症例詳細
Case detail
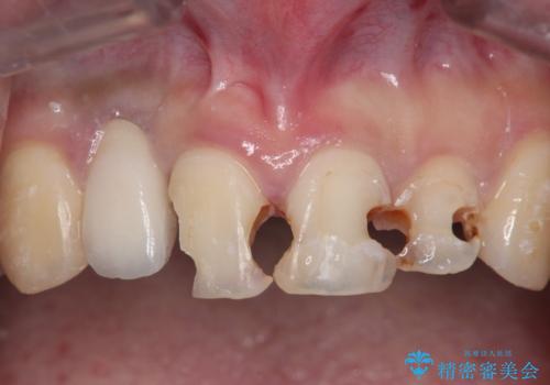
[メタルフリー治療] 金属色の見た目を改善したい
治療症例の内容
- 診療科目
- 担当医
- 大元洋佑(ドクタープロフィール)
- 患者様
- 40代女性
- 治療期間
- 3ヶ月
- 治療回数
- 2-5回
- 治療計画
- ゴールド(金)を用いた補綴・修復が多数為されており、色調・見た目の改善を希望され来院されました。
ゴールドクラウン・インレーを除去しジルコニアオールセラミッククラウンによる再補綴治療を計画します。
- 費用(概算)
- 58万円(仮歯×4・ジルコニアクラウン×4・セラミックインレー×2)費用は治療当時の料金となります
ゴールド治療について
ゴールドを用いたクラウン・インレーは一般的に壊れにくく・適合がよく・歯に優しいといっためりっとがありますが、数が多くなると口腔内で目立ってしまうといったデメリットがあります。
セラミック治療の注意事項(リスク・副作用など)
- 天然歯を削ります
- 硬い素材は天然歯を傷つけてしまう場合があります
- かみ合わせや歯ぎしりが強すぎる方はセラミックが割れてしまう可能性があります
- 自費診療(保険適用外治療)となります
当サイトの内容、テキスト、画像等の無断転載、複製、複写、盗用を固く禁じます。

![[メタルフリー治療] 金属色の見た目を改善したいの治療前](https://seimitsushinbi.jp/wp/wp-content/uploads/2020/04/553c3c3012decfd3e55a2fa374bf395d-500x350.jpg?v=1587899378)
![[メタルフリー治療] 金属色の見た目を改善したいの治療後](https://seimitsushinbi.jp/wp/wp-content/uploads/2020/04/2380e74dbe3a2b002e8638bba9f8748e-500x350.jpg?v=1587899406)
![[メタルフリー治療] 金属色の見た目を改善したいの治療前](https://seimitsushinbi.jp/wp/wp-content/uploads/2020/04/P1-9-500x350.jpg?v=1587899236)
![[メタルフリー治療] 金属色の見た目を改善したいの治療後](https://seimitsushinbi.jp/wp/wp-content/uploads/2020/04/P4-500x350.jpg?v=1587899239)
![[メタルフリー治療] 金属色の見た目を改善したいの治療前](https://seimitsushinbi.jp/wp/wp-content/uploads/2020/04/35ea374ce2577e1636195bf7dd6031ab-500x350.jpg?v=1587899370)
![[メタルフリー治療] 金属色の見た目を改善したいの治療後](https://seimitsushinbi.jp/wp/wp-content/uploads/2020/04/8836200451ae68ebbeb626929afbc06d-500x350.jpg?v=1587899403)
![[メタルフリー治療] 金属色の見た目を改善したいの治療前](https://seimitsushinbi.jp/wp/wp-content/uploads/2020/04/22f0aefc78ac32b49dd1b773e7056d42-500x350.jpg?v=1587899358)
![[メタルフリー治療] 金属色の見た目を改善したいの治療後](https://seimitsushinbi.jp/wp/wp-content/uploads/2020/04/018c067bb2c9f3f210cb8c3641920fa3-500x350.jpg?v=1587899390)