症例詳細
Case detail
痛みが続く銀歯をセラミックに
治療症例の内容
- 診療科目
- 担当医
- 藤巻太一朗(ドクタープロフィール)
- 患者様
- 30代女性
- 治療期間
- 3ヶ月
- 治療回数
- 2-5回
- 治療計画
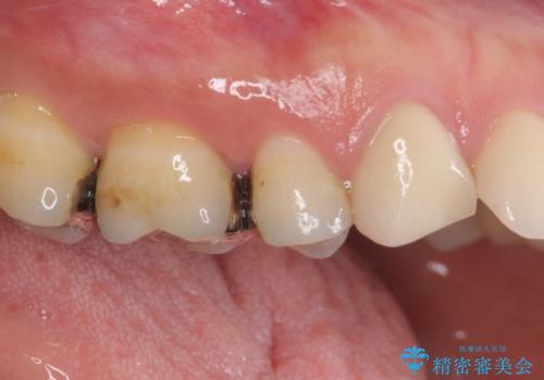
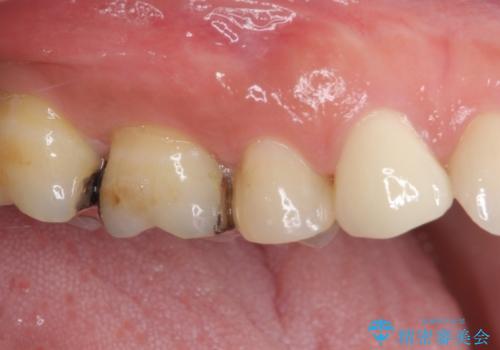
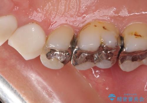
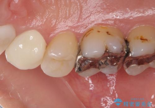
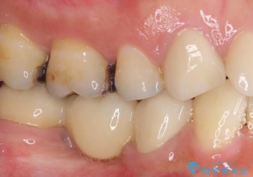
- 奥歯に痛みを感じるようになり、更にはその前の歯のセラミックが欠けてしまったとのことで来院された患者様です。
痛みがしばらく続いていたため、抜髄となる可能性を考慮しながら処置を行うこととしました。
処置後に痛みの状態を確認し、前歯のクラウンの再製作を同時に進めることとしました。
- 費用(概算)
- 治療費の目安: 18万円費用は治療当時の料金となります
治療について
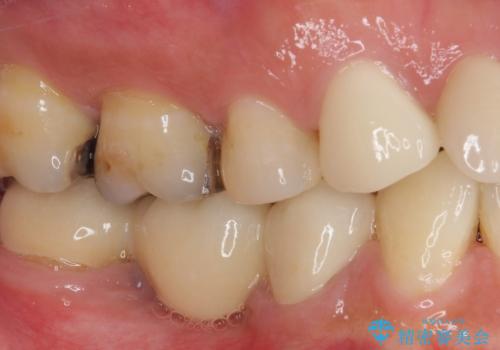
銀歯の下の虫歯はそれほど大きくなく、初回の処置以降、痛みを感じることはなくなりました。
セラミックインレー装着後も痛みが生じることはなく、神経の状態も正常な反応が認められました。
セラミック治療の注意事項(リスク・副作用など)
- 天然歯を削ります
- 硬い素材は天然歯を傷つけてしまう場合があります
- かみ合わせや歯ぎしりが強すぎる方はセラミックが割れてしまう可能性があります
- 自費診療(保険適用外治療)となります
当サイトの内容、テキスト、画像等の無断転載、複製、複写、盗用を固く禁じます。










