症例詳細
Case detail
裏打ちが金属のセラミッククラウンをオールセラミッククラウンで自然に
治療症例の内容
- 診療科目
- 治療カテゴリ
- 担当医
- 藤巻太一朗(ドクタープロフィール)
- 患者様
- 40代女性
- 治療期間
- 2ヶ月
- 治療回数
- 2-5回
- 治療計画
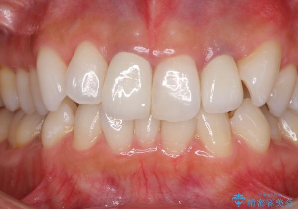
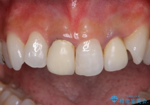
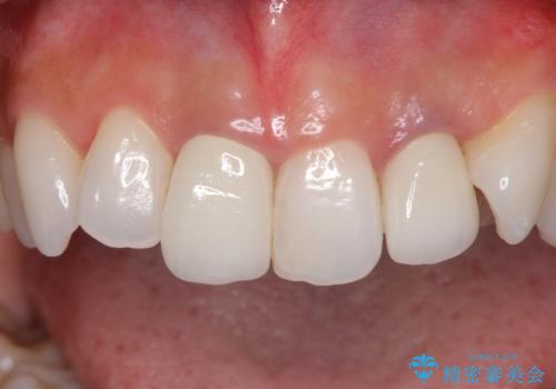
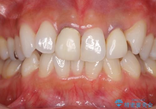
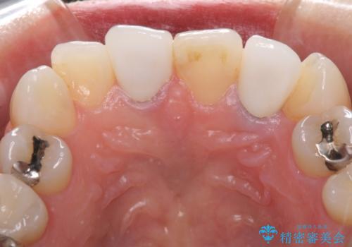
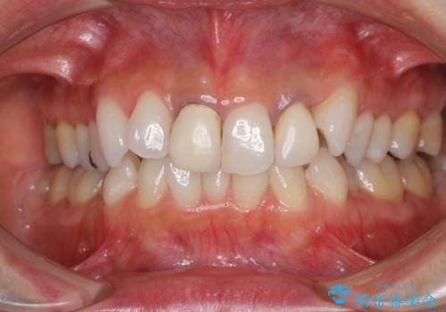
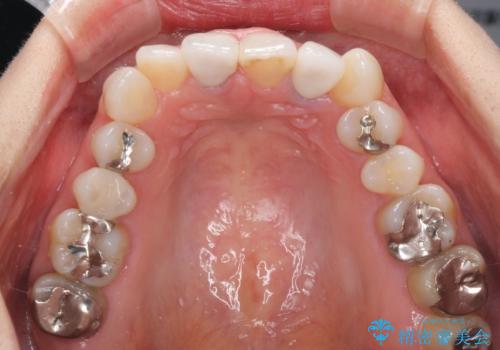
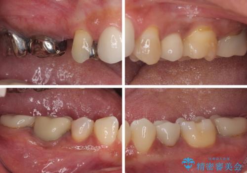
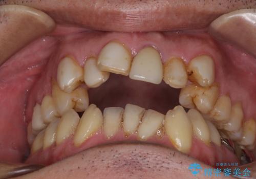
- 20年ほど前に被せた前歯のメタルボンドクラウンの色合いを気にして来院された患者様です。
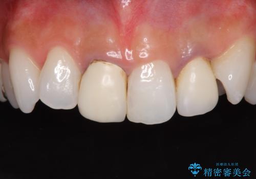
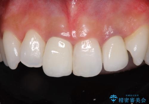
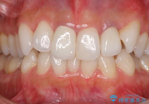
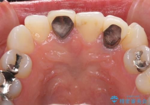
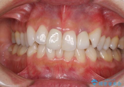
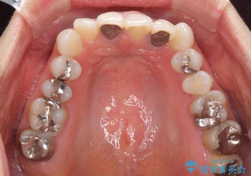
 2歯をオールセラミッククラウン(ジルコニアクラウン)にて補綴することとしました。
- 費用(概算)
- 治療費の目安: 26万円費用は治療当時の料金となります
治療について
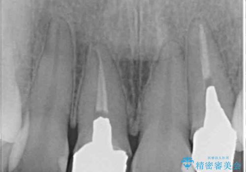
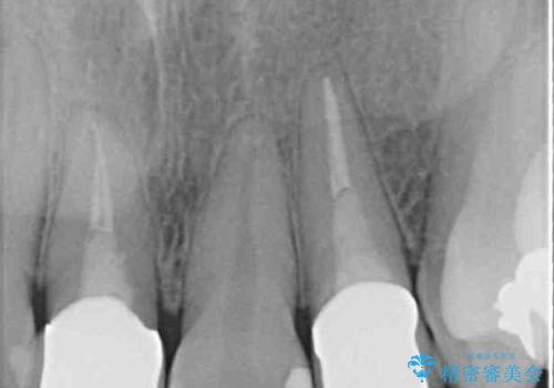
裏打ちが金属の場合、どうしても金属色を遮蔽しないとならないため、透明感のない色合いとなってしまいます。
土台の金属はグラスファイバーを含有したものに、クラウンの土台は強化セラミックとすることで、自然な前歯に仕上がりました。
セラミック治療の注意事項(リスク・副作用など)
- 天然歯を削ります
- 硬い素材は天然歯を傷つけてしまう場合があります
- かみ合わせや歯ぎしりが強すぎる方はセラミックが割れてしまう可能性があります
- 自費診療(保険適用外治療)となります
当サイトの内容、テキスト、画像等の無断転載、複製、複写、盗用を固く禁じます。








 
                       
                                                          













 
                   
                   
                  