症例詳細
Case detail
金属を全てセラミックに メタルフリー治療
治療症例の内容
- 患者様
- 50代女性
- 治療期間
- 1年
- 治療回数
- 5-10回
- 治療計画
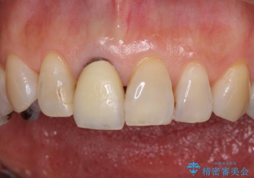
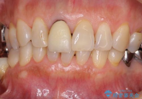
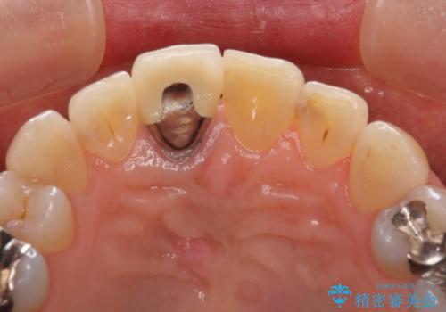
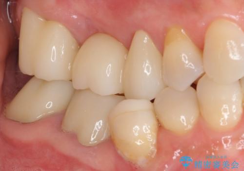
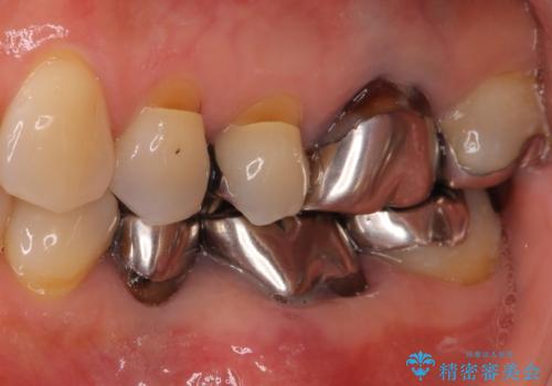
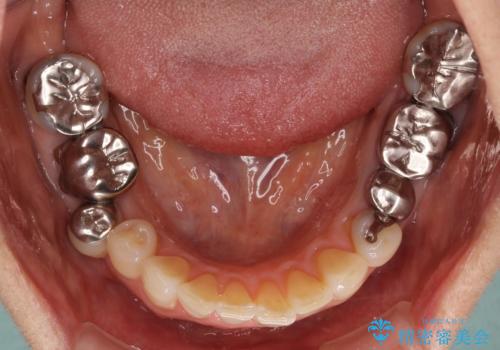
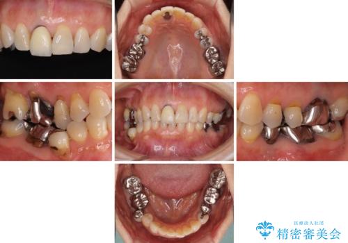
- 口腔内にある銀歯を全て外したいとのことで来院された患者様です。
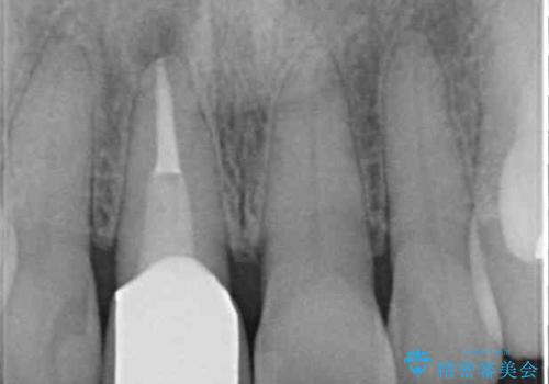
土台に含まれている金属も含め、口腔内の金属は全て除去し、抜歯しなければならない歯は抜歯し、オールセラミッククラウンやセラミックインレーにて治療することとしました。
- 費用(概算)
- 治療費の目安: 150万円費用は治療当時の料金となります
治療について
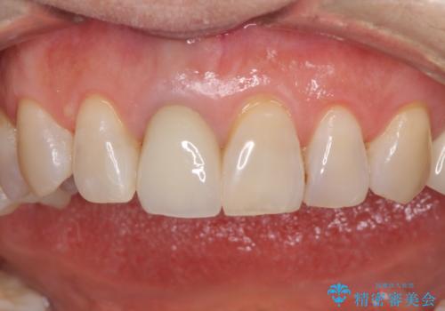
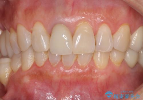
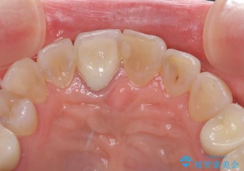
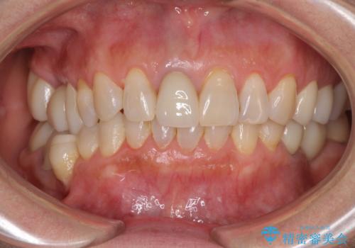
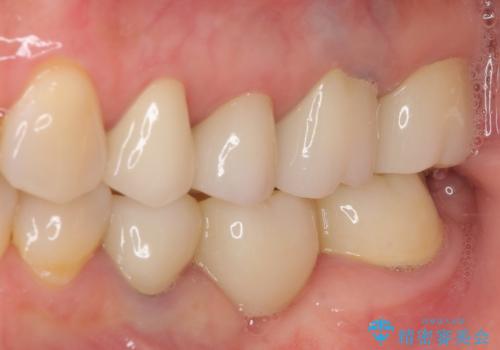
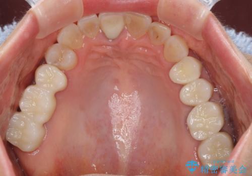
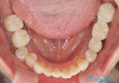
上下奥歯の抜歯を同時期に行わず、下顎の治療を終えてから上顎を抜歯して治療を進めたため、1年ほどの期間を要しました。
口の中を一切気にしなくて良くなり、患者様には大変満足していただきました。
セラミック治療の注意事項(リスク・副作用など)
- 天然歯を削ります
- 硬い素材は天然歯を傷つけてしまう場合があります
- かみ合わせや歯ぎしりが強すぎる方はセラミックが割れてしまう可能性があります
- 自費診療(保険適用外治療)となります
根管治療の注意事項(リスク・副作用など)
- 根管治療により類似の全ての症例の問題が解決するわけではなく、症例はあくまでも一例です
- 根管治療により痛みや腫れがひかない事や、術後に痛みや腫れが生じる事、治療によるファイル破折やパーフォレーションなどの偶発症、術後の歯根破折を生じる可能性もあります
- 自費診療(保険適用外)となります
当サイトの内容、テキスト、画像等の無断転載、複製、複写、盗用を固く禁じます。


























