症例詳細
Case detail
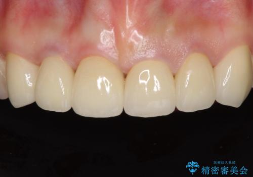
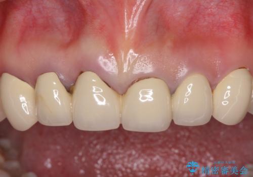
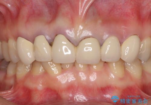
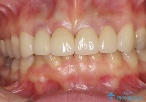
深い虫歯と不自然な色調の前歯 オールセラミッククラウンで自然に
治療症例の内容
- 診療科目
- 治療カテゴリ
- 担当医
- 藤巻太一朗(ドクタープロフィール)
- 患者様
- 40代女性
- 治療期間
- 7ヶ月
- 治療回数
- 5-10回
- 治療計画
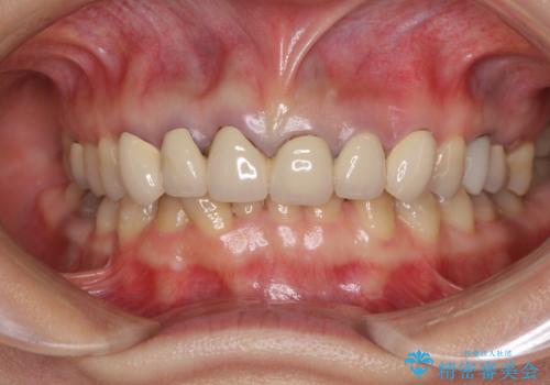
- 前歯のセラミッククラウンの不自然な色調と、虫歯を気にして来院された患者様です。
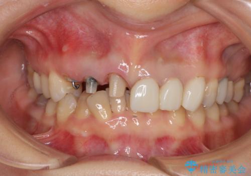
6歯全てが連結されていたため、外れかけていた右の犬歯は知らぬ間に虫歯が深くにまで進行していました。
深い虫歯の犬歯は、根管治療を行った後に部分矯正を行い、歯周外科処置により環境を整えてから、6歯それぞれのオールセラミッククラウンにて補綴することとしました。
- 費用(概算)
- 治療費の目安: 95万円費用は治療当時の料金となります
治療について
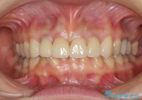
下の前歯がほとんど隠れてしまうほどの深い咬み合わせで、咬合力も強いため、治療期間中は仮歯が外れやすく、ご迷惑をおかけしました。
セラミッククラウン装着後は、とても自然な口元に仕上がりました。
セラミック治療の注意事項(リスク・副作用など)
- 天然歯を削ります
- 硬い素材は天然歯を傷つけてしまう場合があります
- かみ合わせや歯ぎしりが強すぎる方はセラミックが割れてしまう可能性があります
- 自費診療(保険適用外治療)となります
歯周病治療の注意事項(リスク・副作用など)
- 外科手術のため、術後に痛みや腫れ、違和感を伴います
- 歯周組織再生治療は患者様の状態によって術後の経過が異なります(見た目が改善しない場合もあります)
- 歯周組織再生治療は自費診療(保険適用外)となります
当サイトの内容、テキスト、画像等の無断転載、複製、複写、盗用を固く禁じます。















