症例詳細
Case detail
前歯 ブリッジ周囲の腫れた歯ぐきを改善
治療症例の内容
- 担当医
- 大元洋佑(ドクタープロフィール)
- 患者様
- 20代女性
- 治療期間
- 8ヶ月
- 治療回数
- 5-10回
- 治療計画
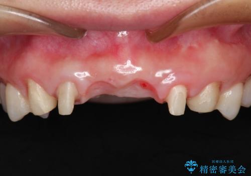
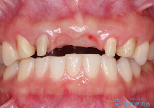
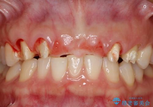
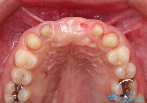
- 数ヶ月前に治療終了したブリッジの歯ぐきの違和感が強く、改善を求めて来院されました。
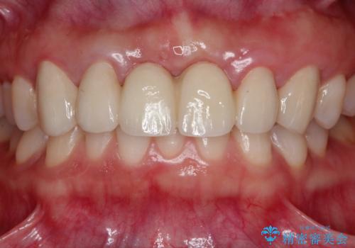
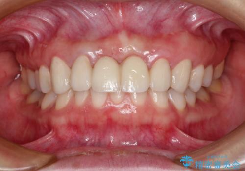
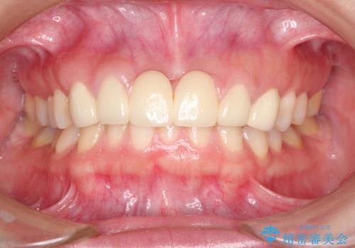
歯ぐきは著しく腫れ、少し触ると出血してしまうような状態であったためブリッジの再作製・歯周外科を用いた歯肉環境の改善を計画します。
- 費用(概算)
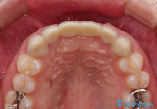
- 74万円(仮歯×6・ファイバーコア×4・ジルコニアクラウン×6)費用は治療当時の料金となります
セラミック治療について
セラミック治療は見た目の美しさに目を奪われがちですが、快適な使用感を達成するために歯肉環境・根管内の感染の除去が重要なポイントとなります。
セラミック治療の注意事項(リスク・副作用など)
- 天然歯を削ります
- 硬い素材は天然歯を傷つけてしまう場合があります
- かみ合わせや歯ぎしりが強すぎる方はセラミックが割れてしまう可能性があります
- 自費診療(保険適用外治療)となります
当サイトの内容、テキスト、画像等の無断転載、複製、複写、盗用を固く禁じます。



















