症例詳細
Case detail
前歯の隙間を閉じたい 短期間でのワイヤー矯正
治療症例の内容
- 診療科目
- 担当医
- 藤巻太一朗(ドクタープロフィール)
- 患者様
- 40代女性
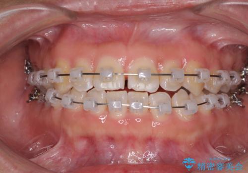
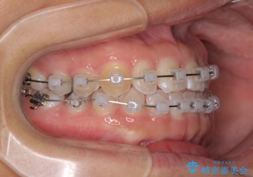
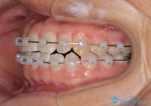
- 矯正装置
- クリアブラケット
- 治療期間
- 9ヶ月
- 治療回数
- 5-10回
- 治療計画
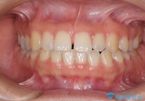
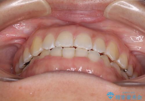
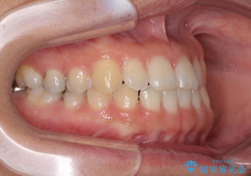
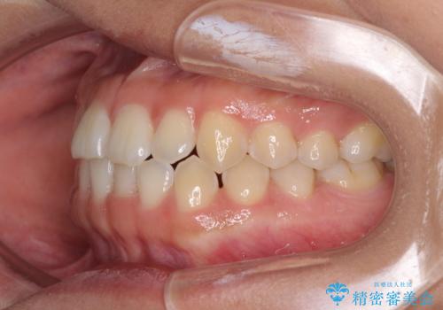
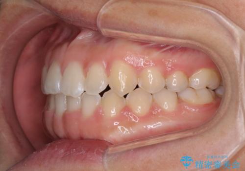
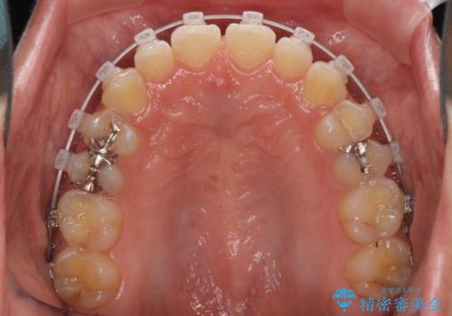
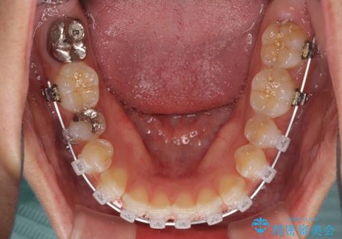
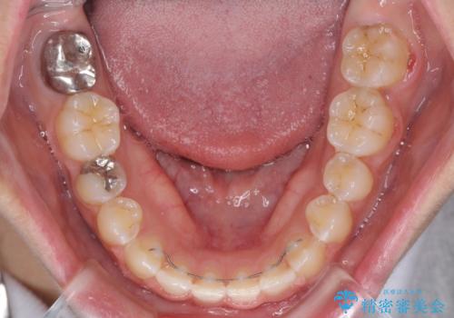
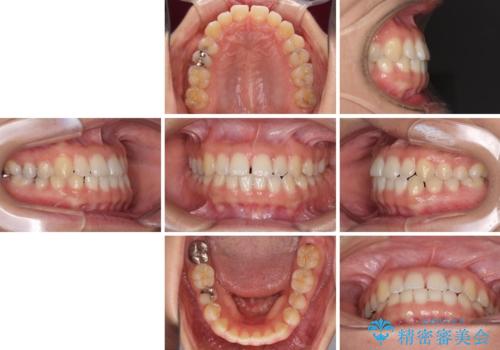
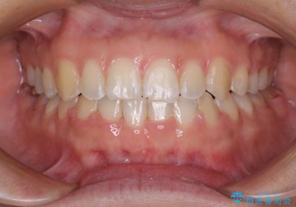
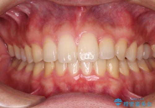
- 上の前歯の隙間を気にして来院された患者様です。
インビザラインの自己管理は自信がないとのことで、ワイヤー矯正により隙間を閉じていくこととしました。
- 費用(概算)
- 治療費の目安: 75万円費用は治療当時の料金となります
治療について
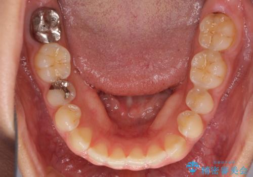
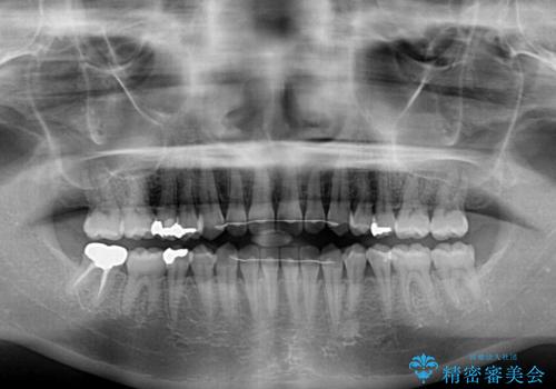
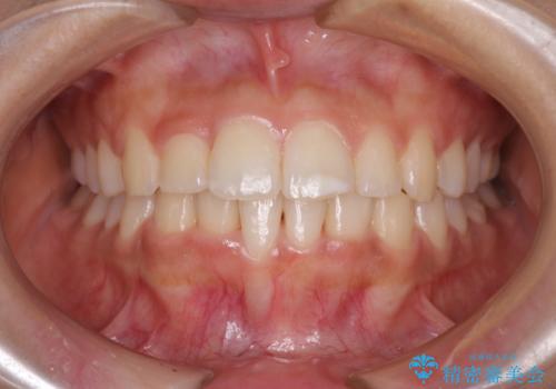
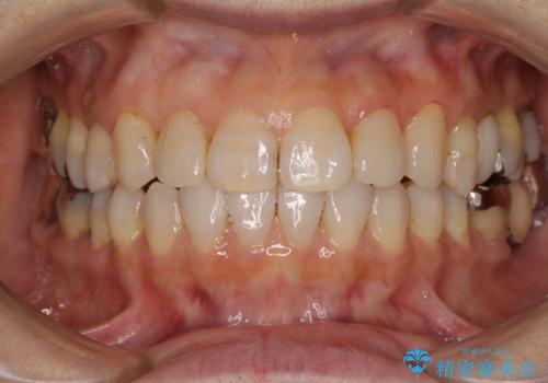
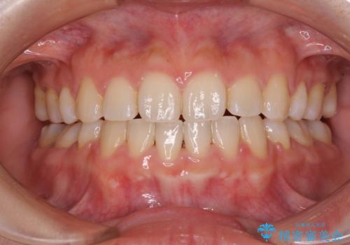
下の前歯が上の前歯を突き上げるように咬合するため、咬み合わせの位置を改善しながら隙間を閉じていきました。
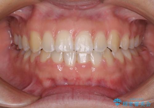
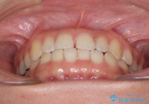
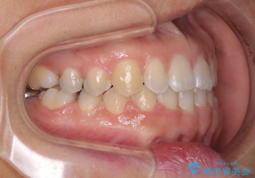
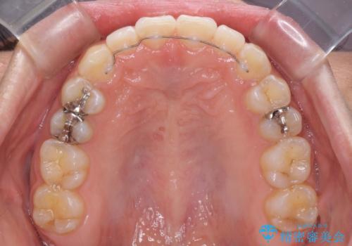
元々の歯並びが悪くなかったため、9ヶ月で綺麗に仕上がりました。
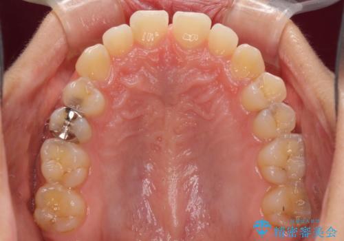
すきっ歯は後戻りを起こしやすいため、上下ともに歯の裏側を細いワイヤーで固定した上で、リテーナーのマウスピースを装着していただいています。
ワイヤー矯正の注意事項(リスク・副作用など)
- 治療中は違和感や痛みが起こることがあります
- 症状により、抜歯が必要な場合があります
- 治療中は歯磨きがしにくくなるため、虫歯や歯周病になりやすくなります
- 矯正治療後の保定が不十分だと後戻り(元の位置に戻ろうとする動き)をします
- 自費診療(保険適用外)となります
当サイトの内容、テキスト、画像等の無断転載、複製、複写、盗用を固く禁じます。


























