症例詳細
Case detail
奥歯がなくてかめない 入れ歯とクラウンでの全顎治療
治療症例の内容
- 患者様
- 60代男性
- 治療期間
- 3年2ヶ月
- 治療回数
- 30回以上
- 治療計画
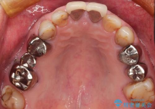
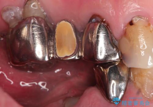
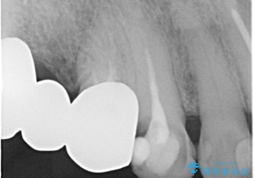
- 奥歯がなくて咬めないのと、全体的に見た目をよくしたいとのことで来院されました。
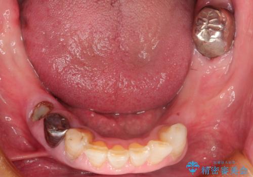
下顎の両側の奥歯が欠損しており、入れ歯をお持ちでしたが、うまく咬めずにほとんど使用していない状態でした。
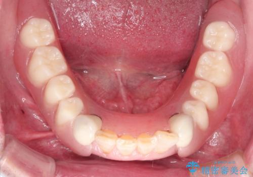
上顎は全体的にクラウンの入れ替えと、下顎はインプラントの提案もしましたが、希望されなかったのでノンクラスプデンチャーの製作をする治療計画としました。
- 費用(概算)
- 約200万円費用は治療当時の料金となります
治療について
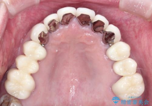
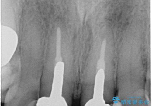
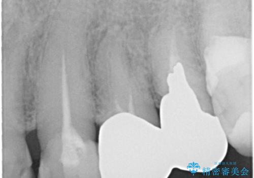
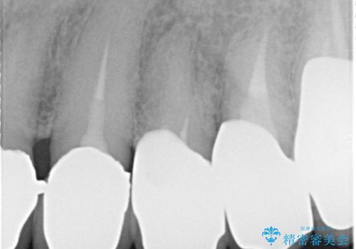
奥歯が欠損しており、上下の前歯が強く咬合する可能性があったので、上顎前歯の裏側は金属のものにしました。
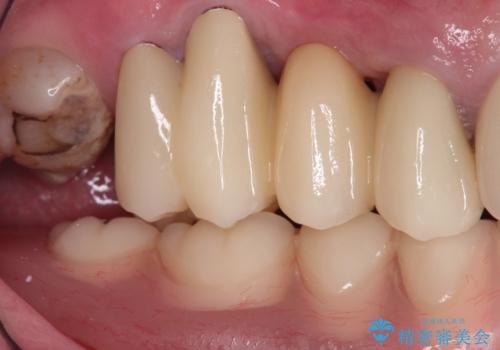
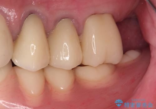
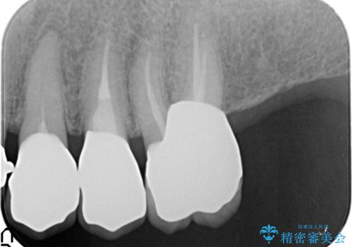
お忙しい方でしたので、治療が終了するまでにじかんがかかってしまいましたが、奥歯でもしっかり咬めるようになったと喜んでいただけました。
セラミック治療の注意事項(リスク・副作用など)
- 天然歯を削ります
- 硬い素材は天然歯を傷つけてしまう場合があります
- かみ合わせや歯ぎしりが強すぎる方はセラミックが割れてしまう可能性があります
- 自費診療(保険適用外治療)となります
入れ歯の注意事項(リスク・副作用など)
- ブリッジやインプラントと比較して、色が合いづらい、見た目の違和感があります
- ブリッジやインプラントと比較して、話しにくい、舌が当たる等の違和感があります
- 慣れるまで微調整で何度か通って頂くことがあります
- 就寝時や食後に毎回取り外して、清掃する必要があります
- 自費診療(保険適用外)となります
当サイトの内容、テキスト、画像等の無断転載、複製、複写、盗用を固く禁じます。




















