症例詳細
Case detail
歯が折れた どうしても抜きたくない 歯の牽引で保存可能に
治療症例の内容
- 患者様
- 50代男性
- 治療期間
- 6ヶ月
- 治療回数
- 5-10回
- 治療計画
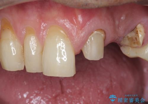
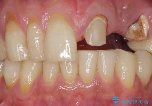
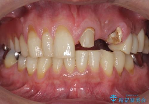
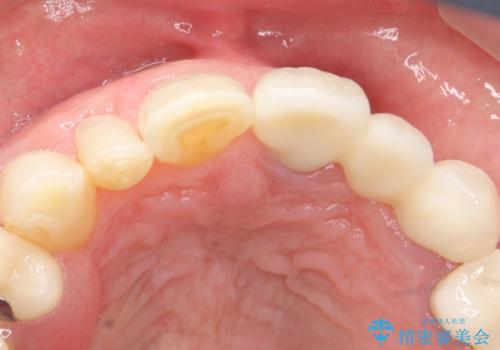
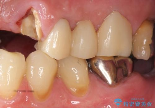
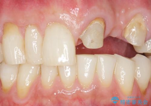
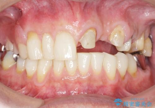
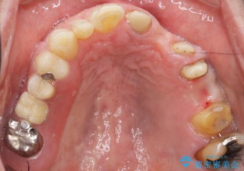
- ブリッジの支台歯であった左上の犬歯が折れたことを主訴に来院された患者様です。
犬歯は歯ぐきの奥深くまで割れており保存不可能な状態でしたが、どうしても抜きたくないとのことでした。
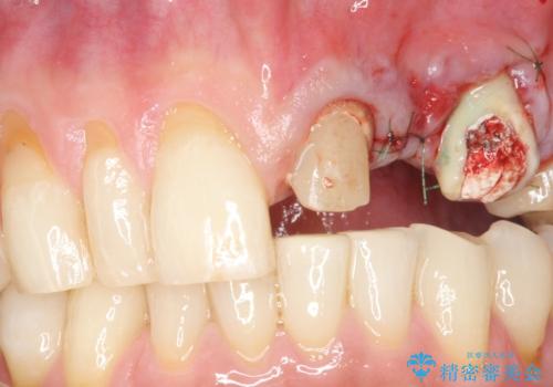
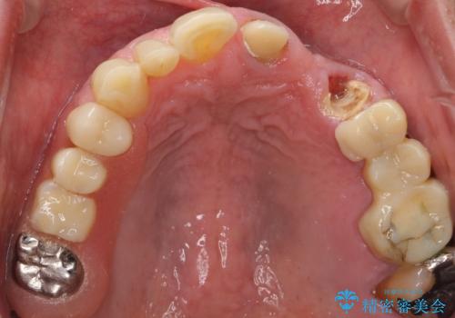
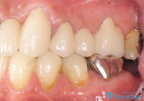
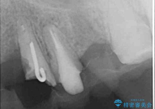
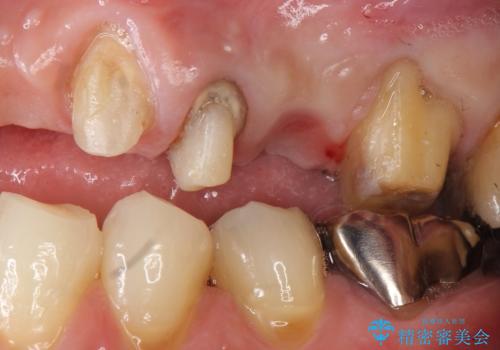
歯を牽引し健全歯質を歯肉縁上まで引き上げ、歯の保存を試みることにしました。
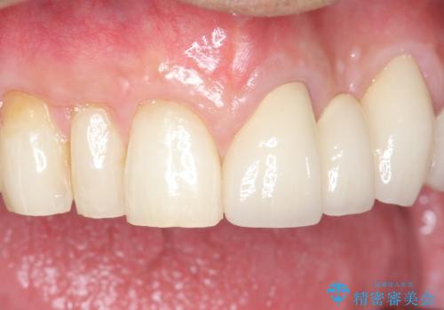
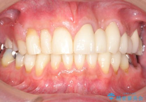
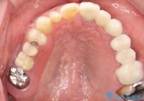
歯の牽引後、ブリッジの仮歯で保定しながら歯肉・骨の治癒を待ったのち、ブリッジによる補綴を行いました。
根の長さが短くなるためブリッジの支台歯としては弱いこと、長期的予後は不明なことをご理解頂いた上で治療を行いました。
根管治療はご希望されず行っておりません。
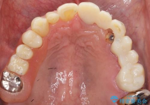
左上2欠損部の軟組織のボリュームが少なくポンティック部に食渣がたまりやすい歯肉形態であったため、歯槽堤増大術も提案しましたがご希望されませんでした。
ご希望により最終補綴前にホームホワイトニングを行っております。
最終補綴前に右上321の結合組織移植術(CTG)を希望されたため、大元院長に行って頂きました。
- 費用(概算)
- ¥840,000 (歯の牽引、ファイバーコア、仮歯、クラウン、ホームホワイトニング)費用は治療当時の料金となります
治療について
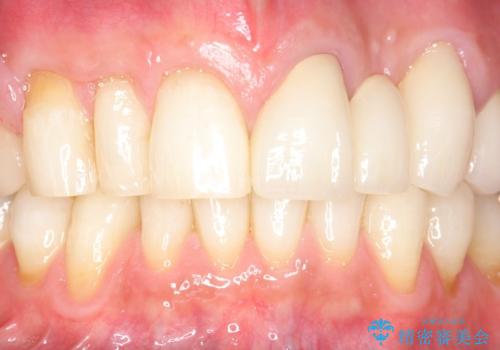
牽引により歯の保存が可能となり、ブリッジによる補綴を行うことができました。
健全歯質を歯肉縁上に出すためにしっかり挺出させたことで歯根長が短くなりましたが、仮歯で十分に保定した結果動揺度Ⅰ程度となり、ブリッジの支台歯にすることが可能と判断しました。
患者様には「抜歯適応の歯を残せて嬉しいし、とても丁寧に治療して頂けた」と大変喜んで頂けました。
クラウンの種類:オールセラミッククラウン スタンダード
セラミック治療の注意事項(リスク・副作用など)
- 天然歯を削ります
- 硬い素材は天然歯を傷つけてしまう場合があります
- かみ合わせや歯ぎしりが強すぎる方はセラミックが割れてしまう可能性があります
- 自費診療(保険適用外治療)となります
ホワイトニングの注意事項(リスク・副作用など)
- 知覚過敏が出ることがあります
- ホワイトバンドや白い斑点が出ることがあります
- クラウンやインレー等の補綴物には効果がありません
- ホワイトニングによる効果や持続期間には個人差があります
- 歯牙の状態によっては適応できないことがあります
- 保険適用外となります
当サイトの内容、テキスト、画像等の無断転載、複製、複写、盗用を固く禁じます。
































