載、複製、複写、盗用を固く禁じます。

![[ 歯牙破折 ] インプラントによる咬合機能回復の治療前](https://seimitsushinbi.jp/wp/wp-content/uploads/2020/06/b6b595d0a851d2208860e72979379230-500x350.jpg?v=1592547923)
![[ 歯牙破折 ] インプラントによる咬合機能回復の治療中](https://seimitsushinbi.jp/wp/wp-content/uploads/2020/06/bf1231f23e4c33f9942f380959f2054a-500x350.jpg?v=1592547928)
![[ 歯牙破折 ] インプラントによる咬合機能回復の治療後](https://seimitsushinbi.jp/wp/wp-content/uploads/2020/06/a4a3e63d5b0094182948d5434e997447-500x350.jpg?v=1592548001)
![[ 歯牙破折 ] インプラントによる咬合機能回復の治療前](https://seimitsushinbi.jp/wp/wp-content/uploads/2020/06/CI13-1-500x350.jpg?v=1592548004)
![[ 歯牙破折 ] インプラントによる咬合機能回復の治療中](https://seimitsushinbi.jp/wp/wp-content/uploads/2020/06/756519980b41f0e93756e04750ca9569-500x350.jpg?v=1592547933)
![[ 歯牙破折 ] インプラントによる咬合機能回復の治療後](https://seimitsushinbi.jp/wp/wp-content/uploads/2020/06/CI36-500x350.jpg?v=1592550832)
![[ 歯牙破折 ] インプラントによる咬合機能回復の治療前](https://seimitsushinbi.jp/wp/wp-content/uploads/2020/06/aed3172404622ca2573ac431768af03d-500x350.jpg?v=1592547915)
![[ 歯牙破折 ] インプラントによる咬合機能回復の治療後](https://seimitsushinbi.jp/wp/wp-content/uploads/2020/06/72d370f6f4ddd18081e4c5b4ca281eb0-500x350.jpg?v=1592547992)
![[ 歯牙破折 ] インプラントによる咬合機能回復の治療前](https://seimitsushinbi.jp/wp/wp-content/uploads/2020/06/bf257151935a03372a12baf248613f44-500x350.jpg?v=1592547919)
![[ 歯牙破折 ] インプラントによる咬合機能回復の治療中](https://seimitsushinbi.jp/wp/wp-content/uploads/2020/06/ffa978e20da48dfa299b892504ffc5d3-500x350.jpg?v=1592547936)
![[ 歯牙破折 ] インプラントによる咬合機能回復の治療後](https://seimitsushinbi.jp/wp/wp-content/uploads/2020/06/c82e2b2b2b30c7abe0728301ec943b5e-500x350.jpg?v=1592547996)
![[ 歯牙破折 ] インプラントによる咬合機能回復の治療中](https://seimitsushinbi.jp/wp/wp-content/uploads/2020/06/0e8acd8daa2a0684b0382d9eb76d9e45-500x350.jpg?v=1592547972)
![[ 歯牙破折 ] インプラントによる咬合機能回復の治療中](https://seimitsushinbi.jp/wp/wp-content/uploads/2020/06/2c9bf226df6ced66979891746435e1ab-500x350.jpg?v=1592547940)
![[ 歯牙破折 ] インプラントによる咬合機能回復の治療中](https://seimitsushinbi.jp/wp/wp-content/uploads/2020/06/dfb440b3a527e8e4b26f6674d82eef94-500x350.jpg?v=1592547944)
![[ 歯牙破折 ] インプラントによる咬合機能回復の治療中](https://seimitsushinbi.jp/wp/wp-content/uploads/2020/06/8e413c60d11b8770298b57267b7c871a-500x350.jpg?v=1592547948)
![[ 歯牙破折 ] インプラントによる咬合機能回復の治療中](https://seimitsushinbi.jp/wp/wp-content/uploads/2020/06/CI21-500x350.jpg?v=1592548006)
![[ 歯牙破折 ] インプラントによる咬合機能回復の治療中](https://seimitsushinbi.jp/wp/wp-content/uploads/2020/06/3fa54a8a12f6c16ad5c549d2ea82183f-500x350.jpg?v=1592547957)
![[ 歯牙破折 ] インプラントによる咬合機能回復の治療中](https://seimitsushinbi.jp/wp/wp-content/uploads/2020/06/da6235b56fc9ca4d8f3522fcb71c64e0-500x350.jpg?v=1592547976)
![[ 歯牙破折 ] インプラントによる咬合機能回復の治療中](https://seimitsushinbi.jp/wp/wp-content/uploads/2020/06/eb7b59dd2a833362f6c6448176767080-500x350.jpg?v=1592550987)
![[ 歯牙破折 ] インプラントによる咬合機能回復の治療中](https://seimitsushinbi.jp/wp/wp-content/uploads/2020/06/CI31-500x350.jpg?v=1592550974)