症例詳細
Case detail
歯が痛い 前歯のセラミック治療
治療症例の内容
- 診療科目
- 治療カテゴリ
- 担当医
- 藤巻太一朗(ドクタープロフィール)
- 患者様
- 50代男性
- 治療期間
- 3ヶ月
- 治療回数
- 2-5回
- 治療計画
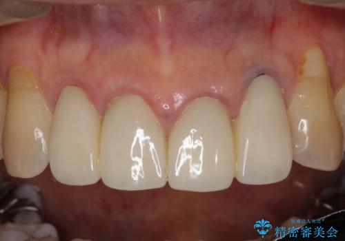
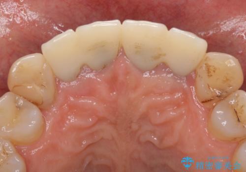
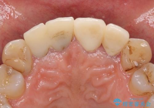
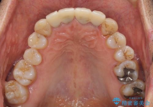
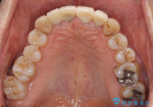
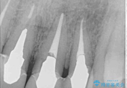
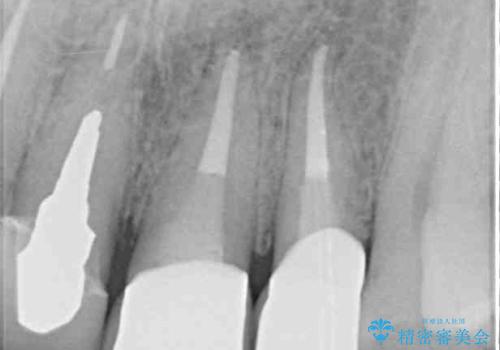
- 昨年治療した前歯の根尖部に痛みを感じ、ラバーダムや顕微鏡を用いた根管治療を希望されて、転院された患者様です。
前医にて神経を取り除いた処置を行った際、ラバーダムが使用されなかったとのことで転院されてきました。
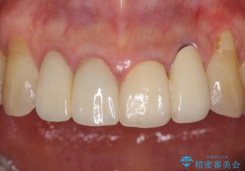
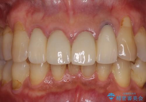
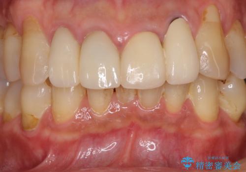
根管治療を実施した後、オールセラミッククラウンに補綴することとしました。
- 費用(概算)
- 治療費の目安: 46万円費用は治療当時の料金となります
治療について
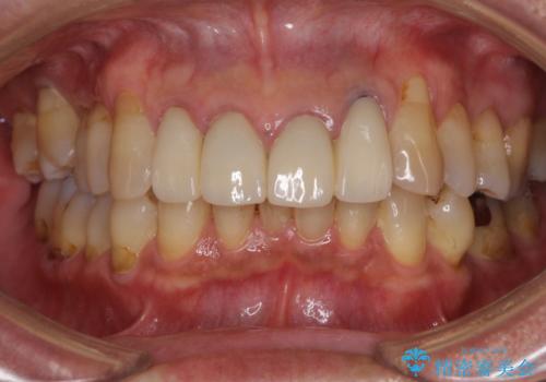
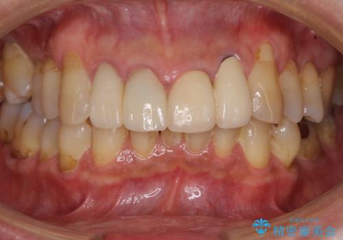
前歯のセラミッククラウンを装着したばかりであったので、根管治療のためにクラウンを壊さなければならないことを残念に思っていらっしゃいました。
しかし、根管治療後はすぐに痛みがひき、治療を受けられて良かったとのことでした。
セラミック治療の注意事項(リスク・副作用など)
- 天然歯を削ります
- 硬い素材は天然歯を傷つけてしまう場合があります
- かみ合わせや歯ぎしりが強すぎる方はセラミックが割れてしまう可能性があります
- 自費診療(保険適用外治療)となります
根管治療の注意事項(リスク・副作用など)
- 根管治療により類似の全ての症例の問題が解決するわけではなく、症例はあくまでも一例です
- 根管治療により痛みや腫れがひかない事や、術後に痛みや腫れが生じる事、治療によるファイル破折やパーフォレーションなどの偶発症、術後の歯根破折を生じる可能性もあります
- 自費診療(保険適用外)となります
当サイトの内容、テキスト、画像等の無断転載、複製、複写、盗用を固く禁じます。














