症例詳細
Case detail
受け口 親知らずを取り込む矯正治療
- 患者様
- 10代女子
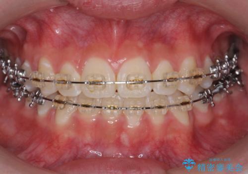
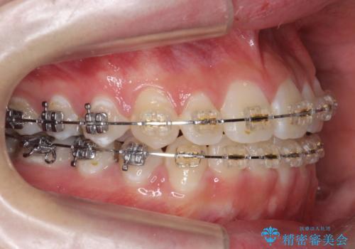
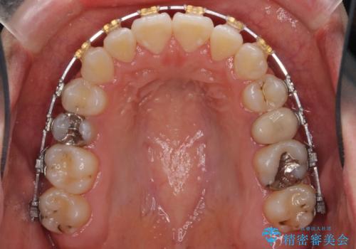
- 矯正装置
- 審美装置
- 治療期間
- 3年2ヶ月
- 治療回数
- 10-30回
- 治療計画
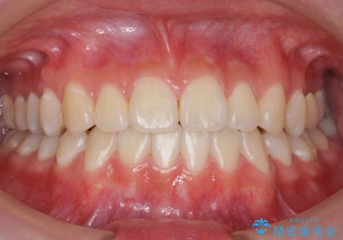
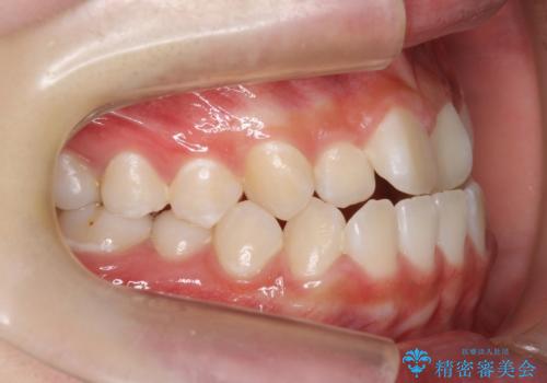
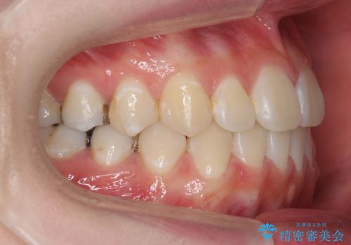
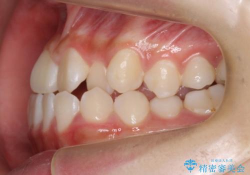
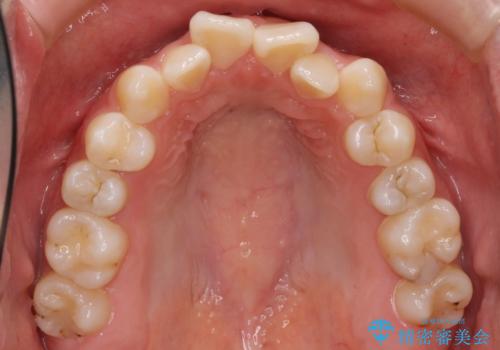
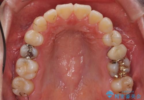
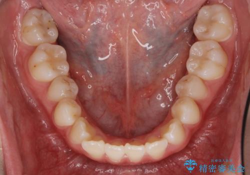
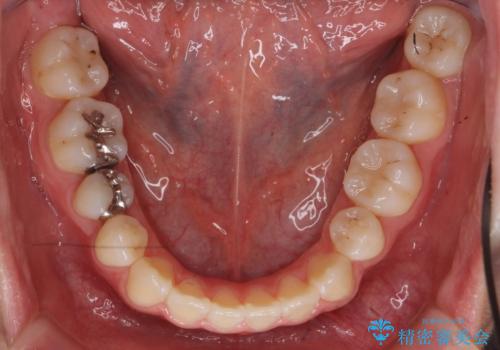
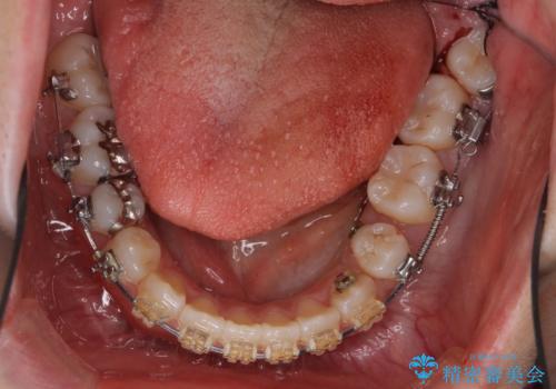
- 高校生で来院。受け口が主訴でした。
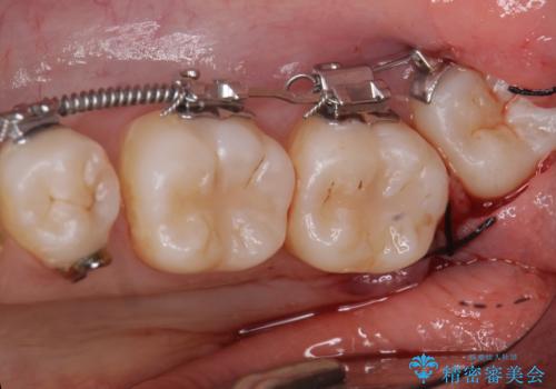
下の小臼歯を抜歯しましたが、その代わり下の親知らずを残して咬ませたので、歯の数は変わっていません。
ただし、左下の親知らずを残すには厚みのある歯ぐきを処置しています。(ディスタルウェッジ)
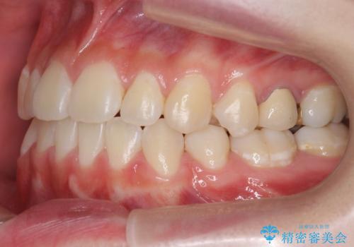
左上奥歯は、矯正後セラミックインレー修復を行なっています。
- 費用(概算)
- 118万円(矯正治療:90万円 通院費、クリアリテーナー代込み、左下8:歯周外科処置 サービス 左上5:ファイバーコア 2万円、仮歯1万円、メタルボンドクラウン9万円、左上6:PGAインレー6万円 右上4:emaxインレー7万円)費用は治療当時の料金となります
治療について
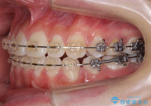
親知らずが歯ぐきに埋まっていると不潔になり、炎症を繰り返すため残しておくことが難しい場合が多いです。
今回は左下の小臼歯を1本抜歯してるのと、手術を行なって親知らずを顎に収めることができました。
ワイヤー矯正の注意事項(リスク・副作用など)
- 治療中は違和感や痛みが起こることがあります
- 症状により、抜歯が必要な場合があります
- 治療中は歯磨きがしにくくなるため、虫歯や歯周病になりやすくなります
- 矯正治療後の保定が不十分だと後戻り(元の位置に戻ろうとする動き)をします
- 自費診療(保険適用外)となります
歯周病治療の注意事項(リスク・副作用など)
- 外科手術のため、術後に痛みや腫れ、違和感を伴います
- 歯周組織再生治療は患者様の状態によって術後の経過が異なります(見た目が改善しない場合もあります)
- 歯周組織再生治療は自費診療(保険適用外)となります
当サイトの内容、テキスト、画像等の無断転載、複製、複写、盗用を固く禁じます。

























