症例詳細
Case detail
クラウン下に再発した深い虫歯 インプラントによる機能回復
治療症例の内容
- 患者様
- 60代女性
- 治療期間
- 8ヶ月
- 治療回数
- 5-10回
- 治療計画
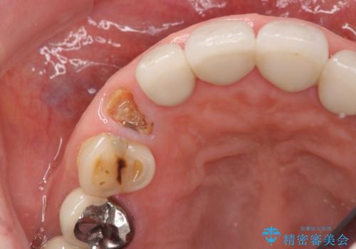
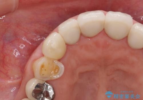
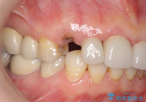
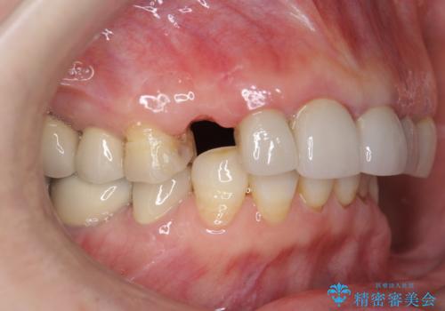
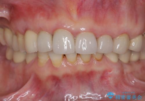
- 定期検診で通院されていたところ、20年前に他院で治療した前歯のセラミック歯の下に深い虫歯が再発していることがわかりました。
ブリッジや歯の挺出を行い保存する提案も行いましたが、短期間の定期的な通院が難しくインプラントによる少ない回数での治療を希望されました。
- 費用(概算)
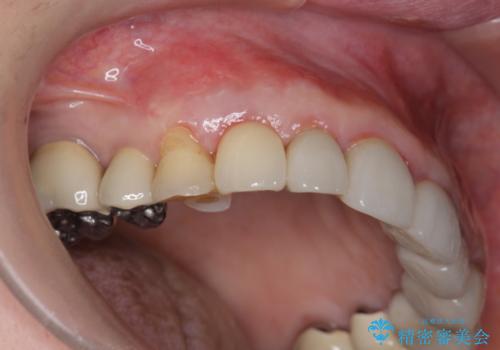
- 45万円(ストローマンインプラント・骨造成・チタンカスタムアバットメント・ジルコニアクラウン)費用は治療当時の料金となります
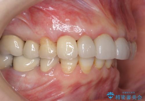
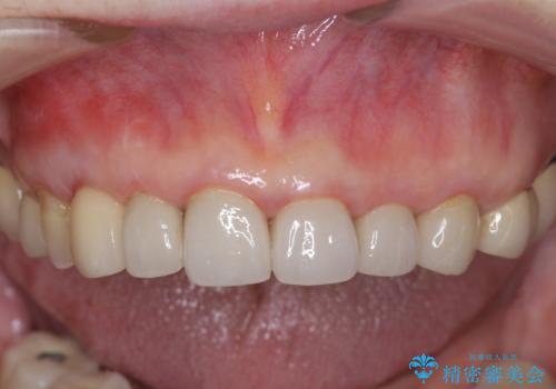
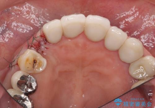
前歯のインプラント治療について
前歯のインプラントを仕上げるには骨や歯ぐきの条件を整えることが肝要です。
インプラント治療の注意事項(リスク・副作用など)
- 外科手術のため、術後に痛みや腫れ、違和感を伴います
- メンテナンスを怠ったり喫煙により、お口の中に大きな悪影響を及ぼすインプラント周囲炎等にかかる可能性があります
- 糖尿病、肝硬変、心臓病等の場合、インプラント治療ができない可能性があります
- 高血圧、貧血・不整脈等の場合、インプラント治療後に治癒不全を招く可能性があります
- 自費診療(保険適用外治療)となります
当サイトの内容、テキスト、画像等の無断転載、複製、複写、盗用を固く禁じます。





















