症例詳細
Case detail
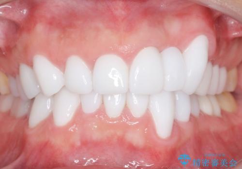
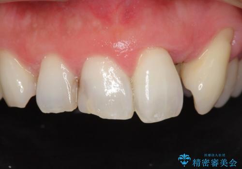
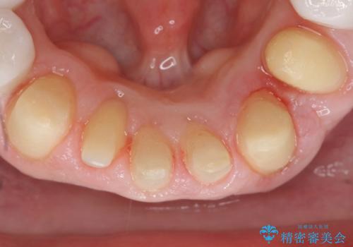
歯並びをきれいにしたい、歯を真っ白にしたい 40代男性
治療症例の内容
- 患者様
- 40代男性
- 治療期間
- 7ヶ月
- 治療回数
- 2-5回
- 治療計画
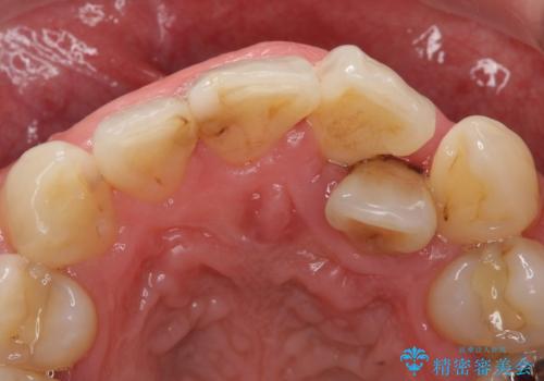
- 歯並びをきれいにしたい、歯を真っ白にしたいとのご希望により来院されました。
矯正治療とホワイトニングを提案しましたが希望されず、「接客関係の仕事で矯正治療は考えられない、短期間で治療を終わらせたい、ホワイトニングでは難しい位の人工的な白さにしたい」とのご要望により、治療前にワックスアップ模型を作製し何度もコンサルテーションを重ね、治療方針を決定しました。
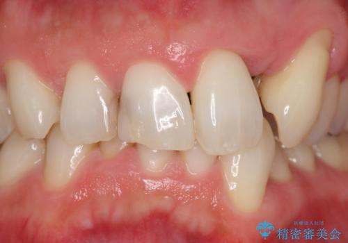
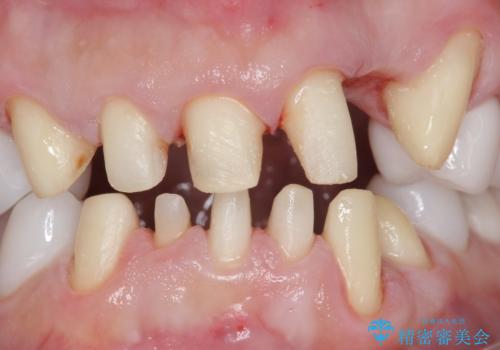
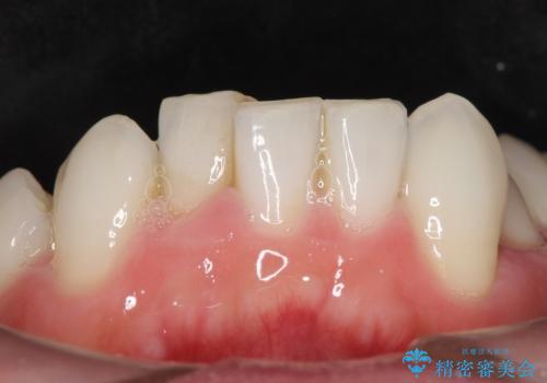
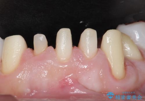
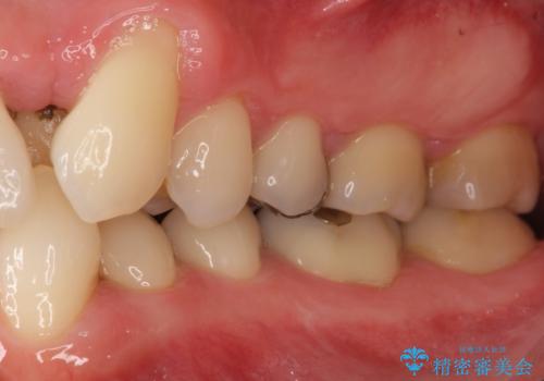
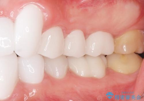
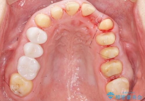
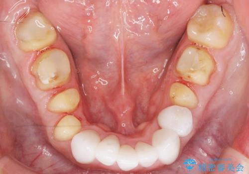
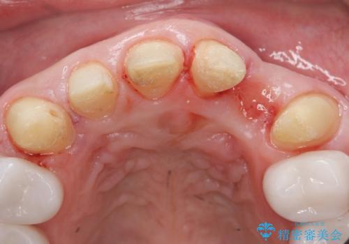
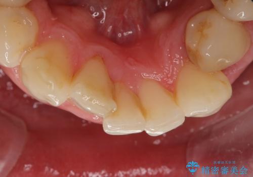
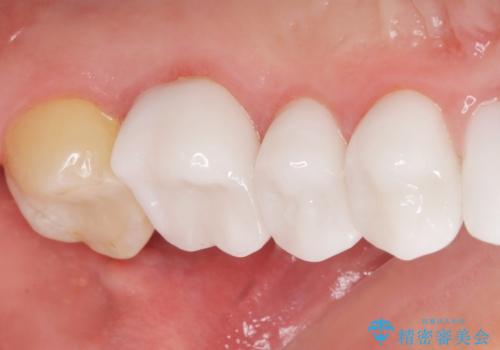
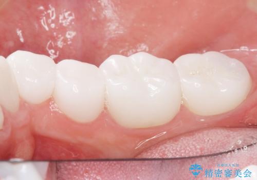
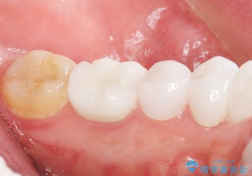
歯頚ラインが変えられないことや天然歯を削るリスクをご理解頂いた上で、オールセラミッククラウンによる補綴治療を行いました。(見えない奥歯のみ天然歯のままとしました)
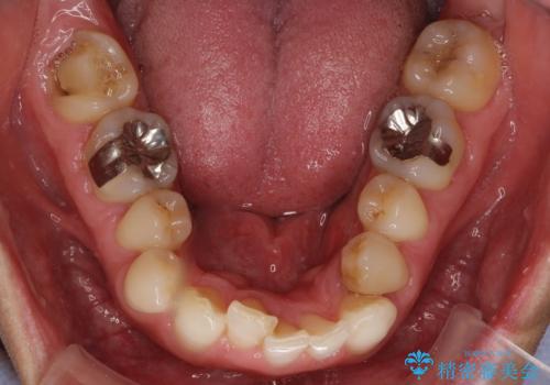
下の前歯1本だけ歯軸を変えるために神経をとり根管治療を行っております。
それ以外の歯は神経をとらずに済むよう、慎重かつ丁寧に歯の形態を整えました。
治療前に埋伏している親知らずの抜歯をおすすめしましたが、ご希望されませんでした。
- 費用(概算)
- ¥2,790,000 (仮歯×24本、根管治療×1本、土台×1本、クラウン×24本、セラミックインレー×1)費用は治療当時の料金となります
治療について
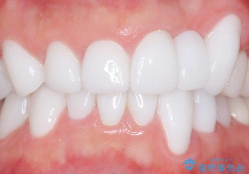
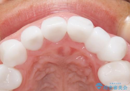
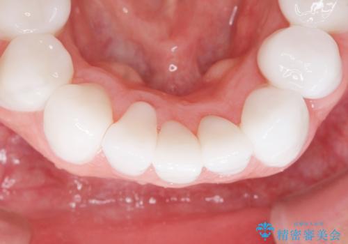
クラウンの色味・形態の修正や患者様のお仕事のご都合で来院できない期間があったことにより、予想より治療期間が長くなってしまいましたが、審美的な仕上がりにご満足頂けました。
矯正治療で歯並びを整えたいというのが歯科医師である私の本心でしたが、患者様の強いご希望によりオールセラミッククラウンによる補綴治療を行いました。
クラウンの色味に関して、自然な白さ(シェードA1~NW0.5)のクラウンを作製・試適したところ「もっと白くしたい」と希望され、当院で最も明度の高い色(シェードNW0)に修正しました。
被せ物の種類:オールセラミッククラウン スタンダード (シェード:NW0)
セラミック治療の注意事項(リスク・副作用など)
- 天然歯を削ります
- 硬い素材は天然歯を傷つけてしまう場合があります
- かみ合わせや歯ぎしりが強すぎる方はセラミックが割れてしまう可能性があります
- 自費診療(保険適用外治療)となります
根管治療の注意事項(リスク・副作用など)
- 根管治療により類似の全ての症例の問題が解決するわけではなく、症例はあくまでも一例です
- 根管治療により痛みや腫れがひかない事や、術後に痛みや腫れが生じる事、治療によるファイル破折やパーフォレーションなどの偶発症、術後の歯根破折を生じる可能性もあります
- 自費診療(保険適用外)となります
当サイトの内容、テキスト、画像等の無断転載、複製、複写、盗用を固く禁じます。






































