症例詳細
Case detail
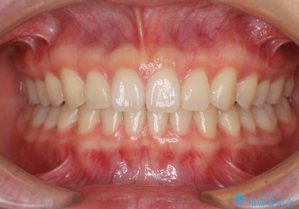
インビザラインによるすきっ歯の改善
治療症例の内容
- 診療科目
- 担当医
- 藤巻太一朗(ドクタープロフィール)
- 患者様
- 20代女性
- 矯正装置
- インビザライン
- 治療期間
- 10ヶ月
- 治療回数
- 10-30回
- 治療計画
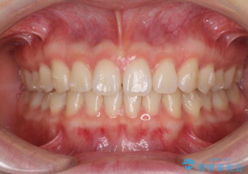
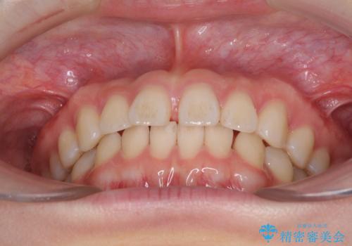
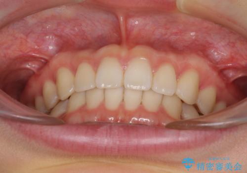
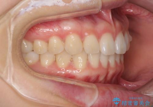
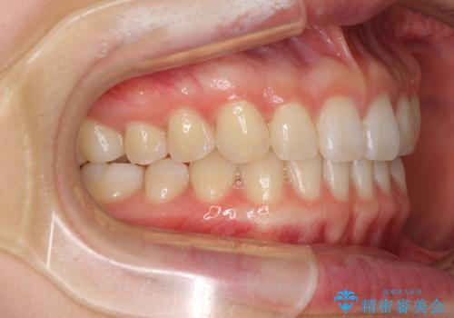
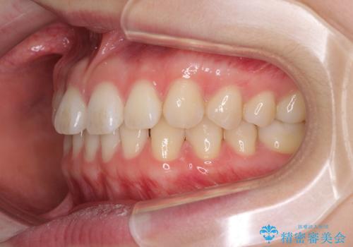
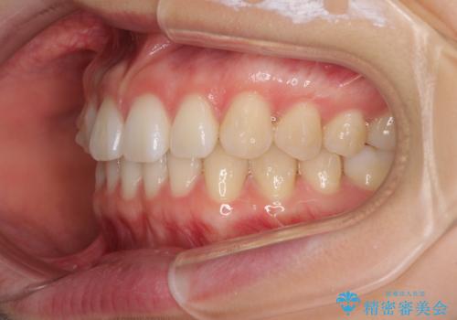
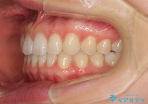
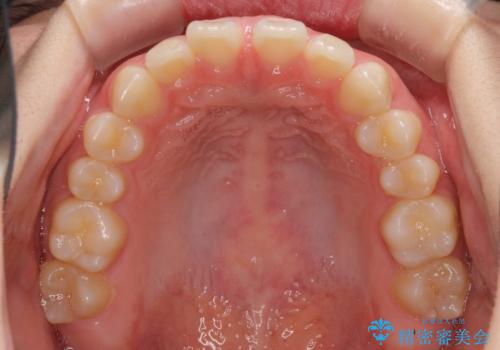
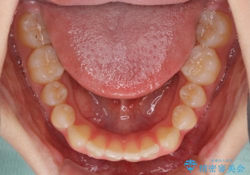
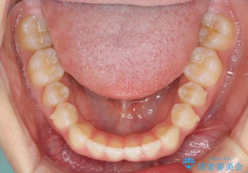
- 上の前歯の隙間を気にして来院された患者様です。
インビザラインにより、隙間を閉じながら、隙間の原因であるディープバイトを改善していくこととしました。
- 費用(概算)
- 治療費の目安: 75万円費用は治療当時の料金となります
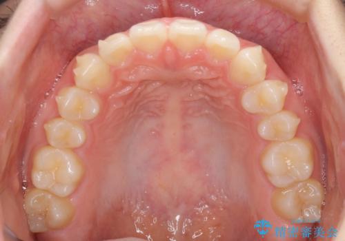
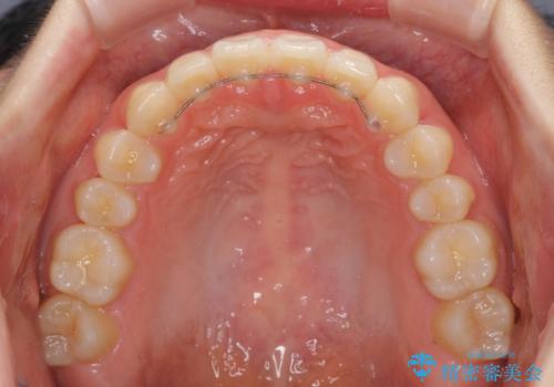
治療について
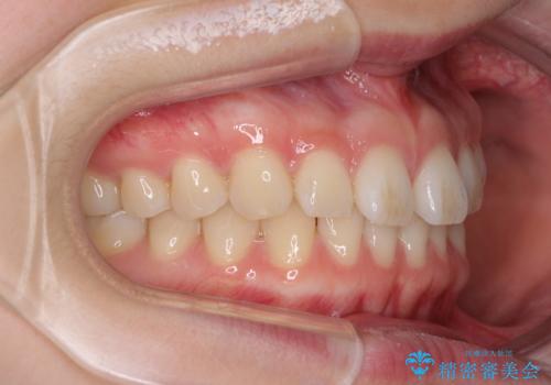
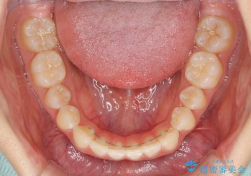
下顎の歯列が強く上顎に咬みこむことで隙間ができてしまうため、マウスピースの保定装置では後戻りのリスクが高くなってしまいます。
そのため、上下ともに前歯の裏側を細いワイヤーで固定し、その上から保定装置のマウスピースを使用していただくこととしました。
マウスピース矯正の注意事項(リスク・副作用など)
- 口腔内・歯並びの状態によっては対応できない場合があります
- マウスピース型矯正装置の長時間装着(1日20時間以上)が必須です
- 治療計画通りに進めるためには、患者様の意志が重要になります
- 矯正治療後の保定が不十分だと後戻り(元の位置に戻ろうとする動き)をします
- 薬機法対象外の矯正歯科装置のため医薬品副作用被害救済制度の対象外となる場合があります
- 自費診療(保険適用外)となります
当サイトの内容、テキスト、画像等の無断転載、複製、複写、盗用を固く禁じます。


























